购物车
  • 全部删除
  • TargetMol
    您的购物车当前为空

Anti-CD46 Antibody (3J800)

一键复制产品信息
Rating icon 还可以
产品编号 TMAC-00720
别名 Trophoblast leukocyte common antigen, TLX, Membrane cofactor protein

Anti-CD46 Antibody (3J800) 是一种 Rabbit 抗体,靶向 CD46。Anti-CD46 Antibody (3J800) 可用于 ICC,IHC,WB。

Anti-CD46 Antibody (3J800)

Anti-CD46 Antibody (3J800)

一键复制产品信息
Rating icon 还可以
产品编号 TMAC-00720 别名 Trophoblast leukocyte common antigen, TLX, Membrane cofactor protein

Anti-CD46 Antibody (3J800) 是一种 Rabbit 抗体,靶向 CD46。Anti-CD46 Antibody (3J800) 可用于 ICC,IHC,WB。

规格价格库存数量
50 μL
¥ 1,480
5日内发货
100 μL
¥ 2,495
5日内发货
大包装 & 定制
加入购物车
TargetMol 的所有产品仅用作科学研究或药证申报,不能被用于人体,我们不向个人提供产品和服务。请您遵守承诺用途,不得违反法律法规规定用于任何其他用途。
实验操作小课堂
常见问题解答
查看更多
联系我们获取更多批次信息
资源下载

产品介绍

生物活性
产品描述
Anti-CD46 Antibody (3J800) is a Rabbit antibody targeting CD46. Anti-CD46 Antibody (3J800) can be used in ICC,IHC,WB.
别名Trophoblast leukocyte common antigen, TLX, Membrane cofactor protein
Ig Type
IgG
克隆号
3J800
交叉反应
Human,Rat
验证活性
1. Western blot analysis of CD46 on Siha and PC-3M cell lysates using anti-CD46 antibody at 1/1,000 dilution.
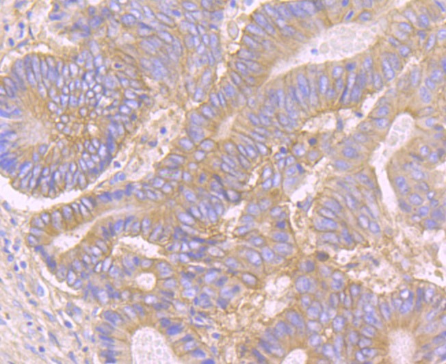
2. Immunohistochemical analysis of paraffin-embedded human colon cancer tissue using anti-CD46 antibody. Counter stained with hematoxylin.
3. Immunohistochemical analysis of paraffin-embedded human breast tissue using anti-CD46 antibody. Counter stained with hematoxylin.
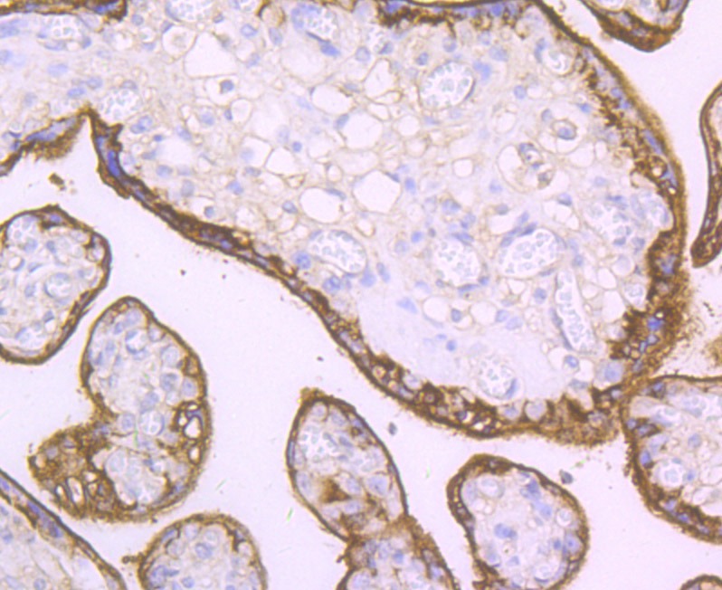
4. Immunohistochemical analysis of paraffin-embedded human placenta tissue using anti-CD46 antibody. Counter stained with hematoxylin.
5. Immunohistochemical analysis of paraffin-embedded rat kidney tissue using anti-CD46 antibody. Counter stained with hematoxylin.
6. ICC staining CD46 in PC-3M cells (green). The nuclear counter stain is DAPI (blue). Cells were fixed in paraformaldehyde, permeabilised with 0.25% Triton X100/PBS.
7. ICC staining CD46 in HUVEC cells (green). The nuclear counter stain is DAPI (blue). Cells were fixed in paraformaldehyde, permeabilised with 0.25% Triton X100/PBS.
verifiedActivityverifiedActivityverifiedActivityverifiedActivityverifiedActivityverifiedActivityverifiedActivity
应用ICCIHCWB
推荐剂量
WB: 1:1000-5000; IHC: 1:50-200; ICC: 1:50-200
抗体种类
Monoclonal
宿主来源Rabbit
构建方式Recombinant Antibody
纯化方式ProA affinity purified
性状Liquid
缓冲液1*TBS (pH7.4), 1%BSA, 40%Glycerol. Preservative: 0.05% Sodium Azide.
研究背景CD46, also called membrane cofactor protein (MCP), is a transmembrane glycoprotein that exists as a non-disulfide-linked dimer. CD46 regulates the complement cascade by inhibiting C3b and C4b deposited on self tissue. CD46 is a cofactor that binds to C3b and C4b, allowing their degradation by a plasma serine protease called factor I. This function resides in the complement control protein repeats (CCPs), with CCP1-4 essential for regulation. CD46 is widely distributed on thymocytes, T cells, B cells, monocytes, granulocytes, NK cells, platelets, endothelial cells, epithelial cells, fibroblasts, placenta and sperm, but not on erythrocytes. It is the major high affinity receptor for measles virus and human herpes virus. Mouse cells ubiquitously express CRRY, which is a functional ortholog of human decay-accelerating factor (DAF; CD55) and membrane cofactor protein (MCP; CD46).
偶联与修饰
偶联
Unconjugated
抗原信息
免疫原
Recombinant Protein
Uniprot ID
化学信息
分子量Theoretical: 55 kDa.
存储&运输
储存方式Store at -20°C or -80°C for 12 months. Avoid repeated freeze-thaw cycles.
运输方式Shipping with blue ice.

计算器

  • 稀释 计算器

评论列表

4个月前
5.0
Rating icon 很棒

评论内容

Related Tags: buy Anti-CD46 Antibody (3J800) | purchase Anti-CD46 Antibody (3J800) | Anti-CD46 Antibody (3J800) cost | order Anti-CD46 Antibody (3J800) | Anti-CD46 Antibody (3J800) molecular weight