购物车
您的购物车当前为空
Anti-CD38 Antibody (1S733) 是一种 Mouse 抗体,靶向 CD38。Anti-CD38 Antibody (1S733) 可用于 IHC。
别名 T10, Cyclic ADP-ribose hydrolase 1, ADP-ribosyl cyclase/cyclic ADP-ribose hydrolase 1, ADP-ribosyl cyclase 1, 2'-phospho-cyclic-ADP-ribose transferase, 2'-phospho-ADP-ribosyl cyclase/2'-phospho-cyclic-ADP-ribose transferase, 2'-phospho-ADP-ribosyl cyclase
Anti-CD38 Antibody (1S733) 是一种 Mouse 抗体,靶向 CD38。Anti-CD38 Antibody (1S733) 可用于 IHC。

TargetMol的所有产品仅用作科学研究或药证申报,不能被用于人体,我们不向个人提供产品和服务。请您遵守承诺用途,不得违反法律法规规定用于任何其他用途。
| 产品描述 | Anti-CD38 Antibody (1S733) is a Mouse antibody targeting CD38. Anti-CD38 Antibody (1S733) can be used in IHC. |
| 别名 | T10, Cyclic ADP-ribose hydrolase 1, ADP-ribosyl cyclase/cyclic ADP-ribose hydrolase 1, ADP-ribosyl cyclase 1, 2'-phospho-cyclic-ADP-ribose transferase, 2'-phospho-ADP-ribosyl cyclase/2'-phospho-cyclic-ADP-ribose transferase, 2'-phospho-ADP-ribosyl cyclase |
| Ig Type | Mouse IgG1, Kappa |
| 克隆号 | 1S733 |
| 反应种属 | Human |
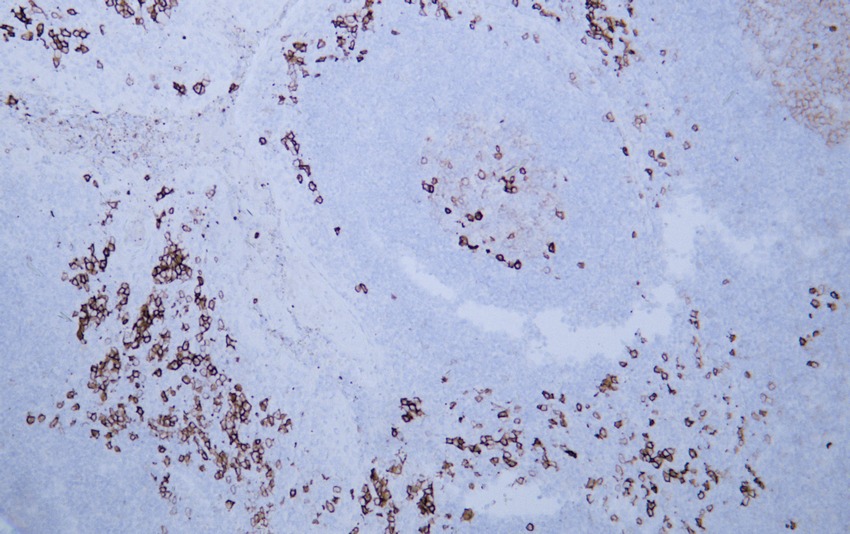
| 验证活性 | 1. Human tonsil tissue was stained with Anti-CD38 Antibody. ![]() |
| 应用 | IHC |
| 抗体种类 | Monoclonal |
| 宿主来源 | Mouse |
| 构建方式 | Hybridoma Monoclonal Antibody |
| 纯化方式 | The antibody was affinity-purified from ascites by affinity-chromatography using specific immunogen. |
| 性状 | Liquid |
| 缓冲液 | The prediluted ready-to-use antibody is diluted in phosphate buffer saline containing stabilizing protein and 0.05% Proclin 300 |
| 偶联 | Unconjugated |
| 免疫原 | A synthesized peptide: human CD38 |
| 抗原种属 | human |
| 基因ID | |
| Uniprot ID |
| 储存方式 | Store at 2°C-8°C for 12 months, do not freeze. |
| 运输方式 | Shipping with blue ice. |