购物车
  • TargetMol
    您的购物车当前为空

Anti-CD14 Antibody (2E832)

Synonyms: CD14 molecule, CD14
货号 TMAB-00334 一键复制产品信息
Rating icon 还可以

Anti-CD14 Antibody (2E832) 是一种 Rabbit 抗体,靶向 CD14。Anti-CD14 Antibody (2E832) 可用于 IF, IHC-Fr, IHC-P, WB。

Anti-CD14 Antibody (2E832)

一键复制产品信息
Rating icon 还可以
货号 TMAB-00334

别名 CD14 molecule, CD14

Anti-CD14 Antibody (2E832) 是一种 Rabbit 抗体,靶向 CD14。Anti-CD14 Antibody (2E832) 可用于 IF, IHC-Fr, IHC-P, WB。

Anti-CD14 Antibody (2E832)
规格价格库存数量
25 μL
¥ 780
5日内发货
50 μL
¥ 1,390
5日内发货
100 μL
¥ 2,485
5日内发货
库存状态实时更新,以官网显示为准,现货产品可直接加购物车下单
大包装 & 定制
加入购物车

TargetMol的所有产品仅用作科学研究或药证申报,不能被用于人体,我们不向个人提供产品和服务。请您遵守承诺用途,不得违反法律法规规定用于任何其他用途。

实验操作小课堂
常见问题解答
查看更多

资源下载:产品操作手册

产品介绍


生物活性
产品描述
Anti-CD14 Antibody (2E832) is a Rabbit antibody targeting CD14. Anti-CD14 Antibody (2E832) can be used in IF, IHC-Fr, IHC-P, WB.
别名
CD14 molecule, CD14
Ig Type
IgG
克隆号
2E832
反应种属
Human
验证活性
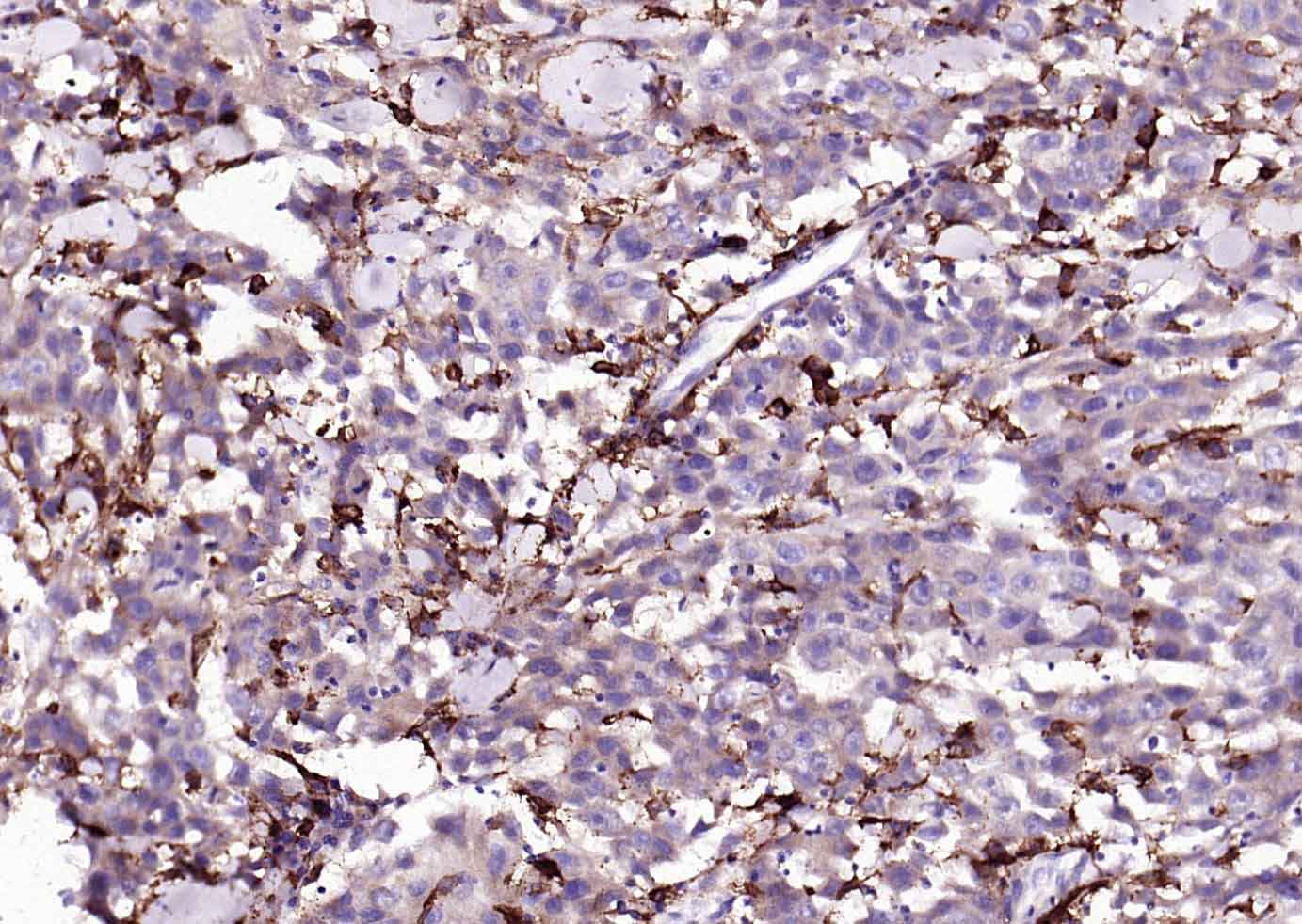
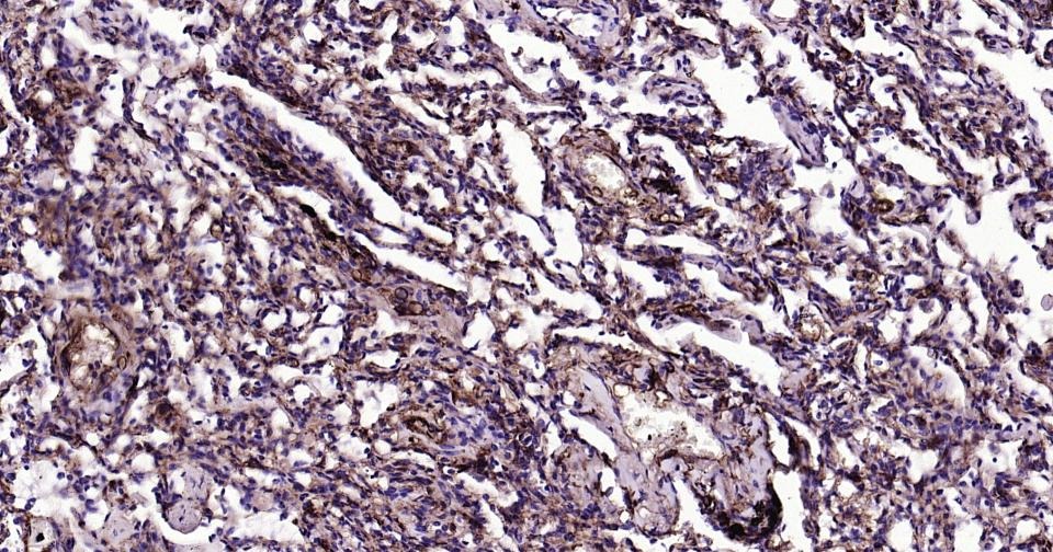
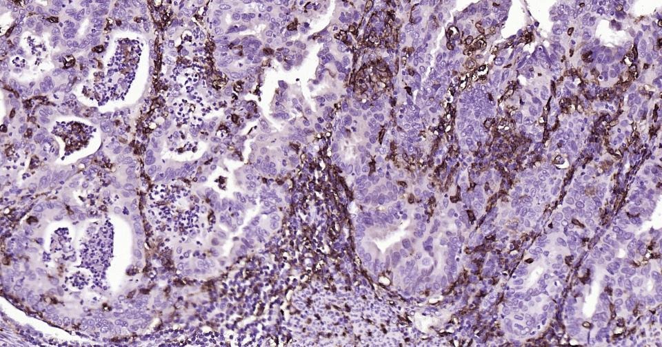
1. Paraformaldehyde-fixed, paraffin embedded (human lung carcinoma); Antigen retrieval by boiling in sodium citrate buffer (pH6.0) for 15 min; Block endogenous peroxidase by 3% hydrogen peroxide for 20 min; Blocking buffer (normal goat serum) at 37°C for 30 min; Antibody incubation with (CD14) Monoclonal Antibody, Unconjugated (TMAB-00334) at 1:200 overnight at 4°C, followed by operating according to SP Kit (Rabbit) instructionsand DAB staining.
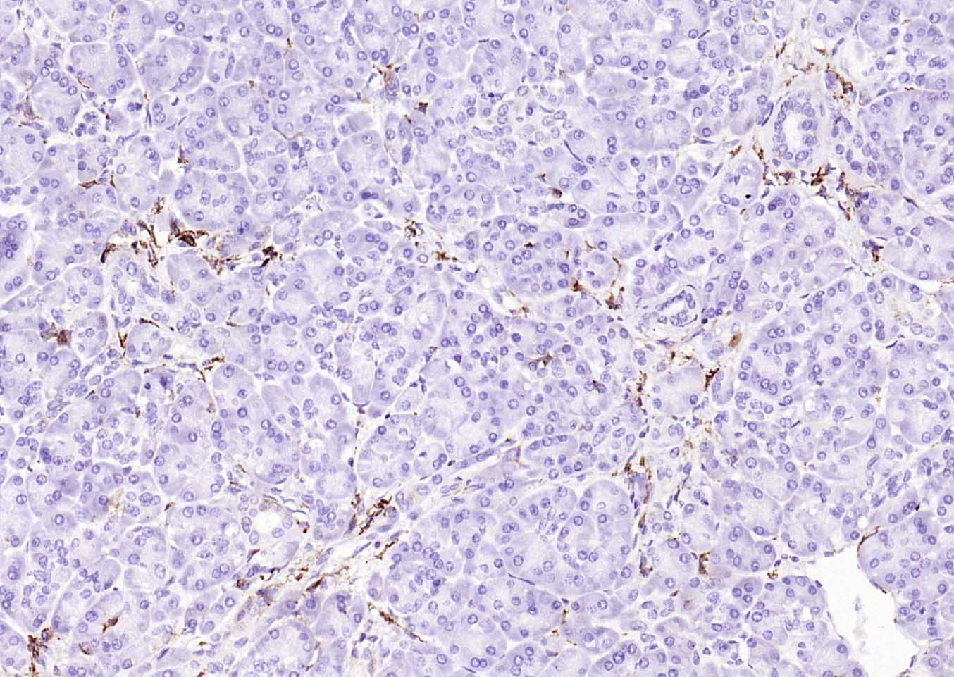
2. Paraformaldehyde-fixed, paraffin embedded (human pancreatic cancer); Antigen retrieval by boiling in sodium citrate buffer (pH6.0) for 15 min; Block endogenous peroxidase by 3% hydrogen peroxide for 20 min; Blocking buffer (normal goat serum) at 37°C for 30 min; Antibody incubation with (CD14) Monoclonal Antibody, Unconjugated (TMAB-00334) at 1:200 overnight at 4°C, followed by operating according to SP Kit (Rabbit) instructionsand DAB staining.
3. Paraformaldehyde-fixed, paraffin embedded Human Colon Cancer; Antigen retrieval by boiling in sodium citrate buffer (pH6.0) for 15 min; Antibody incubation with CD14 Monoclonal Antibody, Unconjugated (TMAB-00334) at 1:200 overnight at 4°C, followed by conjugation to the secondary antibody and DAB staining.
4. Paraformaldehyde-fixed, paraffin embedded Human Endometrial Cancer; Antigen retrieval by boiling in sodium citrate buffer (pH6.0) for 15 min; Antibody incubation with CD14 Monoclonal Antibody, Unconjugated (TMAB-00334) at 1:200 overnight at 4°C, followed by conjugation to the secondary antibody and DAB staining.
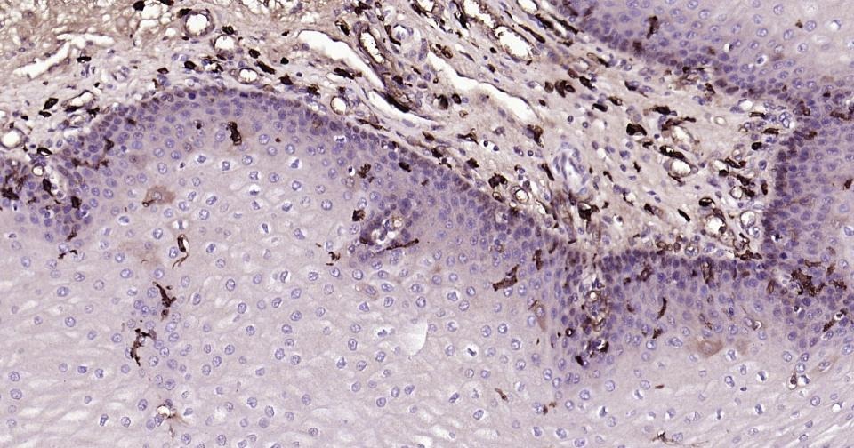
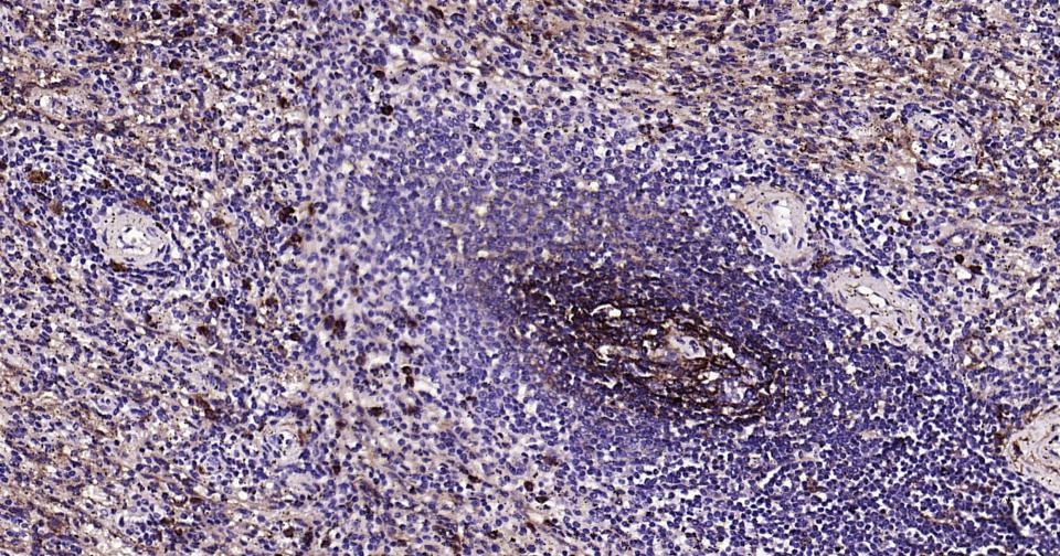
5. Paraformaldehyde-fixed, paraffin embedded Human Tonsil; Antigen retrieval by boiling in sodium citrate buffer (pH6.0) for 15 min; Antibody incubation with CD14 Monoclonal Antibody, Unconjugated (TMAB-00334) at 1:200 overnight at 4°C, followed by conjugation to the secondary antibody and DAB staining.
6. Paraformaldehyde-fixed, paraffin embedded Human Lung; Antigen retrieval by boiling in sodium citrate buffer (pH6.0) for 15 min; Antibody incubation with CD14 Monoclonal Antibody, Unconjugated (TMAB-00334) at 1:200 overnight at 4°C, followed by conjugation to the secondary antibody and DAB staining.
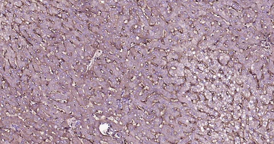
7. Paraformaldehyde-fixed, paraffin embedded Human Liver; Antigen retrieval by boiling in sodium citrate buffer (pH6.0) for 15 min; Antibody incubation with CD14 Monoclonal Antibody, Unconjugated (TMAB-00334) at 1:200 overnight at 4°C, followed by conjugation to the secondary antibody and DAB staining.
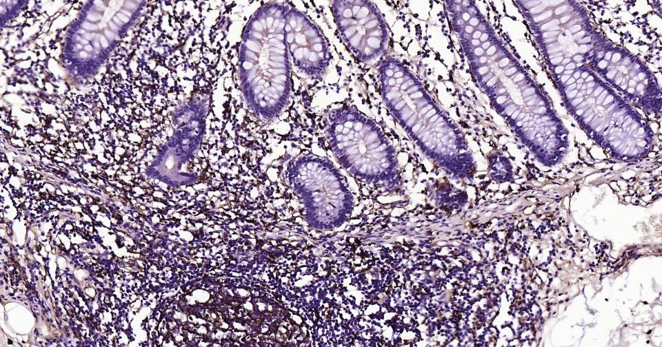
8. Paraformaldehyde-fixed, paraffin embedded Human Colon; Antigen retrieval by boiling in sodium citrate buffer (pH6.0) for 15 min; Antibody incubation with CD14 Monoclonal Antibody, Unconjugated (TMAB-00334) at 1:200 overnight at 4°C, followed by conjugation to the secondary antibody and DAB staining.
9. Paraformaldehyde-fixed, paraffin embedded Human Spleen; Antigen retrieval by boiling in sodium citrate buffer (pH6.0) for 15 min; Antibody incubation with CD14 Monoclonal Antibody, Unconjugated (TMAB-00334) at 1:200 overnight at 4°C, followed by conjugation to the secondary antibody and DAB staining.
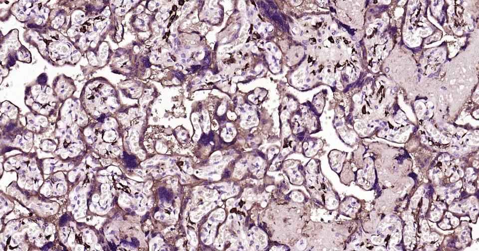
10. Paraformaldehyde-fixed, paraffin embedded Human Placenta; Antigen retrieval by boiling in sodium citrate buffer (pH6.0) for 15 min; Antibody incubation with CD14 Monoclonal Antibody, Unconjugated (TMAB-00334) at 1:200 overnight at 4°C, followed by conjugation to the secondary antibody and DAB staining.
11. Paraformaldehyde-fixed, paraffin embedded Human Lymph; Antigen retrieval by boiling in sodium citrate buffer (pH6.0) for 15 min; Antibody incubation with CD14 Monoclonal Antibody, Unconjugated (TMAB-00334) at 1:200 overnight at 4°C, followed by conjugation to the secondary antibody and DAB staining.
12. Paraformaldehyde-fixed, paraffin embedded Human Esophagus; Antigen retrieval by boiling in sodium citrate buffer (pH6.0) for 15 min; Antibody incubation with CD14 Monoclonal Antibody, Unconjugated (TMAB-00334) at 1:200 overnight at 4°C, followed by conjugation to the secondary antibody and DAB staining.
13. 25 μg total protein per Lane of various lysates probed with CD14 monoclonal antibody, unconjugated (TMAB-00334) at 1:1000 dilution and 4°C overnight incubation. Followed by conjugated secondary antibody incubation at RT for 60 min.
verifiedActivityverifiedActivityverifiedActivityverifiedActivityverifiedActivityverifiedActivityverifiedActivityverifiedActivityverifiedActivityverifiedActivityverifiedActivityverifiedActivityverifiedActivity
应用IFIHC-FrIHC-PWB
推荐剂量
IF=1:200-1000; IHC-Fr=1:200-1000; IHC-P=1:200-1000; WB=1:500-1000
抗体种类
Monoclonal
宿主来源Rabbit
亚细胞定位Cell membrane; Lipid-anchor, GPI-anchor.
构建方式Recombinant Antibody
纯化方式Protein A purified
性状Liquid
缓冲液0.01M TBS (pH7.4) with 1% BSA, 0.02% Proclin300 and 50% Glycerol.
浓度1 mg/mL
研究背景The protein encoded by this gene is a surface antigen that is preferentially expressed on monocytes/macrophages. It cooperates with other proteins to mediate the innate immune response to bacterial lipopolysaccharide. Alternative splicing results in multiple transcript variants encoding the same protein. [provided by RefSeq, Mar 2010]
抗原信息
免疫原
Recombinant Protein: human CD14 protein
抗原种属
Human
基因名称
CD14
基因ID
蛋白名称
Monocyte differentiation antigen CD14
Uniprot ID
研究领域
Negative Markers,Neutrophil Lineage,Monocytic Lineage,Human Lineage Negative,Endothelial Markers,CD markers ELISA kits,TLR Signaling,Myeloid Cells
功能
Cooperates with MD-2 and TLR4 to mediate the innate immune response to bacterial lipopolysaccharide (LPS). Acts via MyD88, TIRAP and TRAF6, leading to NF-kappa-B activation, cytokine secretion and the inflammatory response. Up-regulates cell surface molecules, including adhesion molecules.
化学信息
分子量Theoretical: 52~55 kDa. Actual: 47 kDa.
储存&溶解度
储存方式Store at -20°C or -80°C for 12 months. Avoid repeated freeze-thaw cycles.
运输方式Shipping with blue ice.

计算器

  • 稀释 计算器
  • 配液 计算器

关键词

Related Tags: buy Anti-CD14 Antibody (2E832) | purchase Anti-CD14 Antibody (2E832) | Anti-CD14 Antibody (2E832) cost | order Anti-CD14 Antibody (2E832) | Anti-CD14 Antibody (2E832) molecular weight