• TargetMol
    您的购物车当前为空

Anti-CCL5 Antibody (5P309)

一键复制产品信息
Rating icon 还可以
货号 TMAC-03532

别名 TCP228, SIS-δ, SIS-delta, SISd, SCYA5, RANTES, MuRantes, eoCP, D17S136E, CCL5

Anti-CCL5 Antibody (5P309) 是一种 Rabbit 抗体,靶向 CCL5。Anti-CCL5 Antibody (5P309) 可用于 ICC,IF,IHC,WB。

Anti-CCL5 Antibody (5P309)

Anti-CCL5 Antibody (5P309)

一键复制产品信息
Rating icon 还可以
货号 TMAC-03532 别名 TCP228, SIS-δ, SIS-delta, SISd, SCYA5, RANTES, MuRantes, eoCP, D17S136E, CCL5

Anti-CCL5 Antibody (5P309) 是一种 Rabbit 抗体,靶向 CCL5。Anti-CCL5 Antibody (5P309) 可用于 ICC,IF,IHC,WB。

规格价格库存数量
50 μL
¥ 1,485
5日内发货
100 μL
¥ 2,495
5日内发货
库存状态实时更新,以官网显示为准,现货产品可直接加购物车下单
大包装 & 定制
加入购物车
TargetMol的所有产品仅用作科学研究或药证申报,不能被用于人体,我们不向个人提供产品和服务。请您遵守承诺用途,不得违反法律法规规定用于任何其他用途。
实验操作小课堂
常见问题解答
查看更多
资源下载:

产品介绍


生物活性
产品描述
Anti-CCL5 Antibody (5P309) is a Rabbit antibody targeting CCL5. Anti-CCL5 Antibody (5P309) can be used in ICC,IF,IHC,WB.
别名TCP228, SIS-δ, SIS-delta, SISd, SCYA5, RANTES, MuRantes, eoCP, D17S136E, CCL5
Ig Type
IgG
克隆号
5P309
反应种属
Human,Mouse
验证活性
1. Western blot analysis of RANTES on mouse thymus tissue lysate using anti-RANTES antibody at 1/1,000 dilution.
2. Immunohistochemical analysis of paraffin-embedded human tonsil tissue using anti-RANTES antibody. Counter stained with hematoxylin.
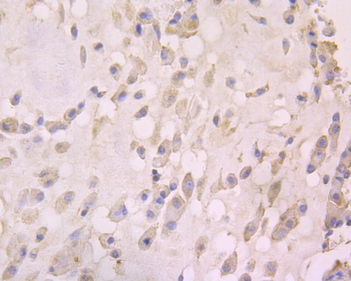
3. Immunohistochemical analysis of paraffin-embedded human breast cancer tissue using anti-RANTES antibody. Counter stained with hematoxylin.
4. Immunohistochemical analysis of paraffin-embedded human lung caner tissue using anti-RANTES antibody. Counter stained with hematoxylin.
5. ICC staining RANTES in Hela cells (green). The nuclear counter stain is DAPI (blue). Cells were fixed in paraformaldehyde, permeabilised with 0.25% Triton X100/PBS.
6. ICC staining RANTES in HUVEC cells (green). The nuclear counter stain is DAPI (blue). Cells were fixed in paraformaldehyde, permeabilised with 0.25% Triton X100/PBS.
verifiedActivityverifiedActivityverifiedActivityverifiedActivityverifiedActivityverifiedActivity
应用ICCIFIHCWB
推荐剂量
WB: 1:500-1000; IHC: 1:50-200; ICC:IF: 1:50-200
抗体种类
Monoclonal
宿主来源Rabbit
构建方式Recombinant Antibody
纯化方式ProA affinity purified
性状Liquid
缓冲液1*TBS (pH7.4), 1%BSA, 40%Glycerol. Preservative: 0.05% Sodium Azide.
研究背景Chemoattractant for blood monocytes, memory T-helper cells and eosinophils. Causes the release of histamine from basophils and activates eosinophils. Binds to CCR1, CCR3, CCR4 and CCR5. One of the major HIV-suppressive factors produced by CD8+ T-cells. Recombinant RANTES protein induces a dose-dependent inhibition of different strains of HIV-1, HIV-2, and simian immunodeficiency virus (SIV). The processed form RANTES(3-68) acts as a natural chemotaxis inhibitor and is a more potent inhibitor of HIV-1-infection. The second processed form RANTES(4-68) exhibits reduced chemotactic and HIV-suppressive activity compared with RANTES(1-68) and RANTES(3-68) and is generated by an unidentified enzyme associated with monocytes and neutrophils.
偶联与修饰
偶联
Unconjugated
抗原信息
免疫原
Recombinant Protein
Uniprot ID
化学信息
分子量Theoretical: 10 kDa.
储存&溶解度
储存方式Store at -20°C or -80°C for 12 months. Avoid repeated freeze-thaw cycles.
运输方式Shipping with blue ice.
存储store at low temperature | -20°C for 1 year

计算器

  • 稀释 计算器
Related Tags: buy Anti-CCL5 Antibody (5P309) | purchase Anti-CCL5 Antibody (5P309) | Anti-CCL5 Antibody (5P309) cost | order Anti-CCL5 Antibody (5P309) | Anti-CCL5 Antibody (5P309) molecular weight