购物车
  • 全部删除
  • TargetMol
    您的购物车当前为空

Anti-CBX5 Antibody (6Z70)

一键复制产品信息
Rating icon 还可以
产品编号 TMAC-02006
别名 HP1A, Heterochromatin protein 1 homolog alpha (HP1 alpha), Chromobox protein homolog 5, CBX5, Antigen p25

Anti-CBX5 Antibody (6Z70) 是一种 Mouse 抗体,靶向 CBX5。Anti-CBX5 Antibody (6Z70) 可用于 IHC,WB。

Anti-CBX5 Antibody (6Z70)

Anti-CBX5 Antibody (6Z70)

一键复制产品信息
Rating icon 还可以
产品编号 TMAC-02006 别名 HP1A, Heterochromatin protein 1 homolog alpha (HP1 alpha), Chromobox protein homolog 5, CBX5, Antigen p25

Anti-CBX5 Antibody (6Z70) 是一种 Mouse 抗体,靶向 CBX5。Anti-CBX5 Antibody (6Z70) 可用于 IHC,WB。

规格价格库存数量
50 μL
¥ 1,345
5日内发货
100 μL
¥ 2,190
5日内发货
大包装 & 定制
加入购物车
TargetMol 的所有产品仅用作科学研究或药证申报,不能被用于人体,我们不向个人提供产品和服务。请您遵守承诺用途,不得违反法律法规规定用于任何其他用途。
实验操作小课堂
常见问题解答
查看更多
联系我们获取更多批次信息
资源下载

产品介绍

生物活性
产品描述
Anti-CBX5 Antibody (6Z70) is a Mouse antibody targeting CBX5. Anti-CBX5 Antibody (6Z70) can be used in IHC,WB.
别名HP1A, Heterochromatin protein 1 homolog alpha (HP1 alpha), Chromobox protein homolog 5, CBX5, Antigen p25
Ig Type
IgG1
克隆号
6Z70
交叉反应
Human,Mouse,Rat
验证活性
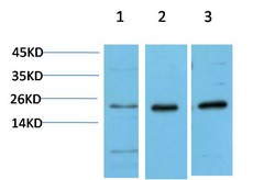
1. Western blot analysis of 1) Hela Cell Lysate, 2)3T3 Cell Lysate, 3) PC12 Cell Lysate using HP-1γα Mouse mAb diluted at 1:1000.
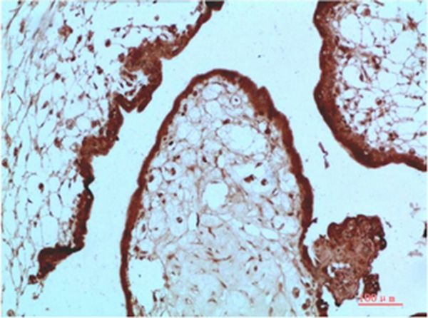
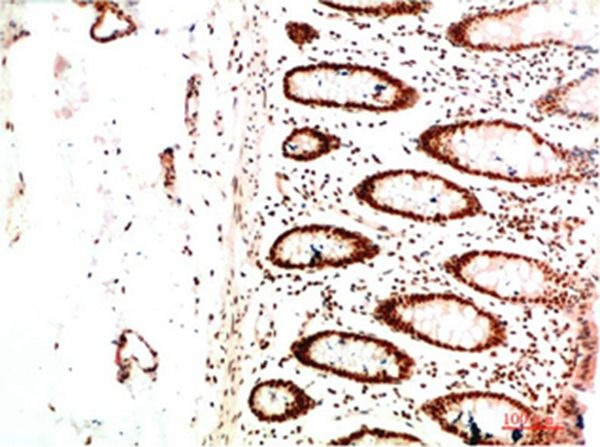
2. Immunohistochemical analysis of paraffin-embedded Human Colon Carcinoma Tissue using HP-1 α Mouse mAb diluted at 1:200.
3. Immunohistochemical analysis of paraffin-embedded Human Colon Carcinoma Tissue using HP-1 α Mouse mAb diluted at 1:200.
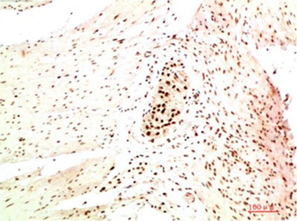
4. Immunohistochemical analysis of paraffin-embedded Human Placenta Tissue using HP-1 α Mouse mAb diluted at 1:200.
verifiedActivityverifiedActivityverifiedActivityverifiedActivity
应用IHCWB
推荐剂量
WB: 1:500-2000; IHC: 1:50-2000
抗体种类
Monoclonal
宿主来源Mouse
构建方式Hybridoma Monoclonal Antibody
性状Liquid
缓冲液Liquid in PBS containing 50% glycerol, 0.5% BSA and 0.02% sodium azide.
偶联与修饰
偶联
Unconjugated
抗原信息
免疫原
Recombinant Protein: HP-1α
Uniprot ID
化学信息
分子量Theoretical: 22 kDa.
存储&运输
储存方式Store at -20°C or -80°C for 12 months. Avoid repeated freeze-thaw cycles.
运输方式Shipping with blue ice.

计算器

  • 稀释 计算器

关键词

评论列表

4个月前
5.0
Rating icon 很棒

评论内容

Related Tags: buy Anti-CBX5 Antibody (6Z70) | purchase Anti-CBX5 Antibody (6Z70) | Anti-CBX5 Antibody (6Z70) cost | order Anti-CBX5 Antibody (6Z70) | Anti-CBX5 Antibody (6Z70) molecular weight