购物车
  • TargetMol
    您的购物车当前为空

Anti-Caspase-6 Antibody (5J689)

Synonyms: OTTHUMP00000162743, OTTHUMP00000162742, MCH2, Caspase-6 subunit p11, Caspase6, Caspase 6, apoptosis related cysteine peptidase, Caspase 6 apoptosis related cysteine protease, CASP6_HUMAN, CASP-6, CASP6, Apoptotic protease Mch-2, Apoptotic protease MCH2
货号 TMAC-00586 一键复制产品信息
Rating icon 还可以

Anti-Caspase-6 Antibody (5J689) 是一种 Rabbit 抗体,靶向 Caspase-6。Anti-Caspase-6 Antibody (5J689) 可用于 ICC/IF,IHC,IP,WB。

Anti-Caspase-6 Antibody (5J689)

一键复制产品信息
Rating icon 还可以
货号 TMAC-00586

别名 OTTHUMP00000162743, OTTHUMP00000162742, MCH2, Caspase-6 subunit p11, Caspase6, Caspase 6, apoptosis related cysteine peptidase, Caspase 6 apoptosis related cysteine protease, CASP6_HUMAN, CASP-6, CASP6, Apoptotic protease Mch-2, Apoptotic protease MCH2

Anti-Caspase-6 Antibody (5J689) 是一种 Rabbit 抗体,靶向 Caspase-6。Anti-Caspase-6 Antibody (5J689) 可用于 ICC/IF,IHC,IP,WB。

Anti-Caspase-6 Antibody (5J689)
规格价格库存数量
50 μL
¥ 1,495
5日内发货
100 μL
¥ 2,495
5日内发货
库存状态实时更新,以官网显示为准,现货产品可直接加购物车下单
大包装 & 定制
加入购物车

TargetMol的所有产品仅用作科学研究或药证申报,不能被用于人体,我们不向个人提供产品和服务。请您遵守承诺用途,不得违反法律法规规定用于任何其他用途。

实验操作小课堂
常见问题解答
查看更多

资源下载:产品操作手册

产品介绍


生物活性
产品描述
Anti-Caspase-6 Antibody (5J689) is a Rabbit antibody targeting Caspase-6. Anti-Caspase-6 Antibody (5J689) can be used in ICC/IF,IHC,IP,WB.
别名
OTTHUMP00000162743, OTTHUMP00000162742, MCH2, Caspase-6 subunit p11, Caspase6, Caspase 6, apoptosis related cysteine peptidase, Caspase 6 apoptosis related cysteine protease, CASP6_HUMAN, CASP-6, CASP6, Apoptotic protease Mch-2, Apoptotic protease MCH2
Ig Type
IgG
克隆号
5J689
反应种属
Human,Mouse,Rat
验证活性
1. Western blot analysis of Caspase-6 on different lysates using anti-Caspase-6 antibody at 1/1,000 dilution. Positive control: Lane 1: Mouse colon, Lane 2: MCF-7.
2. Immunohistochemical analysis of paraffin-embedded human breast carcinoma tissue using anti-Caspase-6 antibody. Counter stained with hematoxylin.
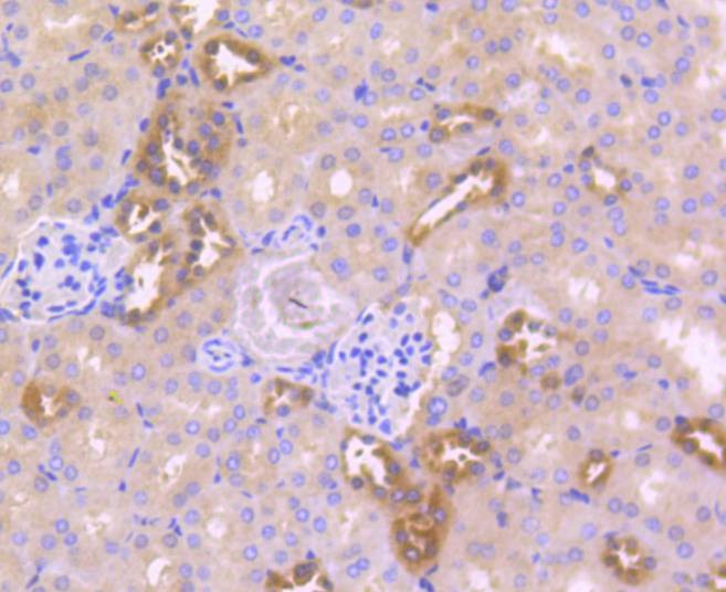
3. Immunohistochemical analysis of paraffin-embedded human kidney tissue using anti-Caspase-6 antibody. Counter stained with hematoxylin.
4. Immunohistochemical analysis of paraffin-embedded mouse kidney tissue using anti-Caspase-6 antibody. Counter stained with hematoxylin.
5. ICC staining Caspase-6 in SW480 cells (green). The nuclear counter stain is DAPI (blue). Cells were fixed in paraformaldehyde, permeabilised with 0.25% Triton X100/PBS.
verifiedActivityverifiedActivityverifiedActivityverifiedActivityverifiedActivity
应用ICC/IFIHCIPWB
推荐剂量
WB: 1:1000-2000; IHC: 1:50-200; ICC/IF: 1:50-200
抗体种类
Monoclonal
宿主来源Rabbit
构建方式Recombinant Antibody
纯化方式ProA affinity purified
性状Liquid
缓冲液1*TBS (pH7.4), 1%BSA, 40%Glycerol. Preservative: 0.05% Sodium Azide.
研究背景A unique family of cysteine proteases has been described that differs in sequence, structure and substrate specificity from any previously described protease family. This family, Ced-3/caspase-1, is comprised of caspase-1, caspase-2, caspase-3, caspase-4, caspase-6, caspase-7 (also designated Mch3, ICE-LAP3 or CMH-1), caspase-9 and caspase-10. Ced-3/ caspase-1 family members function as key components of the apoptotic machinery and act to destroy specific target proteins which are critical to cellular longevity. Poly(ADP-ribose)polymerase plays an integral role in surveying for DNA mutations and double strand breaks. Caspase-3, caspase-7 and caspase-9, but not caspase-1, have been shown to cleave the nuclear protein PARP into an apoptotic fragment. caspase-6, but not caspase-3, has been shown to cleave the nuclear lamins, which are critical to maintaining the integrity of the nuclear envelope and cellular morphology. Caspase-10 has been shown to activate caspase-3 and caspase-7 in response to apoptotic stimuli.
偶联与修饰
偶联
Unconjugated
抗原信息
免疫原
Recombinant Protein
Uniprot ID
化学信息
分子量Theoretical: 11/33 kDa.
储存&溶解度
储存方式Store at -20°C or -80°C for 12 months. Avoid repeated freeze-thaw cycles.
运输方式Shipping with blue ice.

计算器

  • 稀释 计算器
  • 配液 计算器
Related Tags: buy Anti-Caspase-6 Antibody (5J689) | purchase Anti-Caspase-6 Antibody (5J689) | Anti-Caspase-6 Antibody (5J689) cost | order Anti-Caspase-6 Antibody (5J689) | Anti-Caspase-6 Antibody (5J689) molecular weight