购物车
  • TargetMol
    您的购物车当前为空

Anti-Caspase-3 Polyclonal Antibody

Synonyms: Yama, SCA-1, CPP32B, CPP32, apopain
货号 TMAB-00285 一键复制产品信息
Rating icon 还可以

Anti-Caspase-3 Polyclonal Antibody 是一种 Rabbit 抗体,靶向 Caspase-3。Anti-Caspase-3 Polyclonal Antibody 可用于 ELISA,WB。

Anti-Caspase-3 Polyclonal Antibody

一键复制产品信息
Rating icon 还可以
货号 TMAB-00285

别名 Yama, SCA-1, CPP32B, CPP32, apopain

Anti-Caspase-3 Polyclonal Antibody 是一种 Rabbit 抗体,靶向 Caspase-3。Anti-Caspase-3 Polyclonal Antibody 可用于 ELISA,WB。

Anti-Caspase-3 Polyclonal Antibody
规格价格库存数量
50 μL
¥ 1,170
5日内发货
100 μL
¥ 1,975
5日内发货
库存状态实时更新,以官网显示为准,现货产品可直接加购物车下单
大包装 & 定制
加入购物车

TargetMol的所有产品仅用作科学研究或药证申报,不能被用于人体,我们不向个人提供产品和服务。请您遵守承诺用途,不得违反法律法规规定用于任何其他用途。

实验操作小课堂
常见问题解答
查看更多

选择批次:
颜色: 无色透明
性状: Liquid
资源下载: COA产品操作手册

产品介绍


生物活性
产品描述
Anti-Caspase-3 Polyclonal Antibody is a Rabbit antibody targeting Caspase-3. Anti-Caspase-3 Polyclonal Antibody can be used in ELISA,WB.
别名
Yama, SCA-1, CPP32B, CPP32, apopain
Ig Type
IgG
反应种属
Human,Mouse,Rat
验证活性
1. Sample:
Lane 1: Raji (Human) Cell Lysate at 30 μg
Lane 2: NIH/3T3 (Mouse) Cell Lysate at 30 μg
Lane 3: Lung (Mouse) Lysate at 40 μg
Lane 4: Lung (Rat) Lysate at 40 μg
Primary: Anti-Caspase-3 (TMAB-00285) at 1/1000 dilution
Secondary: IRDye800CW Goat Anti-Rabbit IgG at 1/20000 dilution
Predicted band size: 35 kDa
Observed band size: 37 kDa
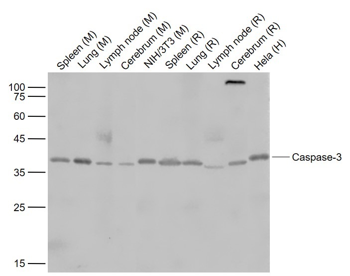
2. Sample:
Lane 1: Spleen (Mouse) Lysate at 40 μg
Lane 2: Lung (Mouse) Lysate at 40 μg
Lane 3: LympHnode (Mouse) Lysate at 40 μg
Lane 4: Cerebrum (Mouse) Lysate at 40 μg
Lane 5: NIH/3T3 (Mouse) Cell Lysate at 30 μg
Lane 6: Spleen (Rat) Lysate at 40 μg
Lane 7: Lung (Rat) Lysate at 40 μg
Lane 8: LympHnode (Rat) Lysate at 40 μg
Lane 9: Cerebrum (Rat) Lysate at 40 μg
Lane 10: Hela (Human) Cell Lysate at 30 μg
Primary: Anti-Caspase-3 (TMAB-00285) at 1/1000 dilution
Secondary: IRDye800CW Goat Anti-Rabbit IgG at 1/20000 dilution
Predicted band size: 35 kDa
Observed band size: 37 kDa
verifiedActivityverifiedActivity
应用ELISAWB
推荐剂量
WB: 1:500-2000; ELISA: 1:5000-10000
抗体种类
Polyclonal
宿主来源Rabbit
亚细胞定位Cytoplasm.
组织特异性Highly expressed in lung, spleen, heart, liver and kidney. Moderate levels in brain and skeletal muscle, and low in testis. Also found in many cell lines, highest expression in cells of the immune system.
构建方式Polyclonal Antibody
纯化方式Protein A purified
性状Liquid
缓冲液0.01M TBS (pH7.4) with 1% BSA, 0.02% Proclin300 and 50% Glycerol.
浓度1 mg/mL
研究背景The caspase family of cysteine proteases play a key role in apoptosis. Caspase 3 is the most extensively studied apoptotic protein among caspase family members. Caspase 3 is synthesized as inactive pro enzyme that is processed in cells undergoing apoptosis by self proteolysis and/or cleavage by other upstream proteases (e.g. Caspases 8, 9 and 10). The processed form of Caspase 3 consists of large (17kDa) and small (12kDa) subunits which associate to form an active enzyme. Caspase 3 is cleaved at Asp28 Ser29 and Asp175 Ser176. The active Caspase 3 proteolytically cleaves and activates other caspases (e.g. Caspases 6, 7 and 9), as well as relevant targets in the cells (e.g. PARP and DFF). Alternative splicing of this gene results in two transcript variants which encode the same protein. In immunohistochemical studies Caspase 3 expression has been shown to be widespread but not present in all cell types (e.g. commonly reported in epithelial cells of skin, renal proximal tubules and collecting ducts). Differences in the level of Caspase 3 have been reported in cells of short lived nature (eg germinal centre B cells) and those that are long lived (eg mantle zone B cells). Caspase 3 is the predominant caspase involved in the cleavage of amyloid beta 4A precursor protein, which is associated with neuronal death in Alzheimer's disease.
抗原信息
免疫原
KLH conjugated synthetic peptide: human caspase-3 p17 subunit
抗原种属
Human
基因名称
CASP3
基因ID
蛋白名称
Caspase-3
Uniprot ID
研究领域
Caspases,Metabolism,Caspases,Caspases,Other proteases,Apoptosis
功能
Involved in the activation cascade of caspases responsible for apoptosis execution. At the onset of apoptosis it proteolytically cleaves poly(ADP-ribose) polymerase (PARP) at a '216-Asp-|-Gly-217' bond. Cleaves and activates sterol regulatory element binding proteins (SREBPs) between the basic helix-loop-helix leucine zipper domain and the membrane attachment domain. Cleaves and activates caspase-6, -7 and -9. Involved in the cleavage of huntingtin. Triggers cell adhesion in sympathetic neurons through RET cleavage.
化学信息
分子量Theoretical: 17/32 kDa. Actual: 37 kDa.
储存&溶解度
储存方式Store at -20°C or -80°C for 12 months. Avoid repeated freeze-thaw cycles.
运输方式Shipping with blue ice.

计算器

  • 稀释 计算器
  • 配液 计算器
Related Tags: buy Anti-Caspase-3 Polyclonal Antibody | purchase Anti-Caspase-3 Polyclonal Antibody | Anti-Caspase-3 Polyclonal Antibody cost | order Anti-Caspase-3 Polyclonal Antibody | Anti-Caspase-3 Polyclonal Antibody molecular weight