购物车
  • TargetMol
    您的购物车当前为空

Anti-Caspase-3 Antibody (1S354)

Synonyms: Yama, SCA-1, CPP32B, CPP32, apopain
货号 TMAC-00582 一键复制产品信息
Rating icon 还可以

Anti-Caspase-3 Antibody (1S354) 是一种 Mouse 抗体,靶向 Caspase-3。Anti-Caspase-3 Antibody (1S354) 可用于 IHC。

Anti-Caspase-3 Antibody (1S354)

一键复制产品信息
Rating icon 还可以
货号 TMAC-00582

别名 Yama, SCA-1, CPP32B, CPP32, apopain

Anti-Caspase-3 Antibody (1S354) 是一种 Mouse 抗体,靶向 Caspase-3。Anti-Caspase-3 Antibody (1S354) 可用于 IHC。

Anti-Caspase-3 Antibody (1S354)
规格价格库存数量
50 μL
¥ 1,330
5日内发货
100 μL
¥ 2,195
5日内发货
库存状态实时更新,以官网显示为准,现货产品可直接加购物车下单
大包装 & 定制
加入购物车

TargetMol的所有产品仅用作科学研究或药证申报,不能被用于人体,我们不向个人提供产品和服务。请您遵守承诺用途,不得违反法律法规规定用于任何其他用途。

实验操作小课堂
常见问题解答
查看更多

资源下载:产品操作手册

产品介绍


生物活性
产品描述
Anti-Caspase-3 Antibody (1S354) is a Mouse antibody targeting Caspase-3. Anti-Caspase-3 Antibody (1S354) can be used in IHC.
别名
Yama, SCA-1, CPP32B, CPP32, apopain
Ig Type
IgG1
克隆号
1S354
反应种属
Human,Mouse,Rat
验证活性
1. Immunohistochemical analysis of paraffin-embedded Human Skin Tissue using Caspase-3 Mouse mAb diluted at 1:200.
2. Immunohistochemical analysis of paraffin-embedded Human Prostate Tissue using Caspase-3 Mouse mAb diluted at 1:200.
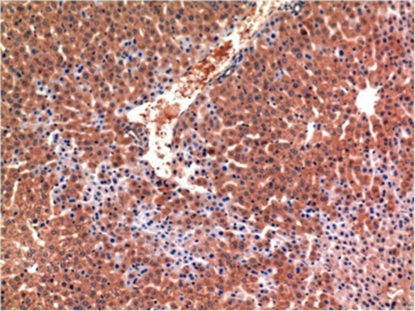
3. Immunohistochemical analysis of paraffin-embedded Mouse LiverTissue using Caspase-3 Mouse mAb diluted at 1:200.
verifiedActivityverifiedActivityverifiedActivity
应用IHC
推荐剂量
IHC: 1:100-200
抗体种类
Monoclonal
宿主来源Mouse
构建方式Hybridoma Monoclonal Antibody
性状Liquid
缓冲液Liquid in PBS containing 50% glycerol, 0.5% BSA and 0.02% sodium azide.
偶联与修饰
偶联
Unconjugated
抗原信息
免疫原
A synthesized peptide
Uniprot ID
化学信息
分子量Theoretical: 17/32 kDa.
储存&溶解度
储存方式Store at -20°C or -80°C for 12 months. Avoid repeated freeze-thaw cycles.
运输方式Shipping with blue ice.

计算器

  • 稀释 计算器
  • 配液 计算器
Related Tags: buy Anti-Caspase-3 Antibody (1S354) | purchase Anti-Caspase-3 Antibody (1S354) | Anti-Caspase-3 Antibody (1S354) cost | order Anti-Caspase-3 Antibody (1S354) | Anti-Caspase-3 Antibody (1S354) molecular weight