• TargetMol
    您的购物车当前为空

Anti-Calbindin Antibody (5F708)

一键复制产品信息
Rating icon 还可以
货号 TMAC-00518

别名 Vitamin D-dependent calcium-binding protein, avian-type, D-28K, Calbindin D28, Calbindin, CALB1, CAB27

Anti-Calbindin Antibody (5F708) 是一种 Rabbit 抗体,靶向 Calbindin。Anti-Calbindin Antibody (5F708) 可用于 ICC/IF,IHC,WB。

Anti-Calbindin Antibody (5F708)

Anti-Calbindin Antibody (5F708)

一键复制产品信息
Rating icon 还可以
货号 TMAC-00518 别名 Vitamin D-dependent calcium-binding protein, avian-type, D-28K, Calbindin D28, Calbindin, CALB1, CAB27

Anti-Calbindin Antibody (5F708) 是一种 Rabbit 抗体,靶向 Calbindin。Anti-Calbindin Antibody (5F708) 可用于 ICC/IF,IHC,WB。

规格价格库存数量
50 μL
¥ 1,495
5日内发货
100 μL
¥ 2,490
5日内发货
库存状态实时更新,以官网显示为准,现货产品可直接加购物车下单
大包装 & 定制
加入购物车
TargetMol的所有产品仅用作科学研究或药证申报,不能被用于人体,我们不向个人提供产品和服务。请您遵守承诺用途,不得违反法律法规规定用于任何其他用途。
实验操作小课堂
常见问题解答
查看更多
资源下载:

产品介绍


生物活性
产品描述
Anti-Calbindin Antibody (5F708) is a Rabbit antibody targeting Calbindin. Anti-Calbindin Antibody (5F708) can be used in ICC/IF,IHC,WB.
别名Vitamin D-dependent calcium-binding protein, avian-type, D-28K, Calbindin D28, Calbindin, CALB1, CAB27
Ig Type
IgG
克隆号
5F708
反应种属
Human,Mouse,Rat
验证活性
1. Western blot analysis of Calbindin on different lysates using anti-Calbindin antibody at 1/1,000 dilution. Positive control: Lane 1: Rat brain, Lane 2: Mouse kidney.
2. Immunohistochemical analysis of paraffin-embedded rat brain tissue using anti-Calbindin antibody. Counter stained with hematoxylin.
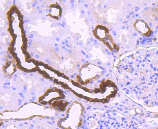
3. Immunohistochemical analysis of paraffin-embedded human kidney tissue using anti-Calbindin antibody. Counter stained with hematoxylin.
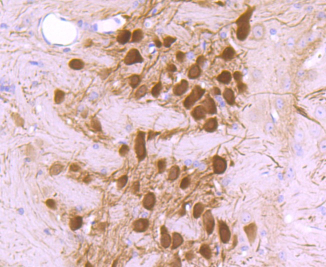
4. Immunohistochemical analysis of paraffin-embedded mouse brain tissue using anti-Calbindin antibody. Counter stained with hematoxylin.
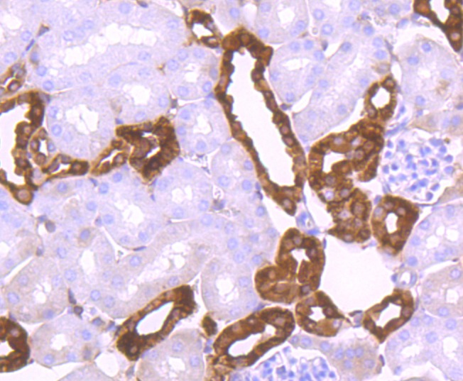
5. Immunohistochemical analysis of paraffin-embedded mouse kidney tissue using anti-Calbindin antibody. Counter stained with hematoxylin.
6. ICC staining Calbindin in PC-12 cells (red). The nuclear counter stain is DAPI (blue). Cells were fixed in paraformaldehyde, permeabilised with 0.25% Triton X100/PBS.
7. ICC staining Calbindin in 293T cells (red). The nuclear counter stain is DAPI (blue). Cells were fixed in paraformaldehyde, permeabilised with 0.25% Triton X100/PBS.
verifiedActivityverifiedActivityverifiedActivityverifiedActivityverifiedActivityverifiedActivityverifiedActivity
应用ICC/IFIHCWB
推荐剂量
WB: 1:1000-2000; IHC: 1:50-200; ICC/IF: 1:50-200
抗体种类
Monoclonal
宿主来源Rabbit
构建方式Recombinant Antibody
纯化方式ProA affinity purified
性状Liquid
缓冲液1*TBS (pH7.4), 1%BSA, 40%Glycerol. Preservative: 0.05% Sodium Azide.
研究背景The family of EF-hand type Ca2+-binding proteins includes Calbindin D28K, Calbindin D9K, S-100 α and β, Calgranulin A (also designated MRP8), Calgranulin B (also designated MRP14), Calgranulin C and the Parvalbumin family members, including Parvalbumin α and Parvalbumin β (also designated oncomodulin). Calbindin D28K, also known as calbindin, CALB1, D-28K or vitamin D-dependent calcium-binding protein, is a 261 amino acid protein with six EF-hand domains, four of which are active calcium-binding domains. Expressed in brain, ovary, uterus, testis, pancreas, liver, kidney and intestine, Calbindin D28K acts as a calcium-buffering agent and alters the activity of the plasma membrane ATPase. In neuronal cells, Calbindin D28K modulates calcium channel activity, calcium transients and intrinsic neuronal firing activity. Also, Calbindin D28K has been implicated to play a role in apoptosis and microtubule function.
偶联与修饰
偶联
Unconjugated
抗原信息
免疫原
Recombinant Protein
Uniprot ID
化学信息
分子量Theoretical: 28 kDa.
储存&溶解度
储存方式Store at -20°C or -80°C for 12 months. Avoid repeated freeze-thaw cycles.
运输方式Shipping with blue ice.
存储store at low temperature | -20°C for 1 year

计算器

  • 稀释 计算器
Related Tags: buy Anti-Calbindin Antibody (5F708) | purchase Anti-Calbindin Antibody (5F708) | Anti-Calbindin Antibody (5F708) cost | order Anti-Calbindin Antibody (5F708) | Anti-Calbindin Antibody (5F708) molecular weight