购物车
  • TargetMol
    您的购物车当前为空

Anti-c-Rel Antibody (9I816)

Synonyms: REL, Proto-oncogene c-Rel
货号 TMAC-00977 一键复制产品信息
Rating icon 还可以

Anti-c-Rel Antibody (9I816) 是一种 Rabbit 抗体,靶向 c-Rel。Anti-c-Rel Antibody (9I816) 可用于 IHC,IP,WB。

Anti-c-Rel Antibody (9I816)

一键复制产品信息
Rating icon 还可以
货号 TMAC-00977

别名 REL, Proto-oncogene c-Rel

Anti-c-Rel Antibody (9I816) 是一种 Rabbit 抗体,靶向 c-Rel。Anti-c-Rel Antibody (9I816) 可用于 IHC,IP,WB。

Anti-c-Rel Antibody (9I816)
规格价格库存数量
50 μL
¥ 1,490
5日内发货
100 μL
¥ 2,480
5日内发货
库存状态实时更新,以官网显示为准,现货产品可直接加购物车下单
大包装 & 定制
加入购物车

TargetMol的所有产品仅用作科学研究或药证申报,不能被用于人体,我们不向个人提供产品和服务。请您遵守承诺用途,不得违反法律法规规定用于任何其他用途。

实验操作小课堂
常见问题解答
查看更多

资源下载:产品操作手册

产品介绍


生物活性
产品描述
Anti-c-Rel Antibody (9I816) is a Rabbit antibody targeting c-Rel. Anti-c-Rel Antibody (9I816) can be used in IHC,IP,WB.
别名
REL, Proto-oncogene c-Rel
Ig Type
IgG
克隆号
9I816
反应种属
Human
验证活性
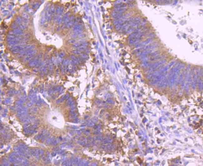
1. Immunohistochemical analysis of paraffin-embedded human tonsil tissue using anti-c-Rel antibody. Counter stained with hematoxylin.
2. Immunohistochemical analysis of paraffin-embedded human colon cancer tissue using anti-c-Rel antibody. Counter stained with hematoxylin.
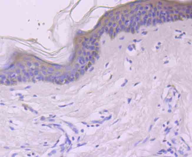
3. Immunohistochemical analysis of paraffin-embedded human skin tissue using anti-c-Rel antibody. Counter stained with hematoxylin.
verifiedActivityverifiedActivityverifiedActivity
应用IHCIPWB
推荐剂量
WB: 1:500; IHC: 1:50-200
抗体种类
Monoclonal
宿主来源Rabbit
构建方式Recombinant Antibody
纯化方式ProA affinity purified
性状Liquid
缓冲液1*TBS (pH7.4), 1%BSA, 40%Glycerol. Preservative: 0.05% Sodium Azide.
研究背景c-Rel is the cellular cognate of v-Rel, the avian reticuloendotheliosis virus strain T transforming gene. v-Rel encodes a phosphoprotein that is located in the cytoplasm of transformed spleen cells and in the nucleus of non-transformed fibroblasts, in contrast to the c-Rel protein, which is cytoplasmic. c-Rel has been shown to represent a constituent of the κB site binding transcription factor NFκB, which plays a crucial role in the expression of immunoglobulin κ light chain gene. In contrast to c-Rel, v-Rel is truncated in its C-terminal transactivation domain and does not appear to function as a transcriptional transactivator. It has thus been postulated that v-Rel may interfere with the normal transcription of NFκB regulated genes and thus cause transformation by a mechanism analogous to v-ErbA, which binds to the thyroid hormone-responsive region in certain erythroid genes needed for differentiation, but cannot be activated by thyroid hormone.
偶联与修饰
偶联
Unconjugated
抗原信息
免疫原
Recombinant Protein
Uniprot ID
化学信息
分子量Theoretical: 68 kDa.
储存&溶解度
储存方式Store at -20°C or -80°C for 12 months. Avoid repeated freeze-thaw cycles.
运输方式Shipping with blue ice.

计算器

  • 稀释 计算器
  • 配液 计算器
Related Tags: buy Anti-c-Rel Antibody (9I816) | purchase Anti-c-Rel Antibody (9I816) | Anti-c-Rel Antibody (9I816) cost | order Anti-c-Rel Antibody (9I816) | Anti-c-Rel Antibody (9I816) molecular weight