• TargetMol
    您的购物车当前为空

Anti-C-Kit Polyclonal Antibody

一键复制产品信息
Rating icon 还可以
货号 TMAB-00435

别名 v-kit Hardy-Zuckerman 4 feline sarcoma viral oncogene homolog, SCFR, PBT, c-kit, CD117

Anti-C-Kit Polyclonal Antibody 是一种 Rabbit 抗体,靶向 C-Kit。Anti-C-Kit Polyclonal Antibody 可用于 FCM,IF,IHC-Fr,IHC-P。

Anti-C-Kit Polyclonal Antibody

Anti-C-Kit Polyclonal Antibody

一键复制产品信息
Rating icon 还可以
货号 TMAB-00435 别名 v-kit Hardy-Zuckerman 4 feline sarcoma viral oncogene homolog, SCFR, PBT, c-kit, CD117

Anti-C-Kit Polyclonal Antibody 是一种 Rabbit 抗体,靶向 C-Kit。Anti-C-Kit Polyclonal Antibody 可用于 FCM,IF,IHC-Fr,IHC-P。

规格价格库存数量
50 μL
¥ 1,175
5日内发货
100 μL
¥ 1,970
5日内发货
200 μL
¥ 2,795
5日内发货
库存状态实时更新,以官网显示为准,现货产品可直接加购物车下单
大包装 & 定制
加入购物车
TargetMol的所有产品仅用作科学研究或药证申报,不能被用于人体,我们不向个人提供产品和服务。请您遵守承诺用途,不得违反法律法规规定用于任何其他用途。
实验操作小课堂
常见问题解答
查看更多
资源下载:

产品介绍


生物活性
产品描述
Anti-C-Kit Polyclonal Antibody is a Rabbit antibody targeting C-Kit. Anti-C-Kit Polyclonal Antibody can be used in FCM,IF,IHC-Fr,IHC-P.
别名v-kit Hardy-Zuckerman 4 feline sarcoma viral oncogene homolog, SCFR, PBT, c-kit, CD117
Ig Type
IgG
反应种属
Human,Mouse,Rat (predicted:Pig,Cow,Horse,Sheep)
验证活性
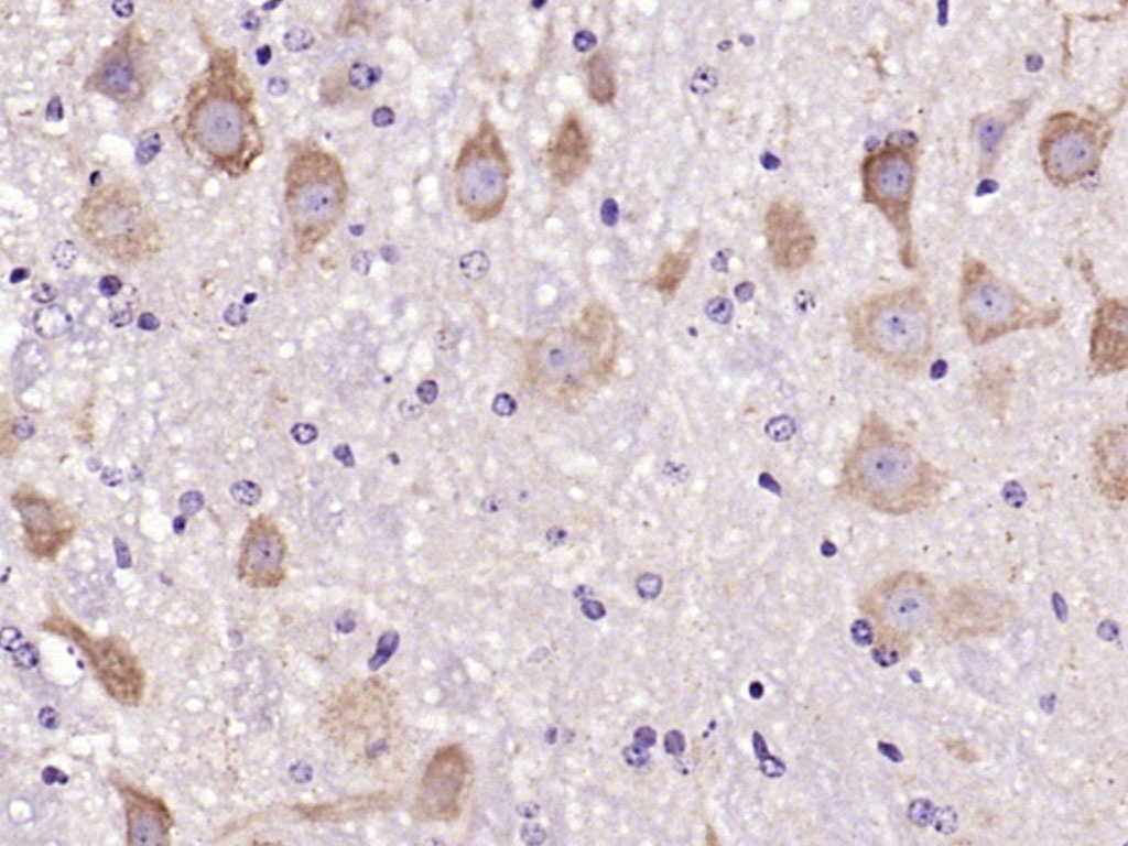
1. Paraformaldehyde-fixed, paraffin embedded (Rat brain); Antigen retrieval by microwave in sodium citrate buffer (pH6.0); Block endogenous peroxidase by 3% hydrogen peroxide for 30 minutes; Blocking buffer (3% BSA) at RT for 30 min; Antibody incubation with (c-Kit) Polyclonal Antibody, Unconjugated (TMAB-00435) at 1:400 overnight at 4°C, followed by conjugation to the secondary antibody (labeled with HRP) and DAB staining.
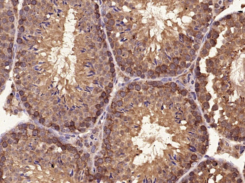
2. Paraformaldehyde-fixed, paraffin embedded (Mouse testis); Antigen retrieval by microwave in sodium citrate buffer (pH6.0); Block endogenous peroxidase by 3% hydrogen peroxide for 30 minutes; Blocking buffer (3% BSA) at RT for 30 min; Antibody incubation with (c-Kit) Polyclonal Antibody, Unconjugated (TMAB-00435) at 1:400 overnight at 4°C, followed by conjugation to the secondary antibody (labeled with HRP) and DAB staining.
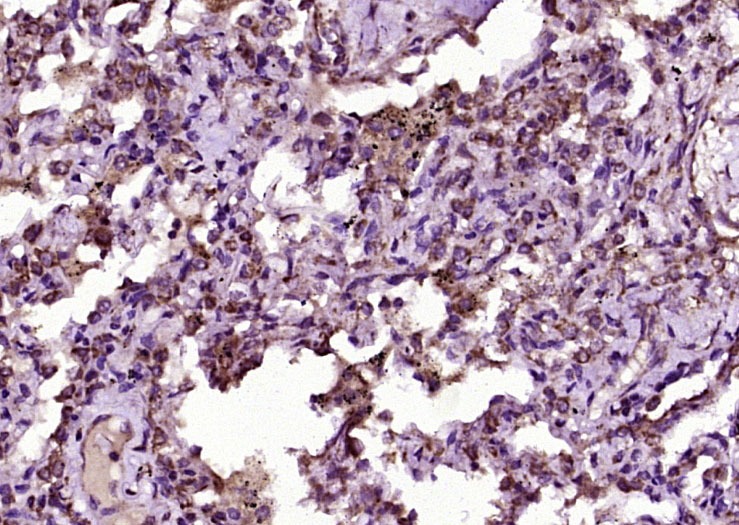
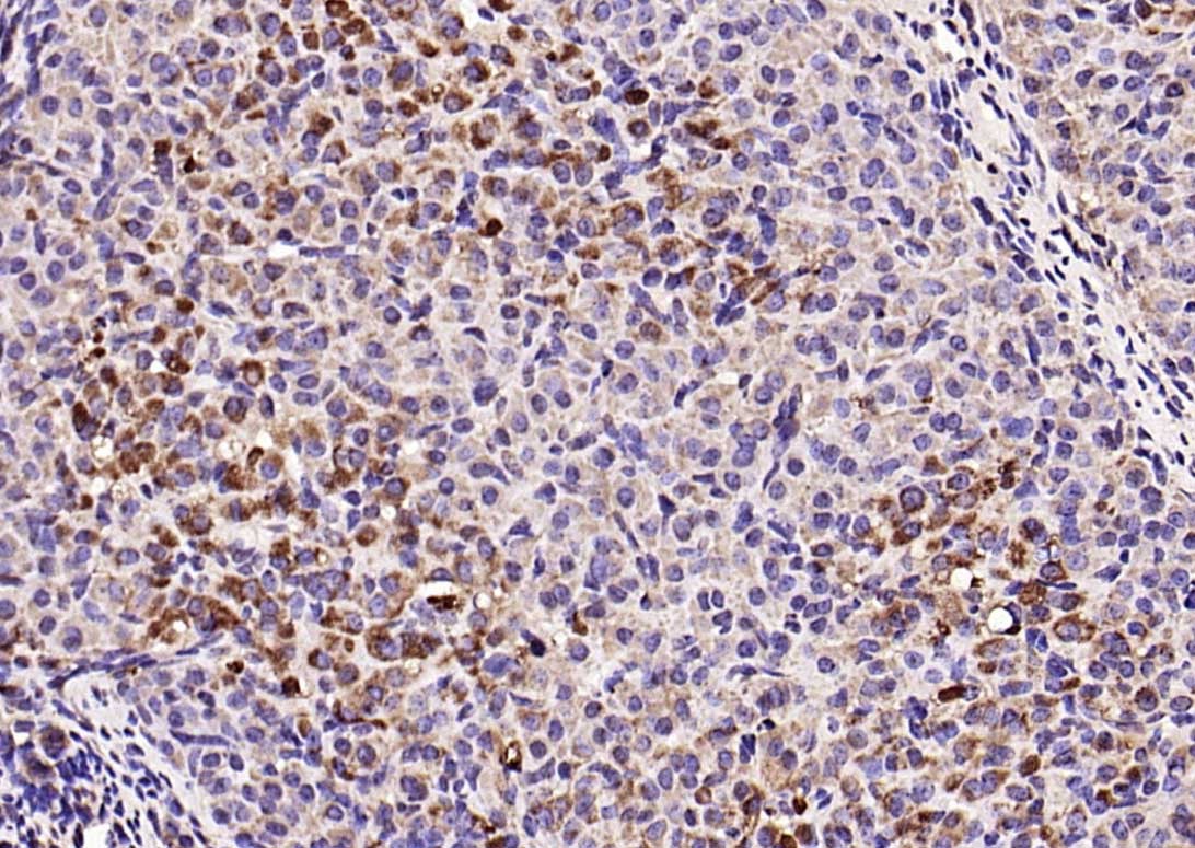
3. Paraformaldehyde-fixed, paraffin embedded (Human lung carcinoma); Antigen retrieval by boiling in sodium citrate buffer (pH6.0) for 15 min; Block endogenous peroxidase by 3% hydrogen peroxide for 20 min; Blocking buffer (normal goat serum) at 37°C for 30 min; Antibody incubation with (c-Kit) Polyclonal Antibody, Unconjugated (TMAB-00435) at 1:400 overnight at 4°C, followed by operating according to SP Kit (Rabbit) instructionsand DAB staining.
4. Blank control (blue): K562 (fixed with 2% paraformaldehyde for 10 min at 37°C). Primary Antibody: Rabbit Anti-c-Kit antibody (TMAB-00435,Green); Dilution: 1 μg in 100 μL 1X PBS containing 0.5% BSA; Isotype Control Antibody: Rabbit Igg (orange),used under the same conditions; Secondary Antibody: Goat anti-rabbit IgG-FITC (white blue), Dilution: 1:200 in 1 X PBS containing 0.5% BSA.
5. Paraformaldehyde-fixed, paraffin embedded (mouse ovary); Antigen retrieval by boiling in sodium citrate buffer (pH6.0) for 15 min; Block endogenous peroxidase by 3% hydrogen peroxide for 20 min; Blocking buffer (normal goat serum) at 37°C for 30 min; Antibody incubation with (c-Kit) Polyclonal Antibody, Unconjugated (TMAB-00435) at 1:200 overnight at 4°C, followed by operating according to SP Kit (Rabbit) instructionsand DAB staining.
6. Paraformaldehyde-fixed, paraffin embedded (mouse cerebellum); Antigen retrieval by boiling in sodium citrate buffer (pH6.0) for 15 min; Block endogenous peroxidase by 3% hydrogen peroxide for 20 min; Blocking buffer (normal goat serum) at 37°C for 30 min; Antibody incubation with (c-Kit) Polyclonal Antibody, Unconjugated (TMAB-00435) at 1:200 overnight at 4°C, followed by operating according to SP Kit (Rabbit) instructionsand DAB staining.
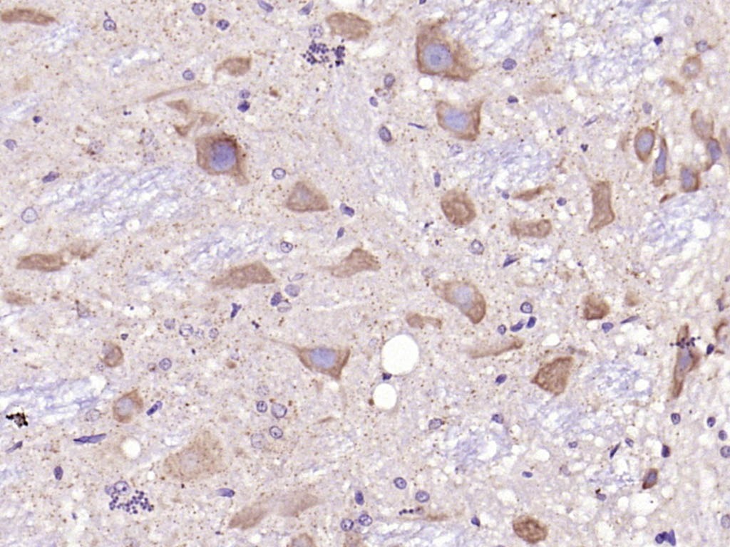
7. Paraformaldehyde-fixed, paraffin embedded (human brain); Antigen retrieval by boiling in sodium citrate buffer (pH6.0) for 15 min; Block endogenous peroxidase by 3% hydrogen peroxide for 20 min; Blocking buffer (normal goat serum) at 37°C for 30 min; Antibody incubation with (c-Kit) Polyclonal Antibody, Unconjugated (TMAB-00435) at 1:200 overnight at 4°C, followed by operating according to SP Kit (Rabbit) instructionsand DAB staining.
8. Paraformaldehyde-fixed, paraffin embedded (rat cerebellum); Antigen retrieval by boiling in sodium citrate buffer (pH6.0) for 15 min; Block endogenous peroxidase by 3% hydrogen peroxide for 20 min; Blocking buffer (normal goat serum) at 37°C for 30 min; Antibody incubation with (c-Kit) Polyclonal Antibody, Unconjugated (TMAB-00435) at 1:200 overnight at 4°C, followed by operating according to SP Kit (Rabbit) instructionsand DAB staining.
9. Paraformaldehyde-fixed, paraffin embedded (rat ovary); Antigen retrieval by boiling in sodium citrate buffer (pH6.0) for 15 min; Block endogenous peroxidase by 3% hydrogen peroxide for 20 min; Blocking buffer (normal goat serum) at 37°C for 30 min; Antibody incubation with (c-Kit) Polyclonal Antibody, Unconjugated (TMAB-00435) at 1:200 overnight at 4°C, followed by operating according to SP Kit (Rabbit) instructionsand DAB staining.
verifiedActivityverifiedActivityverifiedActivityverifiedActivityverifiedActivityverifiedActivityverifiedActivityverifiedActivityverifiedActivity
应用FCMIFIHC-FrIHC-P
推荐剂量
IHC-P: 1:100-500; IHC-Fr: 1:100-500; IF: 1:100-500; FCM: 1μg/Test
抗体种类
Polyclonal
宿主来源Rabbit
亚细胞定位Isoform 1: Cell membrane; Single-pass type I membrane protein. Isoform 2: Cell membrane; Single-pass type I membrane protein. Isoform 3: Cytoplasm. Note=Detected in the cytoplasm of spermatozoa, especially in the equatorial and subacrosomal region of the sperm head.
组织特异性Isoform 1 and isoform 2 are detected in spermatogonia and Leydig cells. Isoform 3 is detected in round spermatids, elongating spermatids and spermatozoa (at protein level). Widely expressed. Detected in the hematopoietic system, the gastrointestinal syste
构建方式Polyclonal Antibody
纯化方式Protein A purified
性状Liquid
缓冲液0.01M TBS (pH7.4) with 1% BSA, 0.02% Proclin300 and 50% Glycerol.
浓度1 mg/mL
研究背景c-Kit is a transmembrane tyrosine kinase encoded by the cKit proto oncogene. c-Kit acts to regulate a variety of biological responses including cell proliferation, apoptosis, chemotaxis and adhesion. Ligand binding to the extracellular domain leads to autophosphorylation on several tyrosine residues within the cytoplasmic domain, and activation. Mutations in c-Kit have been found to be important for tumor growth and progression in a variety of cancers including mast cell diseases, gastrointestinal stromal tumor, acute myeloid leukemia, Ewing sarcoma and lung cancer. Phosphorylation at tyrosine 721 of c-Kit allows binding and activation of PI3 kinase.
抗原信息
免疫原
KLH conjugated synthetic peptide: human CD117
抗原种属
Human
基因名称
KIT
基因ID
蛋白名称
Mast/stem cell growth factor receptor Kit
Uniprot ID
研究领域
Growth factor receptors,Receptor tyrosine kinases,Hematopoietic system development,Germ cell markers,Cytokines,Tyrosine Kinase Receptors,Receptor Tyrosine Kinases,Embryonic Germ Cells,HSC markers,Mast Cell Lineage,Surface Molecules,Tumor Associated
功能
Tyrosine-protein kinase that acts as cell-surface receptor for the cytokine KITLG/SCF and plays an essential role in the regulation of cell survival and proliferation, hematopoiesis, stem cell maintenance, gametogenesis, mast cell development, migration and function, and in melanogenesis. In response to KITLG/SCF binding, KIT can activate several signaling pathways. Phosphorylates PIK3R1, PLCG1, SH2B2/APS and CBL. Activates the AKT1 signaling pathway by phosphorylation of PIK3R1, the regulatory subunit of phosphatidylinositol 3-kinase. Activated KIT also transmits signals via GRB2 and activation of RAS, RAF1 and the MAP kinases MAPK1/ERK2 and/or MAPK3/ERK1. Promotes activation of STAT family members STAT1, STAT3, STAT5A and STAT5B. Activation of PLCG1 leads to the production of the cellular signaling molecules diacylglycerol and inositol 1,4,5-trisphosphate.
化学信息
分子量Theoretical: 105 kDa.
储存&溶解度
储存方式Store at -20°C or -80°C for 12 months. Avoid repeated freeze-thaw cycles.
运输方式Shipping with blue ice.
存储store at low temperature | store at -20°C

计算器

  • 稀释 计算器

关键词

Related Tags: buy Anti-C-Kit Polyclonal Antibody | purchase Anti-C-Kit Polyclonal Antibody | Anti-C-Kit Polyclonal Antibody cost | order Anti-C-Kit Polyclonal Antibody | Anti-C-Kit Polyclonal Antibody molecular weight