购物车
  • TargetMol
    您的购物车当前为空

Anti-BDNF Antibody (1R78)

Synonyms: brain-derived neurotrophic factor
货号 TMAB-00207 一键复制产品信息
Rating icon 还可以

Anti-BDNF Antibody (1R78) 是一种 Rabbit 抗体,靶向 CDK2。Anti-BDNF Antibody (1R78) 可用于 WB,IHC-P,IHC-F,IF,FCM。

Anti-BDNF Antibody (1R78)

一键复制产品信息
Rating icon 还可以
货号 TMAB-00207

别名 brain-derived neurotrophic factor

Anti-BDNF Antibody (1R78) 是一种 Rabbit 抗体,靶向 CDK2。Anti-BDNF Antibody (1R78) 可用于 WB,IHC-P,IHC-F,IF,FCM。

Anti-BDNF Antibody (1R78)
规格价格库存数量
25 μL
¥ 785
5日内发货
50 μL
¥ 1,385
5日内发货
100 μL
¥ 2,495
5日内发货
库存状态实时更新,以官网显示为准,现货产品可直接加购物车下单
大包装 & 定制
加入购物车

TargetMol的所有产品仅用作科学研究或药证申报,不能被用于人体,我们不向个人提供产品和服务。请您遵守承诺用途,不得违反法律法规规定用于任何其他用途。

实验操作小课堂
常见问题解答
查看更多

资源下载:产品操作手册

产品介绍


生物活性
产品描述
Anti-BDNF Antibody (1R78) is a Rabbit antibody targeting CDK2. Anti-BDNF Antibody (1R78) can be used in WB,IHC-P,IHC-F,IF,FCM.
别名
brain-derived neurotrophic factor
Ig Type
IgG
克隆号
1R78
反应种属
Human,Mouse,Rat
验证活性
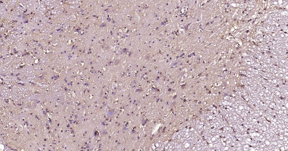
1. 25 μg total protein per Lane of various lysates probed with BDNF monoclonal antibody, unconjugated (TMAB-00207) at 1:1000 dilution and 4°C overnight incubation. Followed by conjugated secondary antibody incubation at RT for 60 min.
2. Paraformaldehyde-fixed, paraffin embedded Mouse Cerebrum; Antigen retrieval by boiling in sodium citrate buffer (pH6.0) for 15 min; Antibody incubation with BDNF Monoclonal Antibody, Unconjugated (TMAB-00207) at 1:200 overnight at 4°C, followed by conjugation to the SP Kit (Rabbit) and DAB staining.
3. Paraformaldehyde-fixed, paraffin embedded Rat Cerebrum; Antigen retrieval by boiling in sodium citrate buffer (pH6.0) for 15 min; Antibody incubation with BDNF Monoclonal Antibody, Unconjugated (TMAB-00207) at 1:200 overnight at 4°C, followed by conjugation to the SP Kit (Rabbit) and DAB staining.
4. Paraformaldehyde-fixed, paraffin embedded Mouse Cerebellum; Antigen retrieval by boiling in sodium citrate buffer (pH6.0) for 15 min; Antibody incubation with BDNF Monoclonal Antibody, Unconjugated (TMAB-00207) at 1:200 overnight at 4°C, followed by conjugation to the SP Kit (Rabbit) and DAB staining.
5. Paraformaldehyde-fixed, paraffin embedded Rat Cerebellum; Antigen retrieval by boiling in sodium citrate buffer (pH6.0) for 15 min; Antibody incubation with BDNF Monoclonal Antibody, Unconjugated (TMAB-00207) at 1:200 overnight at 4°C, followed by conjugation to the SP Kit (Rabbit) and DAB staining.
6. Paraformaldehyde-fixed, paraffin embedded Rat Spinal Cord; Antigen retrieval by boiling in sodium citrate buffer (pH6.0) for 15 min; Antibody incubation with BDNF Monoclonal Antibody, Unconjugated (TMAB-00207) at 1:200 overnight at 4°C, followed by conjugation to the SP Kit (Rabbit) and DAB staining.
7. Paraformaldehyde-fixed, paraffin embedded Human Left Parietal Lobe; Antigen retrieval by boiling in sodium citrate buffer (pH6.0) for 15 min; Antibody incubation with BDNF Monoclonal Antibody, Unconjugated (TMAB-00207) at 1:200 overnight at 4°C, followed by conjugation to the SP Kit (Rabbit) and DAB staining.
verifiedActivityverifiedActivityverifiedActivityverifiedActivityverifiedActivityverifiedActivityverifiedActivity
应用WBIHC-PIHC-FIFFCM
推荐剂量
WB=1:1000-2000,IHC-P=1:100-500,IHC-F=1:100-500,IF=1:100-500,FCM=1:100-200
抗体种类
Monoclonal
宿主来源Rabbit
亚细胞定位Secreted.
组织特异性Brain. Highly expressed in hippocampus, amygdala, cerebral cortex and cerebellum. Also expressed in heart, lung, skeletal muscle, testis, prostate and placenta.
构建方式Recombinant Antibody
纯化方式Protein A purified
性状Liquid
缓冲液0.01M TBS (pH7.4) with 1% BSA, 0.02% Proclin300 and 50% Glycerol.
浓度1 mg/mL
研究背景Neurotrophins function to regulate naturally occurring cell death of neurons during development. The prototype neurotrophin is nerve growth factor (NGF), originally discovered in the 1950s as a soluble peptide promoting the survival of, and neurite outgrowth from, sympathetic ganglia. More recently, three additional structurally homologous neurotrophic factors have been identified. These include brain-derived neurotrophic factor (BDNF), neurotrophin-3 (NT-3) and neurotrophin-4 (NT-4), also designated NT-5. These various neurotrophins stimulate the in vitro survival of distinct but partially overlapping populations of neurons. The Trk A receptor is the preferential receptor for NGF, but also binds NT-3 and NT-4. The Trk B receptor binds equally well to both BDNF and NT-4 and to a lesser extent NT-3, while the Trk C receptor only binds NT-3. BDNF promotes the survival of neuronal populations that are all located either in the central nervous system or directly connected to it. Belongs to the NGF-beta family.
抗原信息
免疫原
A synthesized peptide: human BDNF
抗原种属
Human
基因名称
BDNF
基因ID
蛋白名称
Brain-derived neurotrophic factor
Uniprot ID
研究领域
Diabetes associated,Thrombosis,Diabetes,Obesity,Neurotrophins,Alzheimer's disease,Huntington's disease,bdnf
功能
During development, promotes the survival and differentiation of selected neuronal populations of the peripheral and central nervous systems. Participates in axonal growth, pathfinding and in the modulation of dendritic growth and morphology. Major regulator of synaptic transmission and plasticity at adult synapses in many regions of the CNS. The versatility of BDNF is emphasized by its contribution to a range of adaptive neuronal responses including long-term potentiation (LTP), long-term depression (LTD), certain forms of short-term synaptic plasticity, as well as homeostatic regulation of intrinsic neuronal excitability.
化学信息
分子量Theoretical: 27 kDa. Actual: 35 kDa.
储存&溶解度
储存方式Store at -20°C or -80°C for 12 months. Avoid repeated freeze-thaw cycles.
运输方式Shipping with blue ice.

计算器

  • 稀释 计算器
  • 配液 计算器
Related Tags: buy Anti-BDNF Antibody (1R78) | purchase Anti-BDNF Antibody (1R78) | Anti-BDNF Antibody (1R78) cost | order Anti-BDNF Antibody (1R78) | Anti-BDNF Antibody (1R78) molecular weight