• TargetMol
    您的购物车当前为空

Anti-BCL2 Polyclonal Antibody

一键复制产品信息
Rating icon 还可以
产品编号 TMAB-00196

别名 PPP1R50, Bcl-2, B-cell CLL/lymphoma 2

Anti-BCL2 Polyclonal Antibody 是一种 Rabbit 抗体,靶向 BCL2。Anti-BCL2 Polyclonal Antibody 可用于 ELISA,IF,IHC-Fr,IHC-P,WB。

Anti-BCL2 Polyclonal Antibody

Anti-BCL2 Polyclonal Antibody

一键复制产品信息
Rating icon 还可以
产品编号 TMAB-00196 别名 PPP1R50, Bcl-2, B-cell CLL/lymphoma 2

Anti-BCL2 Polyclonal Antibody 是一种 Rabbit 抗体,靶向 BCL2。Anti-BCL2 Polyclonal Antibody 可用于 ELISA,IF,IHC-Fr,IHC-P,WB。

规格价格库存数量
50 μL
¥ 1,165
5日内发货
100 μL
¥ 1,975
5日内发货
大包装 & 定制
加入购物车
TargetMol 的所有产品仅用作科学研究或药证申报,不能被用于人体,我们不向个人提供产品和服务。请您遵守承诺用途,不得违反法律法规规定用于任何其他用途。
实验操作小课堂
常见问题解答
查看更多

Anti-BCL2 Polyclonal Antibody 相关产品


资源下载

产品介绍

生物活性
产品描述
Anti-BCL2 Polyclonal Antibody is a Rabbit antibody targeting BCL2. Anti-BCL2 Polyclonal Antibody can be used in ELISA,IF,IHC-Fr,IHC-P,WB.
别名PPP1R50, Bcl-2, B-cell CLL/lymphoma 2
Ig Type
IgG
交叉反应
Human,Mouse,Rat (predicted:Chicken)
验证活性
1. Paraformaldehyde-fixed, paraffin embedded (Rat thyroid gland); Antigen retrieval by boiling in sodium citrate buffer (pH6.0) for 15 min; Block endogenous peroxidase by 3% hydrogen peroxide for 20 min; Blocking buffer (normal goat serum) at 37°C for 30 min; Antibody incubation with (B cell lymphoma 2; Bcl-2) Polyclonal Antibody, Unconjugated (TMAB-00196) at 1:200 overnight at 4°C, followed by a conjugated secondary antibody for 90 minutes and DAPI for nucleus staining.
2. Paraformaldehyde-fixed, paraffin embedded (rat ovary tissue); Antigen retrieval by boiling in sodium citrate buffer (pH6.0) for 15 min; Block endogenous peroxidase by 3% hydrogen peroxide for 20 min; Blocking buffer (normal goat serum) at 37°C for 30 min; Antibody incubation with (Bcl-2) Polyclonal Antibody, Unconjugated (TMAB-00196) at 1:400 overnight at 4°C, followed by a conjugated secondary for 20 min and DAB staining.
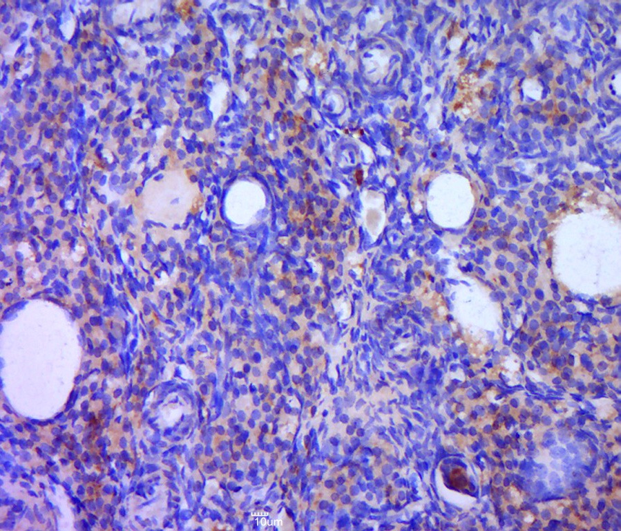
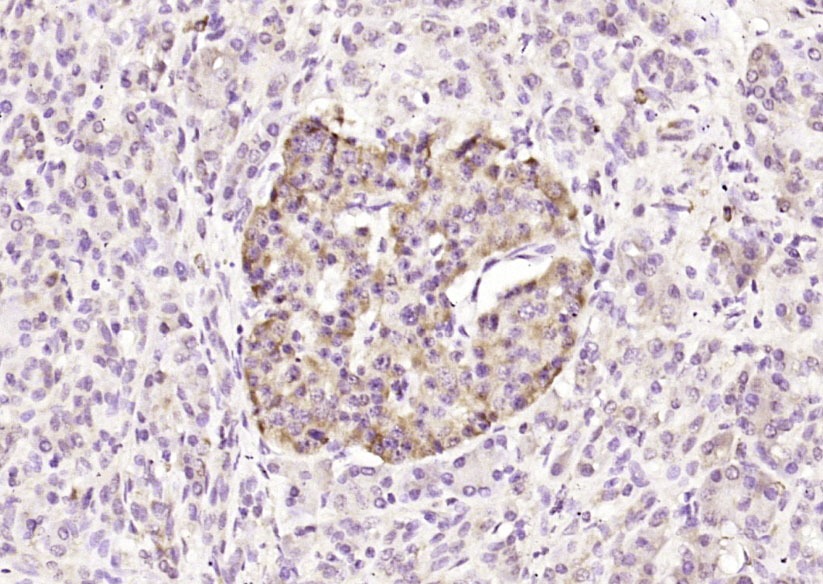
3. Paraformaldehyde-fixed, paraffin embedded (human pancreatic cancer); Antigen retrieval by boiling in sodium citrate buffer (pH6.0) for 15 min; Block endogenous peroxidase by 3% hydrogen peroxide for 20 min; Blocking buffer (normal goat serum) at 37°C for 30 min; Antibody incubation with (Bcl-2) Polyclonal Antibody, Unconjugated (TMAB-00196) at 1:200 overnight at 4°C, followed by operating according to SP Kit (Rabbit) instructionsand DAB staining.
4. Paraformaldehyde-fixed, paraffin embedded (human pancreatic cancer); Antigen retrieval by boiling in sodium citrate buffer (pH6.0) for 15 min; Block endogenous peroxidase by 3% hydrogen peroxide for 20 min; Blocking buffer (normal goat serum) at 37°C for 30 min; Antibody incubation with (Bcl-2) Polyclonal Antibody, Unconjugated (TMAB-00196) at 1:200 overnight at 4°C, followed by operating according to SP Kit (Rabbit) instructionsand DAB staining.
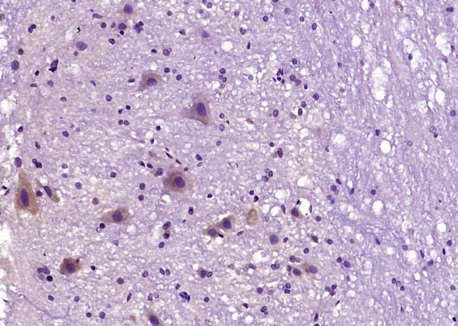
5. Paraformaldehyde-fixed, paraffin embedded (Rat spinal cord); Antigen retrieval by boiling in sodium citrate buffer (pH6.0) for 15 min; Block endogenous peroxidase by 3% hydrogen peroxide for 20 min; Blocking buffer (normal goat serum) at 37°C for 30 min; Antibody incubation with (Bcl-2) Polyclonal Antibody, Unconjugated (TMAB-00196) at 1:400 overnight at 4°C, followed by operating according to SP Kit (Rabbit) instructionsand DAB staining.
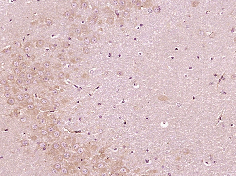
6. Paraformaldehyde-fixed, paraffin embedded (Rat brain); Antigen retrieval by boiling in sodium citrate buffer (pH6.0) for 15 min; Block endogenous peroxidase by 3% hydrogen peroxide for 20 min; Blocking buffer (normal goat serum) at 37°C for 30 min; Antibody incubation with (Bcl-2) Polyclonal Antibody, Unconjugated (TMAB-00196) at 1:400 overnight at 4°C, followed by operating according to SP Kit (Rabbit) instructionsand DAB staining.
7. Paraformaldehyde-fixed, paraffin embedded (Mouse brain); Antigen retrieval by boiling in sodium citrate buffer (pH6.0) for 15 min; Block endogenous peroxidase by 3% hydrogen peroxide for 20 min; Blocking buffer (normal goat serum) at 37°C for 30 min; Antibody incubation with (Bcl-2) Polyclonal Antibody, Unconjugated (TMAB-00196) at 1:400 overnight at 4°C, followed by operating according to SP Kit (Rabbit) instructionsand DAB staining.
8. 25 μg total protein per Lane of various lysates probed with Bcl-2 polyclonal antibody, unconjugated (TMAB-00196) at 1:1000 dilution and 4°C overnight incubation. Followed by conjugated secondary antibody incubation at RT for 60 min.
verifiedActivityverifiedActivityverifiedActivityverifiedActivityverifiedActivityverifiedActivityverifiedActivityverifiedActivity
应用ELISAIFIHC-FrIHC-PWB
推荐剂量
WB: 1:500-2000; IHC-P: 1:100-500; IHC-Fr: 1:100-500; IF: 1:100-500; ELISA: 1:5000-10000
抗体种类
Polyclonal
宿主来源Rabbit
亚细胞定位Mitochondrion outer membrane; Single-pass membrane protein. Nucleus membrane; Single-pass membrane protein. Endoplasmic reticulum membrane; Single-pass membrane protein.
组织特异性Expressed in a variety of tissues.
构建方式Polyclonal Antibody
纯化方式Protein A purified
性状Liquid
缓冲液0.01M TBS (pH7.4) with 1% BSA, 0.02% Proclin300 and 50% Glycerol.
浓度1 mg/mL
研究背景The Bcl-2 gene was isolated at the chromosomal breakpoint of t(14;18)-bearing follicular B cell lymphomas(1,2).Bcl-2 blocks cell death following a variety of stimuli and confers a death-sparing effect to certain hematopoietic cell lines following growth factor withdrawal (3,5).Bcl-2 appears to function in several subcellular locations yet lacks any known motifs that would confer insight into its mechanism of action (6,7).A more recently identified protein,designated Bax p21(i.e., Bcl-associated X protein ),has extensive amino acid homology with Bcl-2 and both homodimerizes and forms heterodimers with Bcl-2(8). Overexpression of Bax accelerates apoptotic death induced by cytokine deprivation in an IL-3 dependent cell line and Bax also counters the death repressor activty of Bcl-2(8).
抗原信息
免疫原
KLH conjugated synthetic peptide: human Bcl-2
抗原种属
Human
基因名称
BCL2
基因ID
蛋白名称
Apoptosis regulator Bcl-2
Uniprot ID
研究领域
Cellular metabolic process,Response to hypoxia,Bcl 2 family,Metabolism,Bcl 2 family,Cell survival & death,Oncoproteins,Bcl2 Family,Apoptosis marker and proteins ELISA kits,Apoptosis,Hypoxia,Mitochondrial markers,Cancer,Mitochondrial
功能
Suppresses apoptosis in a variety of cell systems including factor-dependent lymphohematopoietic and neural cells. Regulates cell death by controlling the mitochondrial membrane permeability. Appears to function in a feedback loop system with caspases. Inhibits caspase activity either by preventing the release of cytochrome c from the mitochondria and/or by binding to the apoptosis-activating factor (APAF-1).
化学信息
分子量Theoretical: 26 kDa. Actual: 26 kDa.
存储&运输
储存方式Store at -20°C or -80°C for 12 months. Avoid repeated freeze-thaw cycles.
运输方式Shipping with blue ice.

计算器

  • 稀释 计算器

评论列表

4个月前
5.0
Rating icon 很棒

评论内容

Related Tags: buy Anti-BCL2 Polyclonal Antibody | purchase Anti-BCL2 Polyclonal Antibody | Anti-BCL2 Polyclonal Antibody cost | order Anti-BCL2 Polyclonal Antibody | Anti-BCL2 Polyclonal Antibody molecular weight