购物车
  • TargetMol
    您的购物车当前为空

Anti-Axin-2 Polyclonal Antibody

Synonyms: Conductin, Axis inhibition protein 2, Axin-like protein (Axil), Axin-2, AXIN2
货号 TMAB-00176 一键复制产品信息
Rating icon 还可以

Anti-Axin-2 Polyclonal Antibody 是一种 Rabbit 抗体,靶向 Axin-2。Anti-Axin-2 Polyclonal Antibody 可用于 IF,IHC-Fr,IHC-P,WB。

Anti-Axin-2 Polyclonal Antibody

一键复制产品信息
Rating icon 还可以
货号 TMAB-00176

别名 Conductin, Axis inhibition protein 2, Axin-like protein (Axil), Axin-2, AXIN2

Anti-Axin-2 Polyclonal Antibody 是一种 Rabbit 抗体,靶向 Axin-2。Anti-Axin-2 Polyclonal Antibody 可用于 IF,IHC-Fr,IHC-P,WB。

Anti-Axin-2 Polyclonal Antibody
规格价格库存数量
50 μL
¥ 1,175
5日内发货
100 μL
¥ 1,975
5日内发货
200 μL
¥ 2,780
5日内发货
库存状态实时更新,以官网显示为准,现货产品可直接加购物车下单
大包装 & 定制
加入购物车

TargetMol的所有产品仅用作科学研究或药证申报,不能被用于人体,我们不向个人提供产品和服务。请您遵守承诺用途,不得违反法律法规规定用于任何其他用途。

实验操作小课堂
常见问题解答
查看更多

资源下载:产品操作手册

产品介绍


生物活性
产品描述
Anti-Axin-2 Polyclonal Antibody is a Rabbit antibody targeting Axin-2. Anti-Axin-2 Polyclonal Antibody can be used in IF,IHC-Fr,IHC-P,WB.
别名
Conductin, Axis inhibition protein 2, Axin-like protein (Axil), Axin-2, AXIN2
Ig Type
IgG
反应种属
Mouse,Rat (predicted:Human,Dog,Horse)
验证活性
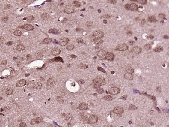
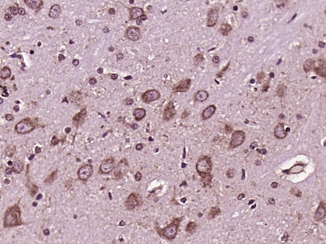
1. Paraformaldehyde-fixed, paraffin embedded (Rat brain); Antigen retrieval by boiling in sodium citrate buffer (pH6.0) for 15 min; Block endogenous peroxidase by 3% hydrogen peroxide for 20 min; Blocking buffer (normal goat serum) at 37°C for 30 min; Antibody incubation with (Axin 2) Polyclonal Antibody, Unconjugated (TMAB-00176) at 1:400 overnight at 4°C, followed by a conjugated secondary antibody for 20 min and DAB staining.
2. Paraformaldehyde-fixed, paraffin embedded (Mouse brain); Antigen retrieval by boiling in sodium citrate buffer (pH6.0) for 15 min; Block endogenous peroxidase by 3% hydrogen peroxide for 20 min; Blocking buffer (normal goat serum) at 37°C for 30 min; Antibody incubation with (Axin 2) Polyclonal Antibody, Unconjugated (TMAB-00176) at 1:400 overnight at 4°C, followed by a conjugated secondary antibody for 20 min and DAB staining.
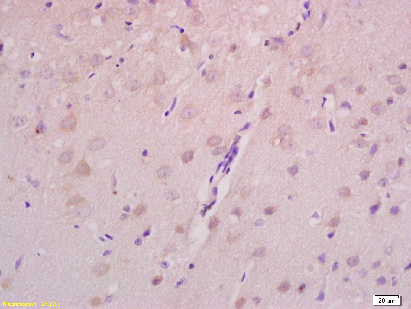
3. Tissue/cell: rat brain tissue; 4% Paraformaldehyde-fixed and paraffin-embedded;
Antigen retrieval: citrate buffer (0.01M, pH6.0), Boiling bathing for 15 min; Block endogenous peroxidase by 3% Hydrogen peroxide for 30 min; Blocking buffer (normal goat serum) at 37°C for 20 min;
Incubation: Anti-Axin 2 Polyclonal Antibody, Unconjugated (TMAB-00176) 1:200, overnight at 4°C, followed by conjugation to the secondary antibody and DAb staining.
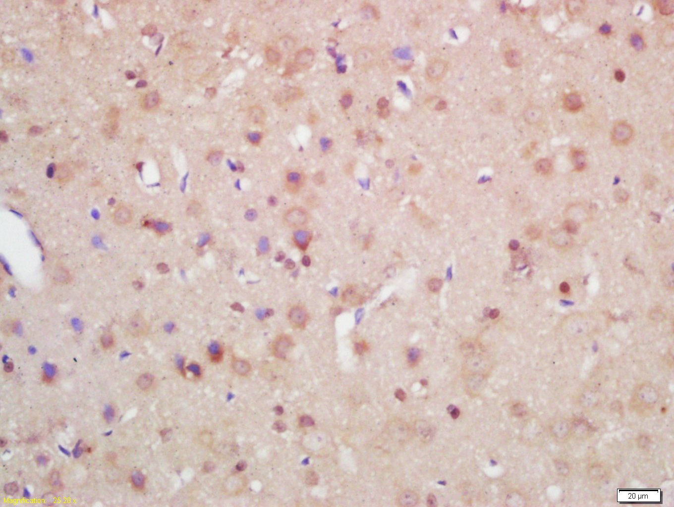
4. Tissue/cell: rat brain tissue; 4% Paraformaldehyde-fixed and paraffin-embedded;
Antigen retrieval: citrate buffer (0.01M, pH6.0), Boiling bathing for 15 min; Block endogenous peroxidase by 3% Hydrogen peroxide for 30 min; Blocking buffer (normal goat serum) at 37°C for 20 min;
Incubation: Anti-Axin 2 Polyclonal Antibody, Unconjugated (TMAB-00176) 1:200, overnight at 4°C, followed by conjugation to the secondary antibody and DAb staining.
5. Sample:
Cerebrum (Mouse) Lysate at 40 μg
Primary: Anti-Axin 2 (TMAB-00176) at 1/1000 dilution
Secondary: IRDye800CW Goat Anti-Rabbit IgG at 1/20000 dilution
Predicted band size: 93 kDa
Observed band size: 93 kDa
verifiedActivityverifiedActivityverifiedActivityverifiedActivityverifiedActivity
应用IFIHC-FrIHC-PWB
推荐剂量
WB: 1:500-2000; IHC-P: 1:100-500; IHC-Fr: 1:100-500; IF: 1:100-500
抗体种类
Polyclonal
宿主来源Rabbit
亚细胞定位Cytoplasm.
组织特异性Expressed in brain and lymphoblast.
构建方式Polyclonal Antibody
纯化方式Protein A purified
性状Liquid
缓冲液0.01M TBS (pH7.4) with 1% BSA, 0.02% Proclin300 and 50% Glycerol.
浓度1 mg/mL
研究背景Inhibitor of the Wnt signaling pathway. Down-regulates beta-catenin. Probably facilitate the phosphorylation of beta-catenin and APC by GSK3B. Involvement in disease:Defects in AXIN2 are involved in colorectal cancer (CRC). They appear to be specifically associated with defective mismatch repair. Defects in AXIN2 are the cause of oligodontia-colorectal cancer syndrome (ODCRCS). Affected individuals manifest severe tooth agenesis and colorectal cancer or precancerous lesions of variable types.
抗原信息
免疫原
KLH conjugated synthetic peptide: human Axin 2 corresponding
抗原种属
Human
基因名称
AXIN2
基因ID
蛋白名称
Axin-2
Uniprot ID
研究领域
Cell differentiation,Cell differentiation,Proto-oncogenes,Neurogenesis,Cytoplasmic
功能
Inhibitor of the Wnt signaling pathway. Down-regulates beta-catenin. Probably facilitate the phosphorylation of beta-catenin and APC by GSK3B (By similarity).
化学信息
分子量Theoretical: 93 kDa. Actual: 93 kDa.
储存&溶解度
储存方式Store at -20°C or -80°C for 12 months. Avoid repeated freeze-thaw cycles.
运输方式Shipping with blue ice.

计算器

  • 稀释 计算器
  • 配液 计算器

关键词

Related Tags: buy Anti-Axin-2 Polyclonal Antibody | purchase Anti-Axin-2 Polyclonal Antibody | Anti-Axin-2 Polyclonal Antibody cost | order Anti-Axin-2 Polyclonal Antibody | Anti-Axin-2 Polyclonal Antibody molecular weight