• TargetMol
    您的购物车当前为空

Anti-ATP2A2 Antibody (2R687)

一键复制产品信息
Rating icon 还可以
货号 TMAC-03711

Anti-ATP2A2 Antibody (2R687) 是一种 Rabbit 抗体,靶向 ATP2A2。Anti-ATP2A2 Antibody (2R687) 可用于 FCM,ICC/IF,IHC,WB。

Anti-ATP2A2 Antibody (2R687)

Anti-ATP2A2 Antibody (2R687)

一键复制产品信息
Rating icon 还可以
货号 TMAC-03711

Anti-ATP2A2 Antibody (2R687) 是一种 Rabbit 抗体,靶向 ATP2A2。Anti-ATP2A2 Antibody (2R687) 可用于 FCM,ICC/IF,IHC,WB。

规格价格库存数量
50 μL
¥ 1,490
5日内发货
100 μL
¥ 2,490
5日内发货
库存状态实时更新,以官网显示为准,现货产品可直接加购物车下单
大包装 & 定制
加入购物车
TargetMol的所有产品仅用作科学研究或药证申报,不能被用于人体,我们不向个人提供产品和服务。请您遵守承诺用途,不得违反法律法规规定用于任何其他用途。
实验操作小课堂
常见问题解答
查看更多
资源下载:

产品介绍


生物活性
产品描述
Anti-ATP2A2 Antibody (2R687) is a Rabbit antibody targeting ATP2A2. Anti-ATP2A2 Antibody (2R687) can be used in FCM,ICC/IF,IHC,WB.
Ig Type
IgG
克隆号
2R687
反应种属
Human,Mouse,Rat
验证活性
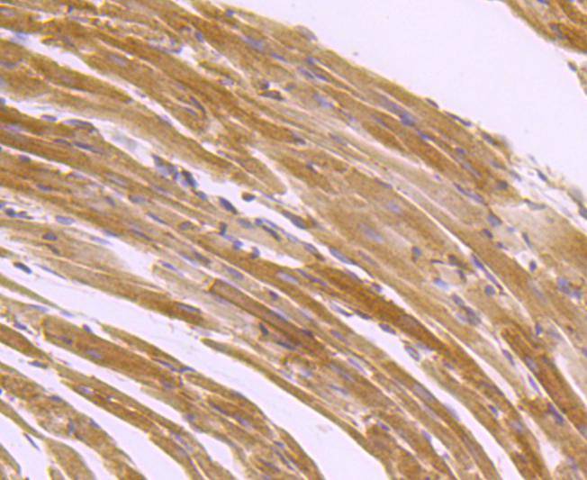
1. Immunohistochemical analysis of paraffin-embedded mouse heart tissue using anti-SERCA2 antibody. Counter stained with hematoxylin.
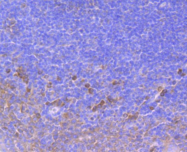
2. Immunohistochemical analysis of paraffin-embedded human tonsil tissue using anti-SERCA2 antibody. Counter stained with hematoxylin.
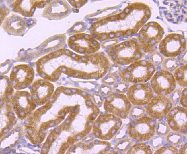
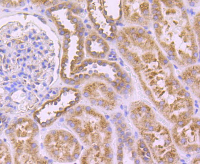
3. Immunohistochemical analysis of paraffin-embedded human kidney tissue using anti-SERCA2 antibody. Counter stained with hematoxylin.
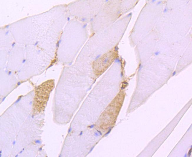
4. Immunohistochemical analysis of paraffin-embedded mouse skeletal muscle tissue using anti-SERCA2 antibody. Counter stained with hematoxylin.
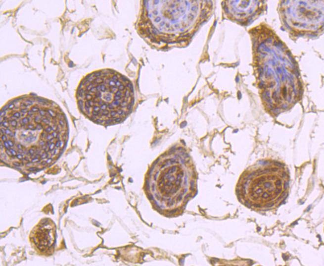
5. Immunohistochemical analysis of paraffin-embedded mouse skin tissue using anti-SERCA2 antibody. Counter stained with hematoxylin.
6. Immunohistochemical analysis of paraffin-embedded human liver cancer tissue using anti-SERCA2 antibody. Counter stained with hematoxylin.
7. Immunohistochemical analysis of paraffin-embedded mouse kidney tissue using anti-SERCA2 antibody. Counter stained with hematoxylin.
8. ICC staining SERCA2 in A549 cells (red). The nuclear counter stain is DAPI (blue). Cells were fixed in paraformaldehyde, permeabilised with 0.25% Triton X100/PBS.
9. ICC staining SERCA2 in Hela cells (red). The nuclear counter stain is DAPI (blue). Cells were fixed in paraformaldehyde, permeabilised with 0.25% Triton X100/PBS.
10. ICC staining SERCA2 in MCF-7 cells (red). The nuclear counter stain is DAPI (blue). Cells were fixed in paraformaldehyde, permeabilised with 0.25% Triton X100/PBS.
11. Flow cytometric analysis of Hela cells with SERCA2 antibody at 1/50 dilution (red) compared with an unlabelled control (cells without incubation with primary antibody; black). Alexa Fluor 488-conjugated goat anti rabbit IgG was used as the secondary antibody.
verifiedActivityverifiedActivityverifiedActivityverifiedActivityverifiedActivityverifiedActivityverifiedActivityverifiedActivityverifiedActivityverifiedActivityverifiedActivity
应用FCMICC/IFIHCWB
推荐剂量
WB: 1:1000; IHC: 1:50-200; ICC/IF: 1:50-200; FCM: 1:50-100
抗体种类
Monoclonal
宿主来源Rabbit
构建方式Recombinant Antibody
纯化方式ProA affinity purified
性状Liquid
缓冲液1*TBS (pH7.4), 1%BSA, 40%Glycerol. Preservative: 0.05% Sodium Azide.
研究背景ATP dependent calcium pumps are responsible, in part, for the maintenance of low cytoplasmic free calcium concentrations. The ATP pumps that reside in intracellular organelles are encoded by a family of structurally related enzymes, termed the sarcoplasmic or endoplasmic reticulum calcium (SERCA) ATPases. The sarcoplasmic reticulum of striated muscle is a specialized intracellular membrane system that plays a critical role in the contraction and relaxation of muscle. The SERCAs mediate Ca2+ uptake into intracellular stores. SERCA-mediated Ca2+ uptake induces and maintains muscular relaxation. The SERCA1 gene is exclusively expressed in type II (fast) skeletal muscle. The SERCA2 gene is subject to tissue-dependent processing which is responsible for the generation of the SERCA2a muscle-specific form expressed in type I (slow) skeletal, cardiac and smooth muscle, and the SERCA2b isoform expressed in all cell types. The SERCA3 gene is not as well characterized and is found in non-muscle cells. SERCA2 plays an important part in regulating cardiac contractile function. SERCA3 is an isoform expressed in several cell types including platelets, lymphoid cells and mast cells. SERCA1, SERCA2 and SERCA3 all undergo alternative splicing.
偶联与修饰
偶联
Unconjugated
抗原信息
免疫原
Recombinant Protein
Uniprot ID
化学信息
分子量Theoretical: 115 kDa.
储存&溶解度
储存方式Store at -20°C or -80°C for 12 months. Avoid repeated freeze-thaw cycles.
运输方式Shipping with blue ice.
存储store at low temperature | -20°C for 1 year

计算器

  • 稀释 计算器
Related Tags: buy Anti-ATP2A2 Antibody (2R687) | purchase Anti-ATP2A2 Antibody (2R687) | Anti-ATP2A2 Antibody (2R687) cost | order Anti-ATP2A2 Antibody (2R687) | Anti-ATP2A2 Antibody (2R687) molecular weight