• TargetMol
    您的购物车当前为空

Anti-ATP1A1 Polyclonal Antibody 2

一键复制产品信息
Rating icon 还可以
货号 TMAB-00166

别名 Sodium/potassium-transporting ATPase subunit alpha-1, Sodium pump subunit alpha-1, Na(+)/K(+) ATPase alpha-1 subunit, EC 3.6.3.9, ATP1A1

Anti-ATP1A1 Polyclonal Antibody 2 是一种 Rabbit 抗体,靶向 ATP1A1。Anti-ATP1A1 Polyclonal Antibody 2 可用于 IF,IHC-Fr,IHC-P。

Anti-ATP1A1 Polyclonal Antibody 2

Anti-ATP1A1 Polyclonal Antibody 2

一键复制产品信息
Rating icon 还可以
货号 TMAB-00166 别名 Sodium/potassium-transporting ATPase subunit alpha-1, Sodium pump subunit alpha-1, Na(+)/K(+) ATPase alpha-1 subunit, EC 3.6.3.9, ATP1A1

Anti-ATP1A1 Polyclonal Antibody 2 是一种 Rabbit 抗体,靶向 ATP1A1。Anti-ATP1A1 Polyclonal Antibody 2 可用于 IF,IHC-Fr,IHC-P。

规格价格库存数量
50 μL
¥ 1,175
5日内发货
100 μL
¥ 1,965
5日内发货
200 μL
¥ 2,795
5日内发货
库存状态实时更新,以官网显示为准,现货产品可直接加购物车下单
大包装 & 定制
加入购物车
TargetMol的所有产品仅用作科学研究或药证申报,不能被用于人体,我们不向个人提供产品和服务。请您遵守承诺用途,不得违反法律法规规定用于任何其他用途。
实验操作小课堂
常见问题解答
查看更多
资源下载:

产品介绍


生物活性
产品描述
Anti-ATP1A1 Polyclonal Antibody 2 is a Rabbit antibody targeting ATP1A1. Anti-ATP1A1 Polyclonal Antibody 2 can be used in IF,IHC-Fr,IHC-P.
别名Sodium/potassium-transporting ATPase subunit alpha-1, Sodium pump subunit alpha-1, Na(+)/K(+) ATPase alpha-1 subunit, EC 3.6.3.9, ATP1A1
Ig Type
IgG
反应种属
Mouse,Human,Rat
验证活性
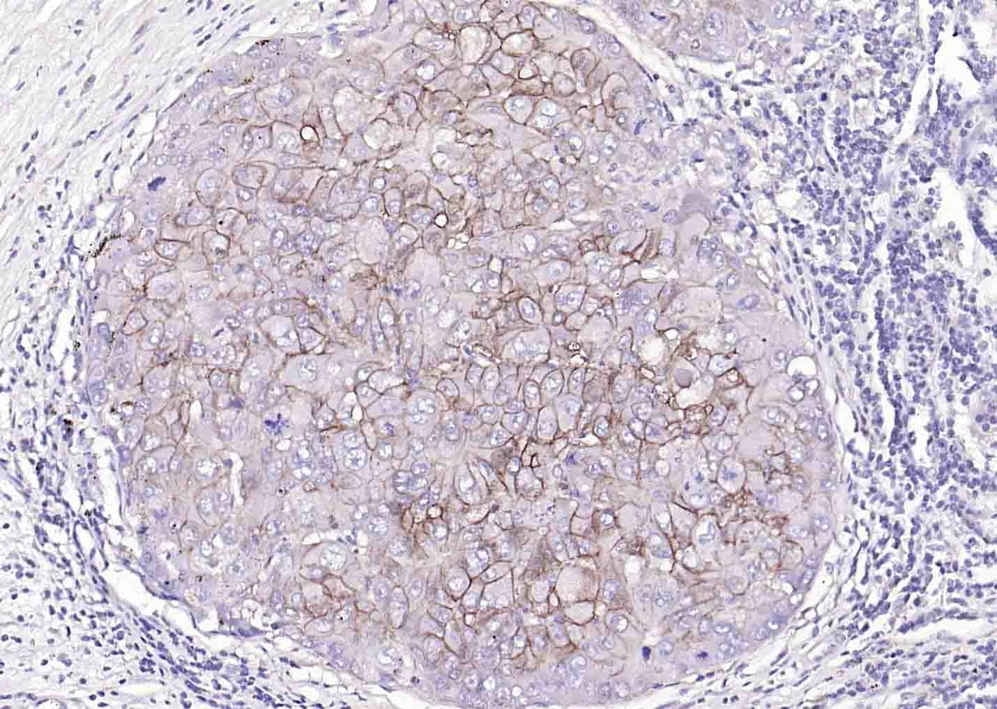
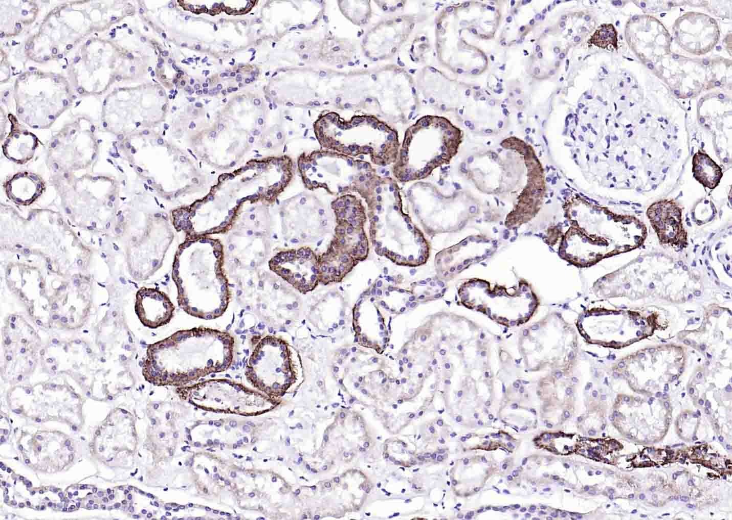
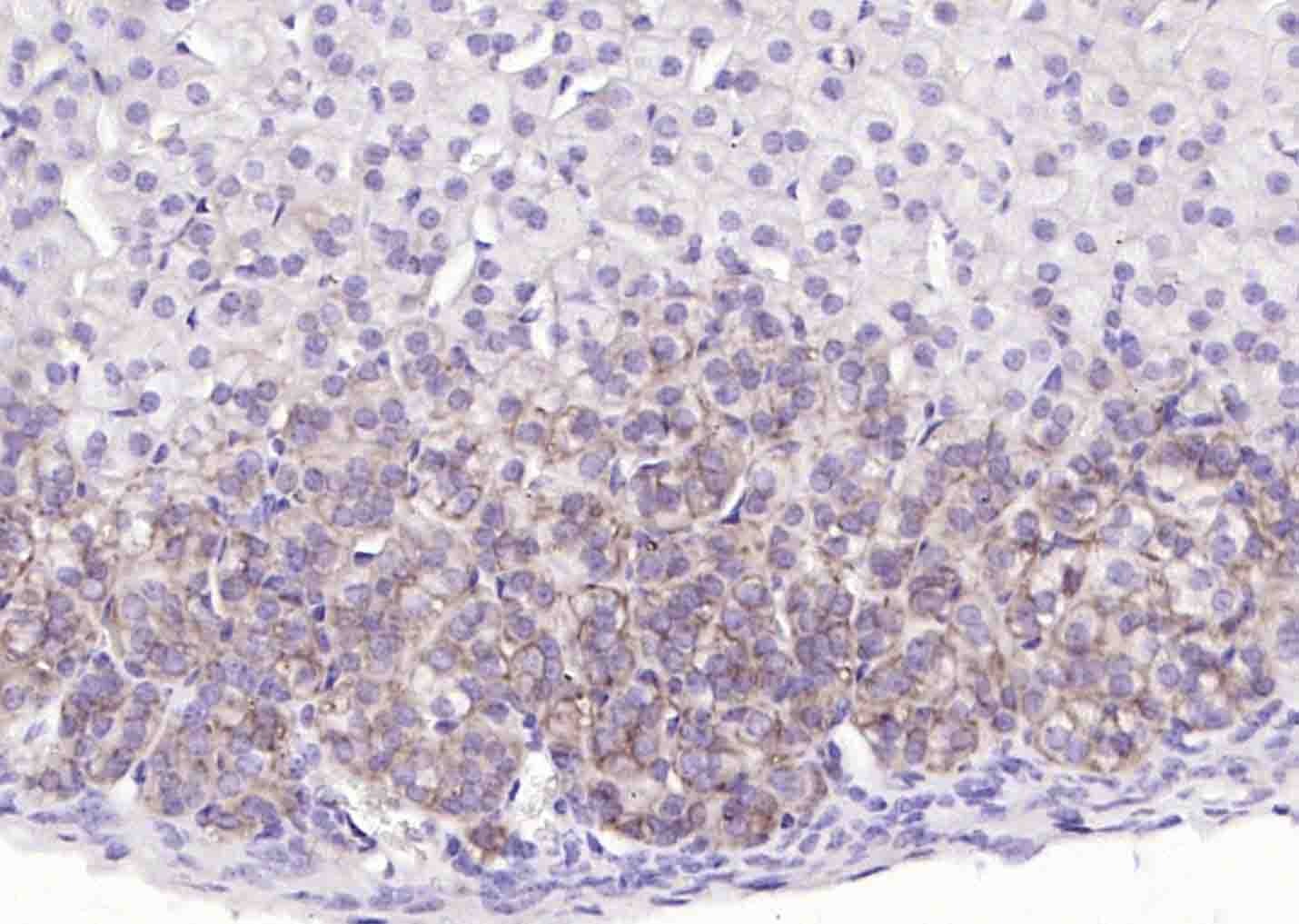
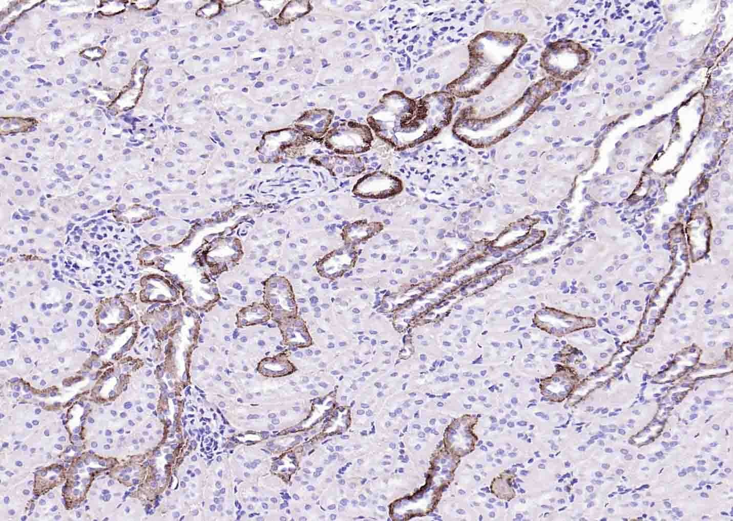
1. Paraformaldehyde-fixed, paraffin embedded Mouse Adrenal Gland; Antigen retrieval by boiling in sodium citrate buffer (pH6.0) for 15 min; Antibody incubation with ATP1A1 Polyclonal Antibody, Unconjugated (TMAB-00166) at 1:200 overnight at 4°C, followed by conjugation to the secondary antibody and DAB staining.
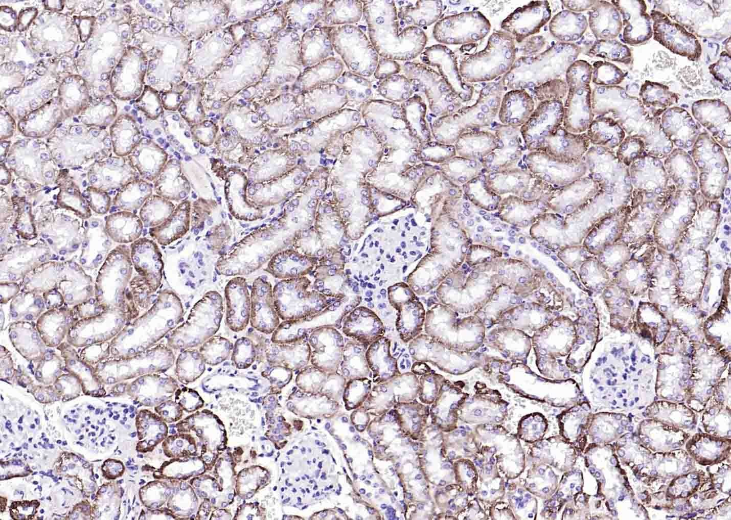
2. Paraformaldehyde-fixed, paraffin embedded Mouse Kidney; Antigen retrieval by boiling in sodium citrate buffer (pH6.0) for 15 min; Antibody incubation with ATP1A1 Polyclonal Antibody, Unconjugated (TMAB-00166) at 1:200 overnight at 4°C, followed by conjugation to the secondary antibody and DAB staining.
3. Paraformaldehyde-fixed, paraffin embedded Rat Kidney; Antigen retrieval by boiling in sodium citrate buffer (pH6.0) for 15 min; Antibody incubation with ATP1A1 Polyclonal Antibody, Unconjugated (TMAB-00166) at 1:200 overnight at 4°C, followed by conjugation to the secondary antibody and DAB staining.
4. Paraformaldehyde-fixed, paraffin embedded Human Kidney; Antigen retrieval by boiling in sodium citrate buffer (pH6.0) for 15 min; Antibody incubation with ATP1A1 Polyclonal Antibody, Unconjugated (TMAB-00166) at 1:200 overnight at 4°C, followed by conjugation to the secondary antibody and DAB staining.
5. Paraformaldehyde-fixed, paraffin embedded Human Liver Cancer; Antigen retrieval by boiling in sodium citrate buffer (pH6.0) for 15 min; Antibody incubation with ATP1A1 Polyclonal Antibody, Unconjugated (TMAB-00166) at 1:200 overnight at 4°C, followed by conjugation to the secondary antibody and DAB staining.
6. Paraformaldehyde-fixed, paraffin embedded Human Laryngeal Cancer; Antigen retrieval by boiling in sodium citrate buffer (pH6.0) for 15 min; Antibody incubation with ATP1A1 Polyclonal Antibody, Unconjugated (TMAB-00166) at 1:200 overnight at 4°C, followed by conjugation to the secondary antibody and DAB staining.
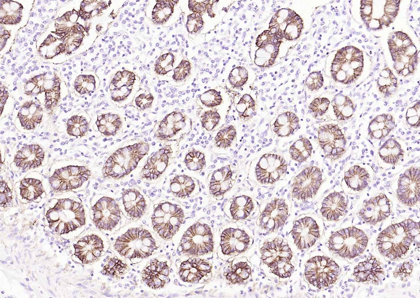
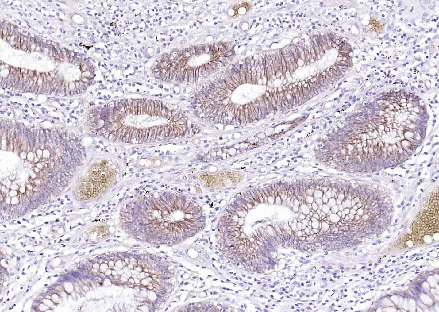
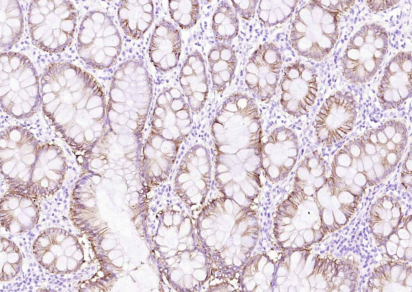
7. Paraformaldehyde-fixed, paraffin embedded Human Colon Cancer; Antigen retrieval by boiling in sodium citrate buffer (pH6.0) for 15 min; Antibody incubation with ATP1A1 Polyclonal Antibody, Unconjugated (TMAB-00166) at 1:200 overnight at 4°C, followed by conjugation to the secondary antibody and DAB staining.
8. Paraformaldehyde-fixed, paraffin embedded Human appendix; Antigen retrieval by boiling in sodium citrate buffer (pH6.0) for 15 min; Antibody incubation with ATP1A1 Polyclonal Antibody, Unconjugated (TMAB-00166) at 1:200 overnight at 4°C, followed by conjugation to the secondary antibody and DAB staining.
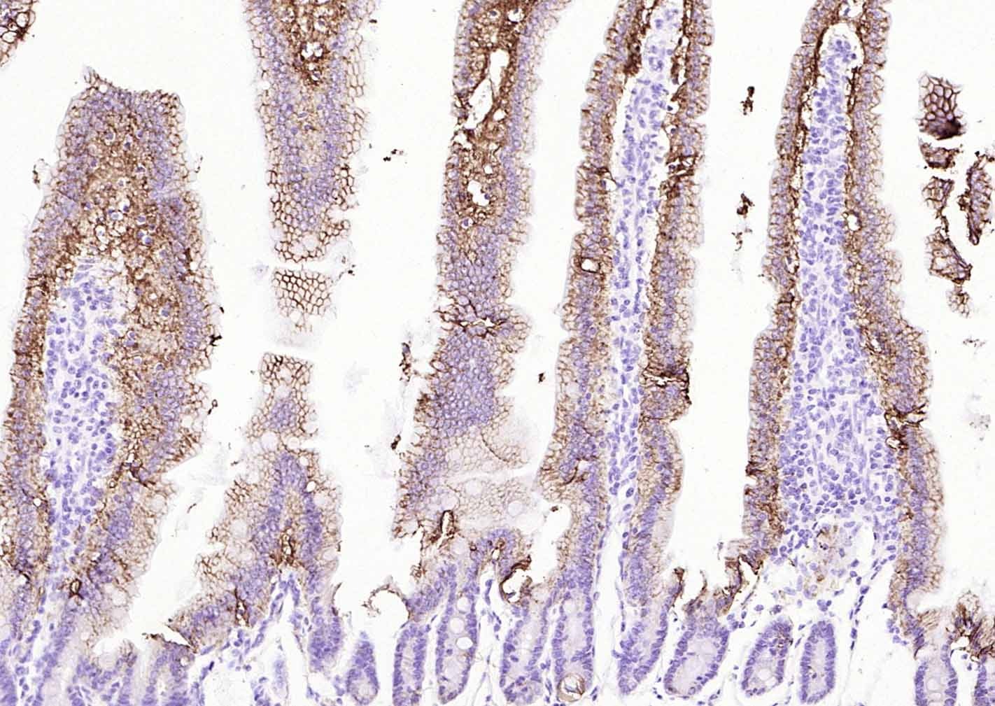
9. Paraformaldehyde-fixed, paraffin embedded Mouse Small Intestine; Antigen retrieval by boiling in sodium citrate buffer (pH6.0) for 15 min; Antibody incubation with ATP1A1 Polyclonal Antibody, Unconjugated (TMAB-00166) at 1:200 overnight at 4°C, followed by conjugation to the secondary antibody and DAB staining.
10. Paraformaldehyde-fixed, paraffin embedded Rat Small Intestine; Antigen retrieval by boiling in sodium citrate buffer (pH6.0) for 15 min; Antibody incubation with ATP1A1 Polyclonal Antibody, Unconjugated (TMAB-00166) at 1:200 overnight at 4°C, followed by conjugation to the secondary antibody and DAB staining.
11. Paraformaldehyde-fixed, paraffin embedded Rat Colon; Antigen retrieval by boiling in sodium citrate buffer (pH6.0) for 15 min; Antibody incubation with ATP1A1 Polyclonal Antibody, Unconjugated (TMAB-00166) at 1:200 overnight at 4°C, followed by conjugation to the secondary antibody and DAB staining.
12. Paraformaldehyde-fixed, paraffin embedded Mouse Colon; Antigen retrieval by boiling in sodium citrate buffer (pH6.0) for 15 min; Antibody incubation with ATP1A1 Polyclonal Antibody, Unconjugated (TMAB-00166) at 1:200 overnight at 4°C, followed by conjugation to the secondary antibody and DAB staining.
13. Paraformaldehyde-fixed, paraffin embedded Human Colon; Antigen retrieval by boiling in sodium citrate buffer (pH6.0) for 15 min; Antibody incubation with ATP1A1 Polyclonal Antibody, Unconjugated (TMAB-00166) at 1:200 overnight at 4°C, followed by conjugation to the secondary antibody and DAB staining.
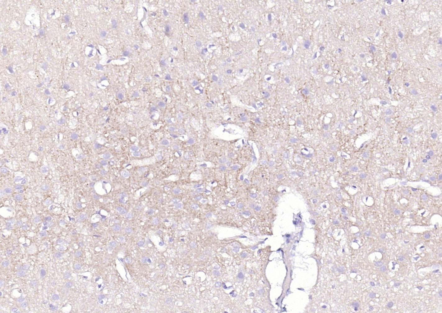
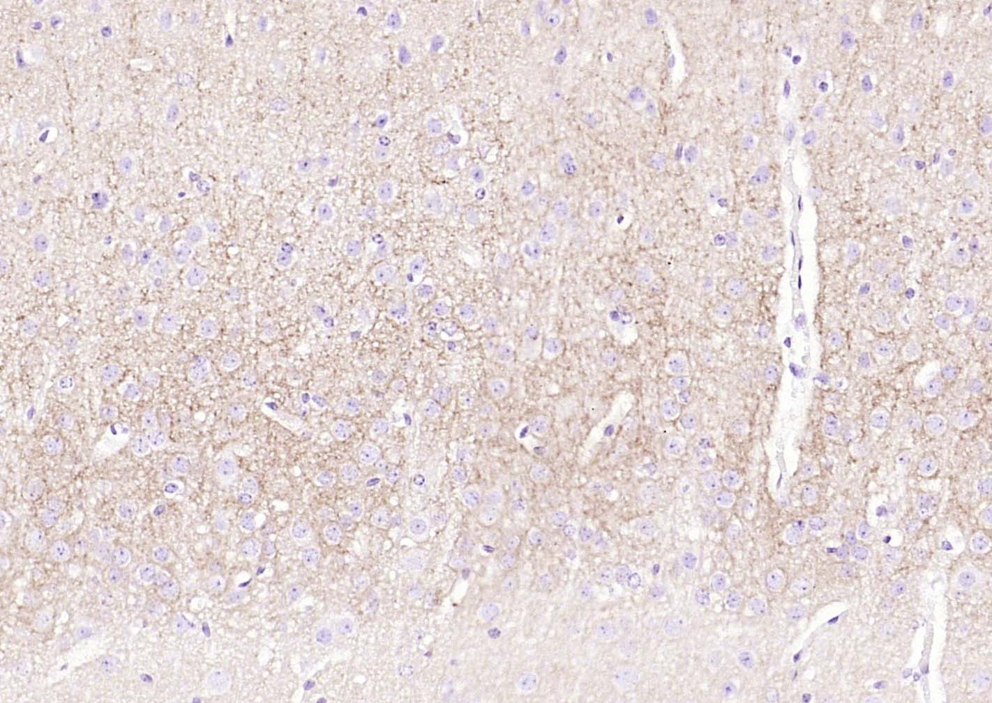
14. Paraformaldehyde-fixed, paraffin embedded Mouse Cerebrum; Antigen retrieval by boiling in sodium citrate buffer (pH6.0) for 15 min; Antibody incubation with ATP1A1 Polyclonal Antibody, Unconjugated (TMAB-00166) at 1:200 overnight at 4°C, followed by conjugation to the secondary antibody and DAB staining.
15. Paraformaldehyde-fixed, paraffin embedded Rat Cerebrum; Antigen retrieval by boiling in sodium citrate buffer (pH6.0) for 15 min; Antibody incubation with ATP1A1 Polyclonal Antibody, Unconjugated (TMAB-00166) at 1:200 overnight at 4°C, followed by conjugation to the secondary antibody and DAB staining.
16. Paraformaldehyde-fixed, paraffin embedded Human Cerebrum; Antigen retrieval by boiling in sodium citrate buffer (pH6.0) for 15 min; Antibody incubation with ATP1A1 Polyclonal Antibody, Unconjugated (TMAB-00166) at 1:200 overnight at 4°C, followed by conjugation to the secondary antibody and DAB staining.
17. Paraformaldehyde-fixed, paraffin embedded Human Duodenum; Antigen retrieval by boiling in sodium citrate buffer (pH6.0) for 15 min; Antibody incubation with ATP1A1 Polyclonal Antibody, Unconjugated (TMAB-00166) at 1:200 overnight at 4°C, followed by conjugation to the secondary antibody and DAB staining.
verifiedActivityverifiedActivityverifiedActivityverifiedActivityverifiedActivityverifiedActivityverifiedActivityverifiedActivityverifiedActivityverifiedActivityverifiedActivityverifiedActivityverifiedActivityverifiedActivityverifiedActivityverifiedActivityverifiedActivity
应用IFIHC-FrIHC-P
推荐剂量
IHC-P: 1:100-500; IHC-Fr: 1:100-500; IF: 1:100-500
抗体种类
Polyclonal
宿主来源Rabbit
亚细胞定位Cell membrane; Multi-pass membrane protein. Melanosome.
组织特异性Found in most tissues.
构建方式Polyclonal Antibody
纯化方式Protein A purified
性状Liquid
缓冲液0.01M TBS (pH7.4) with 1% BSA, 0.02% Proclin300 and 50% Glycerol.
浓度1 mg/mL
研究背景The protein encoded by this gene belongs to the family of P-type cation transport ATPases, and to the subfamily of Na+/K+-ATPases. Na+/K+ -ATPase is an integral membrane protein responsible for establishing and maintaining the electrochemical gradients of Na and K ions across the plasma membrane. These gradients are essential for osmoregulation, for sodium-coupled transport of a variety of organic and inorganic molecules, and for electrical excitability of nerve and muscle. This enzyme is composed of two subunits, a large catalytic subunit (alpha) and a smaller glycoprotein subunit (beta). The catalytic subunit of Na+/K+ -ATPase is encoded by multiple genes. This gene encodes an alpha 1 subunit. Multiple transcript variants encoding different isoforms have been found for this gene. [provided by RefSeq, May2009].
抗原信息
免疫原
KLH conjugated synthetic peptide: human ATP1A1
抗原种属
Human
基因名称
ATP1A1
基因ID
蛋白名称
Sodium/potassium-transporting ATPase subunit alpha-1
Uniprot ID
功能
This is the non-catalytic component of the active enzyme, which catalyzes the hydrolysis of ATP coupled with the exchange of Na(+) and K(+) ions across the plasma membrane. The beta subunit regulates, through assembly of alpha/beta heterodimers, the number of sodium pumps transported to the plasma membrane.
化学信息
分子量Theoretical: 112 kDa.
储存&溶解度
储存方式Store at -20°C or -80°C for 12 months. Avoid repeated freeze-thaw cycles.
运输方式Shipping with blue ice.
存储store at low temperature | store at -20°C

计算器

  • 稀释 计算器
Related Tags: buy Anti-ATP1A1 Polyclonal Antibody 2 | purchase Anti-ATP1A1 Polyclonal Antibody 2 | Anti-ATP1A1 Polyclonal Antibody 2 cost | order Anti-ATP1A1 Polyclonal Antibody 2 | Anti-ATP1A1 Polyclonal Antibody 2 molecular weight