购物车
  • TargetMol
    您的购物车当前为空

Anti-ATF-6 Polyclonal Antibody 2

Synonyms: Processed cyclic AMP-dependent transcription factor ATF-6 alpha, FLJ21663, ESTM49, DKFZp686P2194, Cyclic AMP dependent transcription factor ATF 6 alpha, cAMP-dependent transcription factor ATF-6 alpha, ATF6A, ATF6 alpha, ATF6, ATF 6, Activating transcription factor 6 alpha, Activating transcription factor 6
货号 TMAB-00161 一键复制产品信息
Rating icon 还可以

Anti-ATF-6 Polyclonal Antibody 2 是一种 Rabbit 抗体,靶向 ATF-6。Anti-ATF-6 Polyclonal Antibody 2 可用于 IF,IHC-Fr,IHC-P,WB。

Anti-ATF-6 Polyclonal Antibody 2

一键复制产品信息
Rating icon 还可以
货号 TMAB-00161

别名 Processed cyclic AMP-dependent transcription factor ATF-6 alpha, FLJ21663, ESTM49, DKFZp686P2194, Cyclic AMP dependent transcription factor ATF 6 alpha, cAMP-dependent transcription factor ATF-6 alpha, ATF6A, ATF6 alpha, ATF6, ATF 6, Activating transcription factor 6 alpha, Activating transcription factor 6

Anti-ATF-6 Polyclonal Antibody 2 是一种 Rabbit 抗体,靶向 ATF-6。Anti-ATF-6 Polyclonal Antibody 2 可用于 IF,IHC-Fr,IHC-P,WB。

Anti-ATF-6 Polyclonal Antibody 2
规格价格库存数量
50 μL
¥ 1,175
5日内发货
100 μL
¥ 1,965
5日内发货
200 μL
¥ 2,780
5日内发货
库存状态实时更新,以官网显示为准,现货产品可直接加购物车下单
大包装 & 定制
加入购物车

TargetMol的所有产品仅用作科学研究或药证申报,不能被用于人体,我们不向个人提供产品和服务。请您遵守承诺用途,不得违反法律法规规定用于任何其他用途。

实验操作小课堂
常见问题解答
查看更多

资源下载:产品操作手册

产品介绍


生物活性
产品描述
Anti-ATF-6 Polyclonal Antibody 2 is a Rabbit antibody targeting ATF-6. Anti-ATF-6 Polyclonal Antibody 2 can be used in IF,IHC-Fr,IHC-P,WB.
别名
Processed cyclic AMP-dependent transcription factor ATF-6 alpha, FLJ21663, ESTM49, DKFZp686P2194, Cyclic AMP dependent transcription factor ATF 6 alpha, cAMP-dependent transcription factor ATF-6 alpha, ATF6A, ATF6 alpha, ATF6, ATF 6, Activating transcription factor 6 alpha, Activating transcription factor 6
Ig Type
IgG
反应种属
Human,Mouse,Rat (predicted:Dog,Pig,Cow,Horse,Rabbit,Sheep)
验证活性
1. Sample:
Lane 1: Human HUVEC cell Lysates
Lane 2: Human Raji cell Lysates
Lane 3: Human Jurkat cell Lysates
Lane 4: Human Hela cell Lysates
Primary: Anti-ATF6 (TMAB-00161) at 1/1000 dilution
Secondary: IRDye800CW Goat Anti-Rabbit IgG at 1/20000 dilution
Predicted band size: 75 kDa
Observed band size: 110 kDa
2. Sample:
K562 (Human) Cell Lysate at 30 μg
Primary: Anti-ATF6 (TMAB-00161) at 1/1000 dilution
Secondary: IRDye800CW Goat Anti-Rabbit IgG at 1/20000 dilution
Predicted band size: 75 kDa
Observed band size: 75 kDa
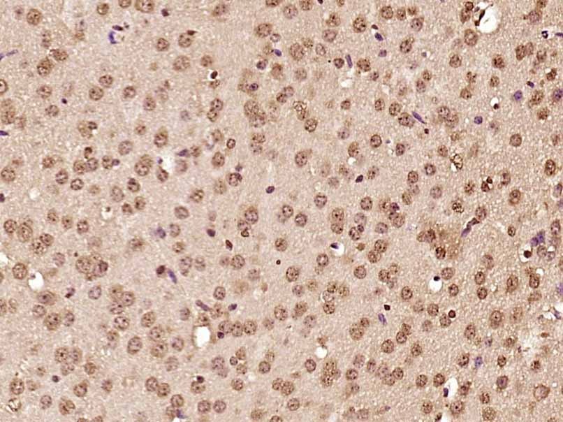
3. Paraformaldehyde-fixed, paraffin embedded (Mouse brain); Antigen retrieval by boiling in sodium citrate buffer (pH6.0) for 15 min; Block endogenous peroxidase by 3% hydrogen peroxide for 20 min; Blocking buffer (normal goat serum) at 37°C for 30 min; Antibody incubation with (ATF6) Polyclonal Antibody, Unconjugated (TMAB-00161) at 1:400 overnight at 4°C, followed by operating according to SP Kit (Rabbit) instructionsand DAB staining.
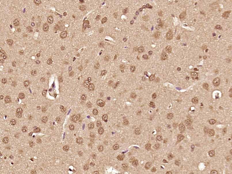
4. Paraformaldehyde-fixed, paraffin embedded (Rat brain); Antigen retrieval by boiling in sodium citrate buffer (pH6.0) for 15 min; Block endogenous peroxidase by 3% hydrogen peroxide for 20 min; Blocking buffer (normal goat serum) at 37°C for 30 min; Antibody incubation with (ATF6) Polyclonal Antibody, Unconjugated (TMAB-00161) at 1:400 overnight at 4°C, followed by operating according to SP Kit (Rabbit) instructionsand DAB staining.
verifiedActivityverifiedActivityverifiedActivityverifiedActivity
应用IFIHC-FrIHC-PWB
推荐剂量
WB: 1:500-2000; IHC-P: 1:100-500; IHC-Fr: 1:100-500; IF: 1:100-500
抗体种类
Polyclonal
宿主来源Rabbit
亚细胞定位Endoplasmic reticulum membrane; Single-pass type II membrane protein. Processed cyclic AMP-dependent transcription factor ATF-6 alpha: Nucleus. Note=Under ER stress the cleaved N-terminal cytoplasmic domain translocates into the nucleus.
组织特异性Ubiquitous.
构建方式Polyclonal Antibody
纯化方式Protein A purified
性状Liquid
缓冲液0.01M TBS (pH7.4) with 1% BSA, 0.02% Proclin300 and 50% Glycerol.
浓度1 mg/mL
研究背景ATF6 is a transcription factor that acts during endoplasmic reticulum stress by activating unfolded protein response target genes. It binds DNA on the 5'-CCAC[GA]-3'half of the ER stress response element (ERSE) (5'-CCAAT-N(9)-CCAC[GA]-3') and of ERSE II (5'-ATTGG-N-CCACG-3'). Binding to ERSE requires binding of NF-Y to ERSE. ATF6 could also be involved in activation of transcription by the serum response factor. ATF6 exists as a homodimer and heterodimer with ATF6 beta. The dimer interacts with the nuclear transcription factor Y (NF-Y) trimer through direct binding to NF-Y subunit C (NF-YC). It also interacts with the transcription factors GTF2I, YY1 and SRF. Under ER stress the cleaved N-terminal cytoplasmic domain translocates into the nucleus. The basic domain of ATF6 functions as a nuclear localization signal and the basic leucine zipper domain is sufficient for association with the NF-Y trimer and binding to ERSE. During the unfolded protein response an approximately 50 kDa fragment containing the cytoplasmic transcription factor domain is released by proteolysis. The cleavage seems to be performed sequentially by site 1 and site 2 proteases. ATF6 is N glycosylated, phosphorylated in vitro by MAPK14/P38MAPK and belongs to the bZIP family.
抗原信息
免疫原
KLH conjugated synthetic peptide: human ATF6
抗原种属
Human
基因名称
ATF6
基因ID
蛋白名称
Cyclic AMP-dependent transcription factor ATF-6 alpha
Uniprot ID
研究领域
ChIP antibodies,Leucine Zipper
功能
Transcription factor that acts during endoplasmic reticulum stress by activating unfolded protein response target genes. Binds DNA on the 5'-CCAC[GA]-3'half of the ER stress response element (ERSE) (5'-CCAAT-N(9)-CCAC[GA]-3') and of ERSE II (5'-ATTGG-N-CCACG-3'). Binding to ERSE requires binding of NF-Y to ERSE. Could also be involved in activation of transcription by the serum response factor.
化学信息
分子量Theoretical: 75 kDa. Actual: 75 kDa.
储存&溶解度
储存方式Store at -20°C or -80°C for 12 months. Avoid repeated freeze-thaw cycles.
运输方式Shipping with blue ice.

计算器

  • 稀释 计算器
  • 配液 计算器
Related Tags: buy Anti-ATF-6 Polyclonal Antibody 2 | purchase Anti-ATF-6 Polyclonal Antibody 2 | Anti-ATF-6 Polyclonal Antibody 2 cost | order Anti-ATF-6 Polyclonal Antibody 2 | Anti-ATF-6 Polyclonal Antibody 2 molecular weight