• TargetMol
    您的购物车当前为空

Anti-ARNT Antibody (9Z796)

一键复制产品信息
Rating icon 还可以
货号 TMAC-01818

别名 HIF1-b, HIF-1-b, ARNT

Anti-ARNT Antibody (9Z796) 是一种 Rabbit 抗体,靶向 ARNT。Anti-ARNT Antibody (9Z796) 可用于 IHC,WB。

Anti-ARNT Antibody (9Z796)

Anti-ARNT Antibody (9Z796)

一键复制产品信息
Rating icon 还可以
货号 TMAC-01818 别名 HIF1-b, HIF-1-b, ARNT

Anti-ARNT Antibody (9Z796) 是一种 Rabbit 抗体,靶向 ARNT。Anti-ARNT Antibody (9Z796) 可用于 IHC,WB。

规格价格库存数量
50 μL
¥ 1,485
5日内发货
100 μL
¥ 2,485
5日内发货
库存状态实时更新,以官网显示为准,现货产品可直接加购物车下单
大包装 & 定制
加入购物车
TargetMol的所有产品仅用作科学研究或药证申报,不能被用于人体,我们不向个人提供产品和服务。请您遵守承诺用途,不得违反法律法规规定用于任何其他用途。
实验操作小课堂
常见问题解答
查看更多
资源下载:

产品介绍


生物活性
产品描述
Anti-ARNT Antibody (9Z796) is a Rabbit antibody targeting ARNT. Anti-ARNT Antibody (9Z796) can be used in IHC,WB.
别名HIF1-b, HIF-1-b, ARNT
Ig Type
IgG
克隆号
9Z796
反应种属
Human
验证活性
1. Western blot analysis of HIF-1 beta on human liver lysates using anti-HIF-1 beta antibody at 1/1,000 dilution.
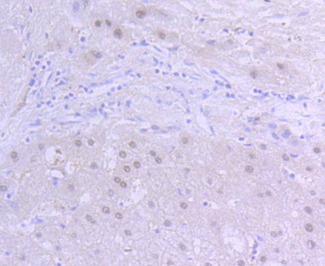
2. Immunohistochemical analysis of paraffin-embedded human liver tissue using anti-HIF-1 beta antibody. Counter stained with hematoxylin.
verifiedActivityverifiedActivity
应用IHCWB
推荐剂量
WB: 1:1000-2000; IHC: 1:50-200
抗体种类
Monoclonal
宿主来源Rabbit
构建方式Recombinant Antibody
纯化方式ProA affinity purified
性状Liquid
缓冲液1*TBS (pH7.4), 1%BSA, 40%Glycerol. Preservative: 0.05% Sodium Azide.
研究背景AhR, Arnt 1, Arnt 2 and BMAL1 are members of a family of transcription factors that contain a basic helix-loop-helix motif and a common ??PAS?? motif. The aromatic (aryl) hydrocarbon receptor, AhR, is a ligand dependent transcription factor that interacts with specific DNA sequences termed xenobiotic responsive elements (XREs) to activate several genes including CYP1A1, glutathione S-transferase Ya subunit and DT-diaphorase. The Ah receptor nuclear translocator proteins (Arnt 1 or Arnt 2) are required for ligand-dependent nuclear translocation of the Ah receptor and are also necessary for Ah receptor binding to the XRE element. Arnt 2 (aryl hydrocarbon receptor nuclear translocator 2), also known as Hif-2b or bHLHe1, is a 712 amino acid nuclear protein that is exclusively expressed in adult brain and kidney. Containing a basic helix-loop-helix (bHLH) domain, a PAC (PAS-associated C-terminal) domain and two PAS (PER-ARNT-SIM) domains, Arnt 2 specifically recognizes the xenobiotic response element (XRE).
偶联与修饰
偶联
Unconjugated
抗原信息
免疫原
Recombinant Protein
Uniprot ID
化学信息
分子量Theoretical: 87 kDa.
储存&溶解度
储存方式Store at -20°C or -80°C for 12 months. Avoid repeated freeze-thaw cycles.
运输方式Shipping with blue ice.
存储store at low temperature | -20°C for 1 year

计算器

  • 稀释 计算器
Related Tags: buy Anti-ARNT Antibody (9Z796) | purchase Anti-ARNT Antibody (9Z796) | Anti-ARNT Antibody (9Z796) cost | order Anti-ARNT Antibody (9Z796) | Anti-ARNT Antibody (9Z796) molecular weight