购物车
您的购物车当前为空
Anti-Aquaporin-4/AQP4 Antibody (8G264) 是一种 Mouse 抗体,靶向 Aquaporin-4/AQP4。Anti-Aquaporin-4/AQP4 Antibody (8G264) 可用于 IF,IHC-Fr,IHC-P。
别名 WCH4, Mercurial-insensitive water channel (MIWC), Aquaporin-4, AQP-4, AQP4
Anti-Aquaporin-4/AQP4 Antibody (8G264) 是一种 Mouse 抗体,靶向 Aquaporin-4/AQP4。Anti-Aquaporin-4/AQP4 Antibody (8G264) 可用于 IF,IHC-Fr,IHC-P。

| 规格 | 价格 | 库存 | 数量 |
|---|---|---|---|
| 50 μL | ¥ 1,170 | 5日内发货 | |
| 100 μL | ¥ 1,965 | 5日内发货 | |
| 200 μL | ¥ 2,795 | 5日内发货 |
TargetMol的所有产品仅用作科学研究或药证申报,不能被用于人体,我们不向个人提供产品和服务。请您遵守承诺用途,不得违反法律法规规定用于任何其他用途。
| 产品描述 | Anti-Aquaporin-4/AQP4 Antibody (8G264) is a Mouse antibody targeting Aquaporin-4/AQP4. Anti-Aquaporin-4/AQP4 Antibody (8G264) can be used in IF,IHC-Fr,IHC-P. |
| 别名 | WCH4, Mercurial-insensitive water channel (MIWC), Aquaporin-4, AQP-4, AQP4 |
| Ig Type | IgG1 |
| 克隆号 | 8G264 |
| 反应种属 | Human,Mouse,Rat |
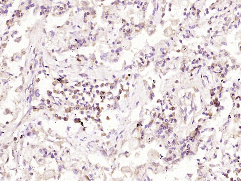
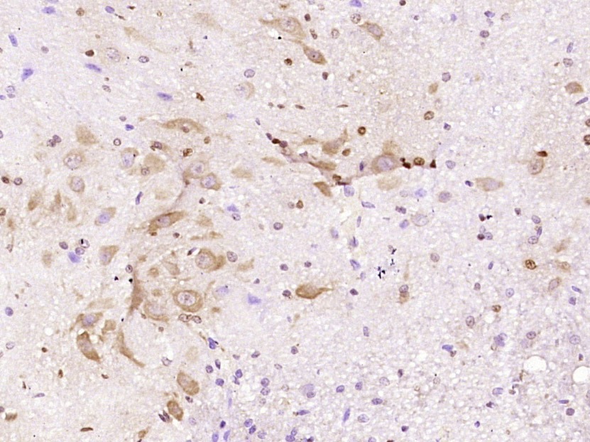
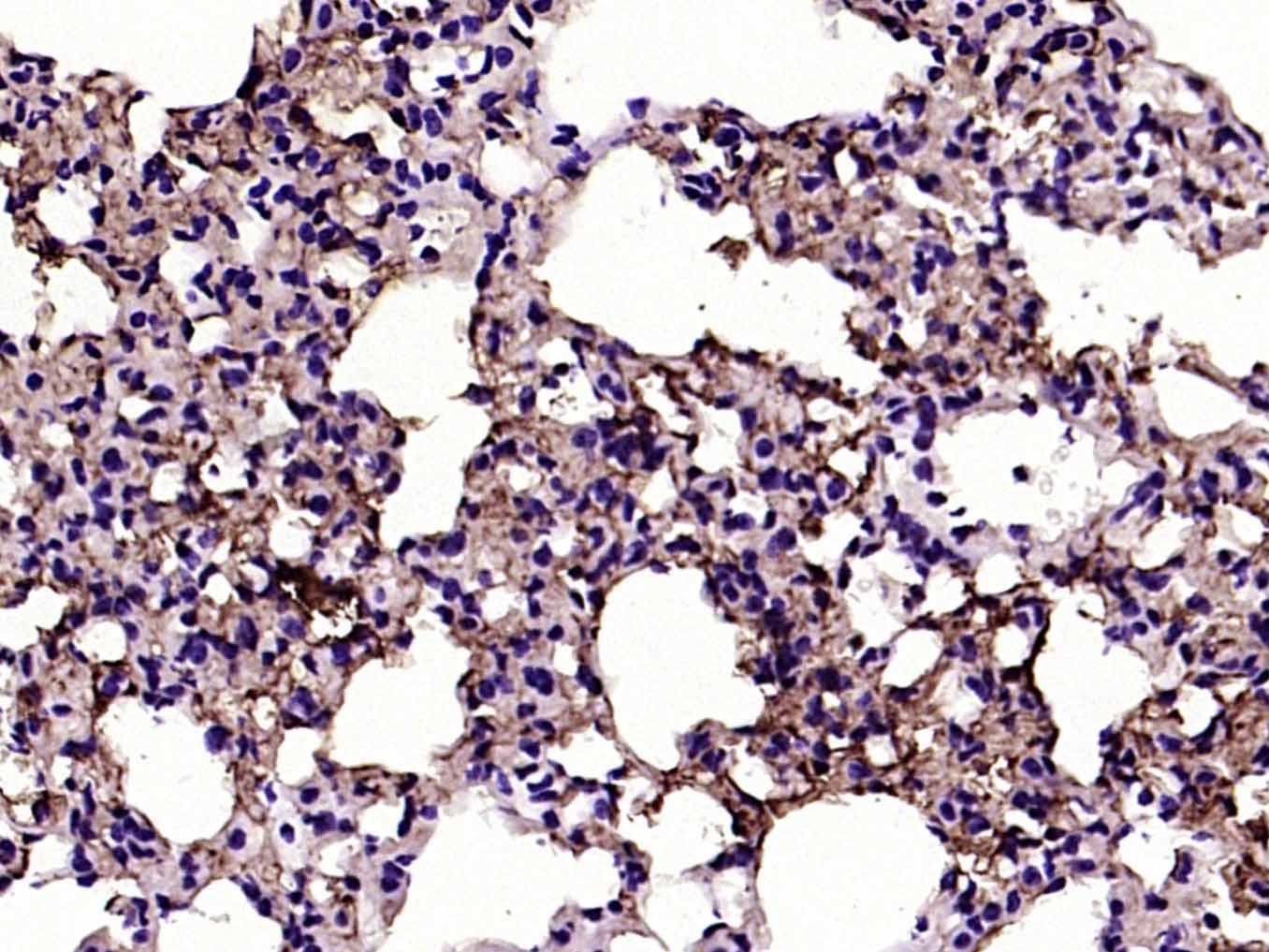
| 验证活性 | 1. Paraformaldehyde-fixed, paraffin embedded (mouse lung); Antigen retrieval by boiling in sodium citrate buffer (pH6.0) for 15 min; Block endogenous peroxidase by 3% hydrogen peroxide for 20 min; Blocking buffer (normal goat serum) at 37°C for 30 min; Antibody incubation with (Aquaporin 4) Monoclonal Antibody, Unconjugated (ascites of TMAB-00137) at 1:2000 overnight at 4°C, followed by operating according to SP Kit (Mouse) instructions and DAB staining. 2. Paraformaldehyde-fixed, paraffin embedded (Rat brain); Antigen retrieval by boiling in sodium citrate buffer (pH6.0) for 15 min; Block endogenous peroxidase by 3% hydrogen peroxide for 20 min; Blocking buffer (normal goat serum) at 37°C for 30 min; Antibody incubation with (Aquaporin 4) Monoclonal Antibody, Unconjugated (TMAB-00137) at 1:800 overnight at 4°C, followed by operating according to SP Kit (Mouse) instructions and DAB staining. 3. Paraformaldehyde-fixed, paraffin embedded (Human lung cancer); Antigen retrieval by boiling in sodium citrate buffer (pH6.0) for 15 min; Block endogenous peroxidase by 3% hydrogen peroxide for 20 min; Blocking buffer (normal goat serum) at 37°C for 30 min; Antibody incubation with (Aquaporin 4) Monoclonal Antibody, Unconjugated (TMAB-00137) at 1:800 overnight at 4°C, followed by operating according to SP Kit (Mouse) instructions and DAB staining. ![]() ![]() ![]() |
| 应用 | IFIHC-FrIHC-P |
| 推荐剂量 | IHC-P: 1:100-500; IHC-Fr: 1:100-500; IF: 1:100-500 |
| 抗体种类 | Monoclonal |
| 宿主来源 | Mouse |
| 亚细胞定位 | Membrane; Multi-pass membrane protein. |
| 组织特异性 | Brain, muscle, heart, kidney, lung, and trachea. |
| 构建方式 | Hybridoma Monoclonal Antibody |
| 纯化方式 | Protein G purified |
| 性状 | Liquid |
| 缓冲液 | 0.01M TBS (pH7.4) with 1% BSA, 0.02% Proclin300 and 50% Glycerol. |
| 浓度 | 1 mg/mL |
| 研究背景 | This gene encodes a member of the aquaporin family of intrinsic membrane proteins that function as water-selective channels in the plasma membranes of many cells. The encoded protein is the predominant aquaporin found in brain. Two alternatively spliced transcript variants encoding distinct isoforms have been found for this gene. [provided by RefSeq, Jul 2008] |
| 免疫原 | Recombinant Protein: human Aquaporin 4 Protein |
| 抗原种属 | Human |
| 基因名称 | AQP4 |
| 基因ID | |
| 蛋白名称 | Aquaporin-4 |
| Uniprot ID | |
| 研究领域 | Channels |
| 功能 | Forms a water-specific channel. Osmoreceptor which regulates body water balance and mediates water flow within the central nervous system. |
| 分子量 | Theoretical: 36 kDa. |
| 储存方式 | Store at -20°C or -80°C for 12 months. Avoid repeated freeze-thaw cycles. |
| 运输方式 | Shipping with blue ice. |