• TargetMol
    您的购物车当前为空

Anti-Aminopeptidase N/CD13 Antibody (3J107)

一键复制产品信息
Rating icon 还可以
货号 TMAC-00653

别名 PEPN, p150, LAP1, GP150, CD13, APN, alanyl (membrane) aminopeptidase

Anti-Aminopeptidase N/CD13 Antibody (3J107) 是一种 Rabbit 抗体,靶向 Aminopeptidase N/CD13。Anti-Aminopeptidase N/CD13 Antibody (3J107) 可用于 ICC,IHC,IP,WB。

Anti-Aminopeptidase N/CD13 Antibody (3J107)

Anti-Aminopeptidase N/CD13 Antibody (3J107)

一键复制产品信息
Rating icon 还可以
货号 TMAC-00653 别名 PEPN, p150, LAP1, GP150, CD13, APN, alanyl (membrane) aminopeptidase

Anti-Aminopeptidase N/CD13 Antibody (3J107) 是一种 Rabbit 抗体,靶向 Aminopeptidase N/CD13。Anti-Aminopeptidase N/CD13 Antibody (3J107) 可用于 ICC,IHC,IP,WB。

规格价格库存数量
50 μL
¥ 1,480
5日内发货
100 μL
¥ 2,490
5日内发货
库存状态实时更新,以官网显示为准,现货产品可直接加购物车下单
大包装 & 定制
加入购物车
TargetMol的所有产品仅用作科学研究或药证申报,不能被用于人体,我们不向个人提供产品和服务。请您遵守承诺用途,不得违反法律法规规定用于任何其他用途。
实验操作小课堂
常见问题解答
查看更多
资源下载:

产品介绍


生物活性
产品描述
Anti-Aminopeptidase N/CD13 Antibody (3J107) is a Rabbit antibody targeting Aminopeptidase N/CD13. Anti-Aminopeptidase N/CD13 Antibody (3J107) can be used in ICC,IHC,IP,WB.
别名PEPN, p150, LAP1, GP150, CD13, APN, alanyl (membrane) aminopeptidase
Ig Type
IgG
克隆号
3J107
反应种属
Human,Mouse,Rat
验证活性
1. Western blot analysis of CD13 on different lysates using anti-CD13 antibody at 1/1,000 dilution. Positive control: Lane 1: THP-1, Lane 2: Human kidney.
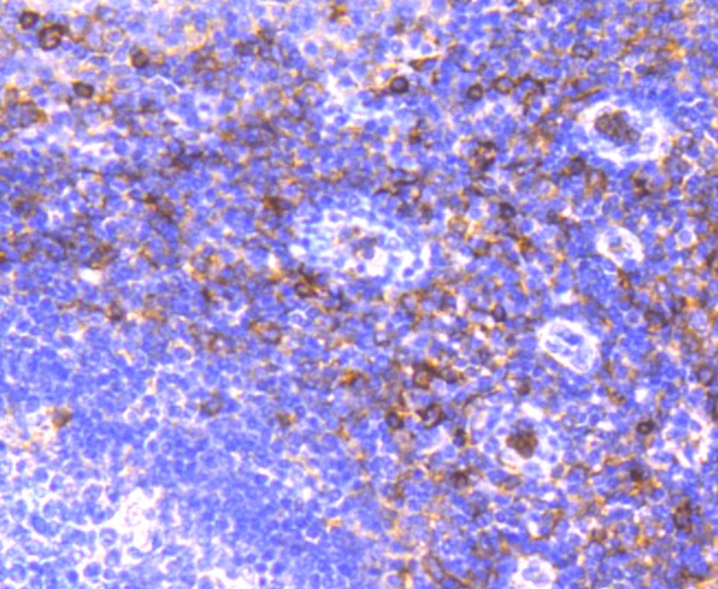
2. Immunohistochemical analysis of paraffin-embedded human tonsil tissue using anti-CD13 antibody. Counter stained with hematoxylin.
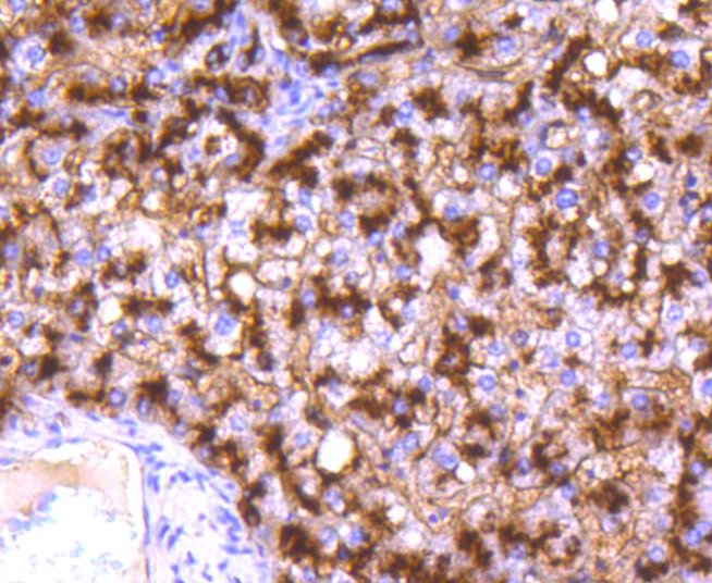
3. Immunohistochemical analysis of paraffin-embedded human liver tissue using anti-CD13 antibody. Counter stained with hematoxylin.
4. Immunohistochemical analysis of paraffin-embedded human breast tissue using anti-CD13 antibody. Counter stained with hematoxylin.
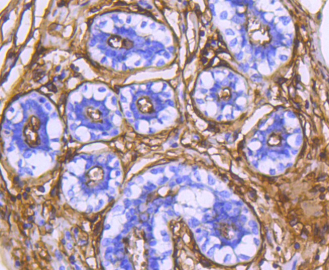
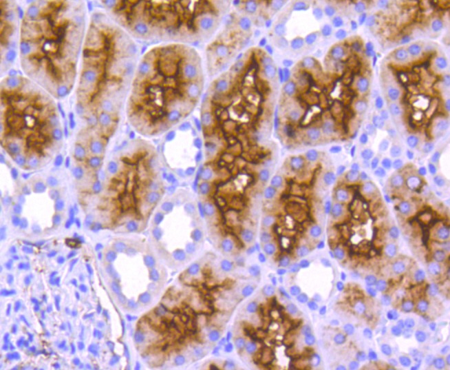
5. Immunohistochemical analysis of paraffin-embedded human kidney tissue using anti-CD13 antibody. Counter stained with hematoxylin.
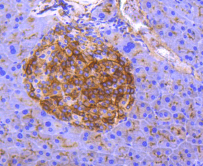
6. Immunohistochemical analysis of paraffin-embedded mouse pancreas tissue using anti-CD13 antibody. Counter stained with hematoxylin.
7. ICC staining CD13 in Hela cells (green). The nuclear counter stain is DAPI (blue). Cells were fixed in paraformaldehyde, permeabilised with 0.25% Triton X100/PBS
8. ICC staining CD13 in HepG2 cells (green). The nuclear counter stain is DAPI (blue). Cells were fixed in paraformaldehyde, permeabilised with 0.25% Triton X100/PBS.
9. ICC staining CD13 in PANC-1 cells (green). The nuclear counter stain is DAPI (blue). Cells were fixed in paraformaldehyde, permeabilised with 0.25% Triton X100/PBS.
verifiedActivityverifiedActivityverifiedActivityverifiedActivityverifiedActivityverifiedActivityverifiedActivityverifiedActivityverifiedActivity
应用ICCIHCIPWB
推荐剂量
WB: 1:1000-5000; IHC: 1:100-500; ICC: 1:100-500
抗体种类
Monoclonal
宿主来源Rabbit
构建方式Recombinant Antibody
纯化方式ProA affinity purified
性状Liquid
缓冲液1*TBS (pH7.4), 1%BSA, 40%Glycerol. Preservative: 0.05% Sodium Azide.
研究背景CD13, or aminopeptidase N, is a type II transmembrane glycoprotein that is expressed on most cells of Myeloid origin, including monocytes, basophils, eosinophils, neutrophils and Myeloid leukemias. CD13 is also found on certain epithelial cells, fibroblasts and osteoclasts. CD13 acts as a zinc-binding metalloprotease that plays a role in digestion and may function in the inactivation of some regulatory peptides such as enkephalins. CD13 may play a role in the invasion of cancer cells by enhancing their invasive capacity and metastatic behavior. The activity of CD13 can be inactivated using specific inhibitors that evoke apoptosis of CD13-positive cancer cells. Basic fibroblast growth factor (bFGF) expression upregulates CD13 expression in human melanoma cells by activating both the Myeloid and the epithelial CD13 promoter.
偶联与修饰
偶联
Unconjugated
抗原信息
免疫原
Recombinant Protein
Uniprot ID
化学信息
分子量Theoretical: 150 kDa.
储存&溶解度
储存方式Store at -20°C or -80°C for 12 months. Avoid repeated freeze-thaw cycles.
运输方式Shipping with blue ice.
存储store at low temperature | -20°C for 1 year

计算器

  • 稀释 计算器
Related Tags: buy Anti-Aminopeptidase N/CD13 Antibody (3J107) | purchase Anti-Aminopeptidase N/CD13 Antibody (3J107) | Anti-Aminopeptidase N/CD13 Antibody (3J107) cost | order Anti-Aminopeptidase N/CD13 Antibody (3J107) | Anti-Aminopeptidase N/CD13 Antibody (3J107) molecular weight