• TargetMol
    您的购物车当前为空

Anti-Alpha-2-macroglobulin Antibody (9L785)

一键复制产品信息
Rating icon 还可以
货号 TMAC-00039

别名 α-2-macroglobulin, S863-7, FWP007, CPAMD5, alpha-2-macroglobulin, A2MD

Anti-Alpha-2-macroglobulin Antibody (9L785) 是一种 Rabbit 抗体,靶向 Alpha-2-macroglobulin。Anti-Alpha-2-macroglobulin Antibody (9L785) 可用于 IHC,WB。

Anti-Alpha-2-macroglobulin Antibody (9L785)

Anti-Alpha-2-macroglobulin Antibody (9L785)

一键复制产品信息
Rating icon 还可以
货号 TMAC-00039 别名 α-2-macroglobulin, S863-7, FWP007, CPAMD5, alpha-2-macroglobulin, A2MD

Anti-Alpha-2-macroglobulin Antibody (9L785) 是一种 Rabbit 抗体,靶向 Alpha-2-macroglobulin。Anti-Alpha-2-macroglobulin Antibody (9L785) 可用于 IHC,WB。

规格价格库存数量
50 μL
¥ 1,480
5日内发货
100 μL
¥ 2,490
5日内发货
库存状态实时更新,以官网显示为准,现货产品可直接加购物车下单
大包装 & 定制
加入购物车
TargetMol的所有产品仅用作科学研究或药证申报,不能被用于人体,我们不向个人提供产品和服务。请您遵守承诺用途,不得违反法律法规规定用于任何其他用途。
实验操作小课堂
常见问题解答
查看更多
资源下载:

产品介绍


生物活性
产品描述
Anti-Alpha-2-macroglobulin Antibody (9L785) is a Rabbit antibody targeting Alpha-2-macroglobulin. Anti-Alpha-2-macroglobulin Antibody (9L785) can be used in IHC,WB.
别名α-2-macroglobulin, S863-7, FWP007, CPAMD5, alpha-2-macroglobulin, A2MD
Ig Type
IgG
克隆号
9L785
反应种属
Human
验证活性
1. Western blot analysis of A2M on human placenta cells lysates using anti-A2M antibody at 1/500 dilution.
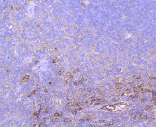
2. Immunohistochemical analysis of paraffin-embedded human tonsil tissue using anti-A2M antibody. Counter stained with hematoxylin.
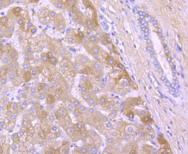
3. Immunohistochemical analysis of paraffin-embedded human liver tissue using anti-A2M antibody. Counter stained with hematoxylin.
4. Immunohistochemical analysis of paraffin-embedded human spleen tissue using anti-A2M antibody. Counter stained with hematoxylin.
verifiedActivityverifiedActivityverifiedActivityverifiedActivity
应用IHCWB
推荐剂量
WB: 1:1000-2000; IHC: 1:50-200
抗体种类
Monoclonal
宿主来源Rabbit
构建方式Recombinant Antibody
纯化方式ProA affinity purified
性状Liquid
缓冲液1*TBS (pH7.4), 1%BSA, 40%Glycerol. Preservative: 0.05% Sodium Azide.
研究背景α-2-Macroglobulin (α-2M) is a homotetrameric serum protein consisting of four identical subunits that form dimers through disulfide bonds. Initially, α-2M was characterized as a pan-proteinase inhibitor that was able to "bait" proteinases into cleaving specific peptide sequences on α-2M. This interaction induces a conformational change in α-2M, thus enabling it to "trap" the proteinase and further inhibit its activity. Subsequently, α-2M has been shown to function as a carrier protein and regulator of cytokines during inflammation. Circulating transforming growth factor β (TGFβ) in serum is primarily bound to α-2M, which renders TGFβ inactive. α-2M also binds to IL-6 and, thereby, increases the concentration of IL-6 near lymphocytes, hepatocytes and stem cells involved in mediating the inflammatory cascade. Mutations and deletions in the gene encoding α-2M are associated with an increased incidence of Alzheimer's Disease (AD), which is consistent with the role of α-2M in mediating the clearance and degradation of A β, the major component of β-Amyloid deposits accumulated during AD.
偶联与修饰
偶联
Unconjugated
抗原信息
免疫原
Recombinant Protein
Uniprot ID
化学信息
分子量Theoretical: 163 kDa.
储存&溶解度
储存方式Store at -20°C or -80°C for 12 months. Avoid repeated freeze-thaw cycles.
运输方式Shipping with blue ice.
存储store at low temperature | -20°C for 1 year

计算器

  • 稀释 计算器
Related Tags: buy Anti-Alpha-2-macroglobulin Antibody (9L785) | purchase Anti-Alpha-2-macroglobulin Antibody (9L785) | Anti-Alpha-2-macroglobulin Antibody (9L785) cost | order Anti-Alpha-2-macroglobulin Antibody (9L785) | Anti-Alpha-2-macroglobulin Antibody (9L785) molecular weight