购物车
  • 全部删除
  • TargetMol
    您的购物车当前为空

Anti-Alcohol Dehydrogenase Antibody (3W28)

一键复制产品信息
Rating icon 还可以
产品编号 TMAC-00134
别名 Aldehyde reductase, Alcohol dehydrogenase subunit alpha, Alcohol dehydrogenase 1A (class I), alpha polypeptide, Alcohol dehydrogenase 1A, Alcohol dehydrogenase 1 (class I), alpha polypeptide, Alcohol dehydrogenase 1, ADH1A_HUMAN, ADH1A, ADH1, ADH alpha subunit, ADH

Anti-Alcohol Dehydrogenase Antibody (3W28) 是一种 Rabbit 抗体,靶向 Alcohol Dehydrogenase。Anti-Alcohol Dehydrogenase Antibody (3W28) 可用于 ICC,IF,IHC,WB。

Anti-Alcohol Dehydrogenase Antibody (3W28)

Anti-Alcohol Dehydrogenase Antibody (3W28)

一键复制产品信息
Rating icon 还可以
产品编号 TMAC-00134 别名 Aldehyde reductase, Alcohol dehydrogenase subunit alpha, Alcohol dehydrogenase 1A (class I), alpha polypeptide, Alcohol dehydrogenase 1A, Alcohol dehydrogenase 1 (class I), alpha polypeptide, Alcohol dehydrogenase 1, ADH1A_HUMAN, ADH1A, ADH1, ADH alpha subunit, ADH

Anti-Alcohol Dehydrogenase Antibody (3W28) 是一种 Rabbit 抗体,靶向 Alcohol Dehydrogenase。Anti-Alcohol Dehydrogenase Antibody (3W28) 可用于 ICC,IF,IHC,WB。

规格价格库存数量
50 μL
¥ 1,485
5日内发货
100 μL
¥ 2,480
5日内发货
大包装 & 定制
加入购物车
TargetMol 的所有产品仅用作科学研究或药证申报,不能被用于人体,我们不向个人提供产品和服务。请您遵守承诺用途,不得违反法律法规规定用于任何其他用途。
实验操作小课堂
常见问题解答
查看更多
联系我们获取更多批次信息
资源下载

产品介绍

生物活性
产品描述
Anti-Alcohol Dehydrogenase Antibody (3W28) is a Rabbit antibody targeting Alcohol Dehydrogenase. Anti-Alcohol Dehydrogenase Antibody (3W28) can be used in ICC,IF,IHC,WB.
别名Aldehyde reductase, Alcohol dehydrogenase subunit alpha, Alcohol dehydrogenase 1A (class I), alpha polypeptide, Alcohol dehydrogenase 1A, Alcohol dehydrogenase 1 (class I), alpha polypeptide, Alcohol dehydrogenase 1, ADH1A_HUMAN, ADH1A, ADH1, ADH alpha subunit, ADH
Ig Type
IgG
克隆号
3W28
交叉反应
Human,Mouse,Rat
验证活性
1. Western blot analysis of Alcohol Dehydrogenase on rat liver tissue lysate using anti-Alcohol Dehydrogenase antibody at 1/1,000 dilution.
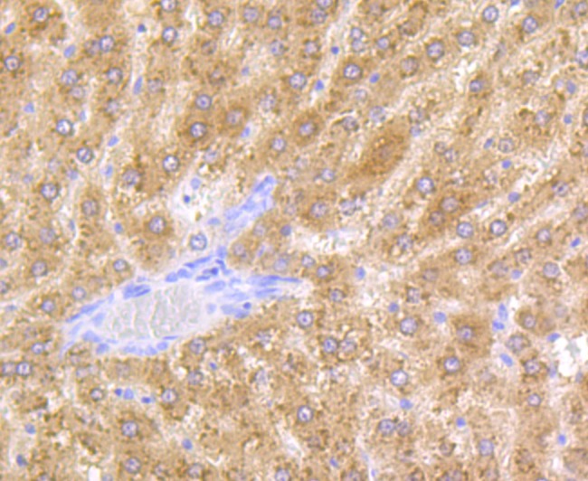
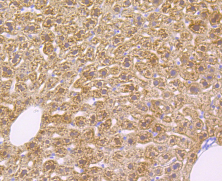
2. Immunohistochemical analysis of paraffin-embedded human liver tissue using anti-Alcohol Dehydrogenase antibody. Counter stained with hematoxylin.
3. Immunohistochemical analysis of paraffin-embedded mouse liver tissue using anti-Alcohol Dehydrogenase antibody. Counter stained with hematoxylin.
4. Immunohistochemical analysis of paraffin-embedded rat liver tissue using anti-Alcohol Dehydrogenase antibody. Counter stained with hematoxylin.
5. ICC staining Alcohol Dehydrogenase in HepG2 cells (green). The nuclear counter stain is DAPI (blue). Cells were fixed in paraformaldehyde, permeabilised with 0.25% Triton X100/PBS.
verifiedActivityverifiedActivityverifiedActivityverifiedActivityverifiedActivity
应用ICCIFIHCWB
推荐剂量
WB: 1:500-2000; IHC: 1:50-200; ICC: 1:50-100
抗体种类
Monoclonal
宿主来源Rabbit
构建方式Recombinant Antibody
纯化方式ProA affinity purified
性状Liquid
缓冲液1*TBS (pH7.4), 1%BSA, 40%Glycerol. Preservative: 0.05% Sodium Azide.
研究背景The alcohol dehydrogenase family of proteins metabolize a wide variety of substrates, including ethanol, retinol, other aliphatic alcohols, hydroxysteroids, and lipid peroxidation products. Class I alcohol dehydrogenase, consisting of several homo- and heterodimers of alpha, beta, and gamma subunits, exhibits high activity for ethanol oxidation and plays a major role in ethanol catabolism. Three genes encoding alpha (ADH1A), beta (ADH1B) and gamma (ADH1C) subunits are tandemly organized on chromosome 4q22 as a gene cluster. The alpha form of ADH is monomorphic and predominant in fetal and infant livers, becoming less active in gestation and only weakly active during adulthood. The genes encoding beta and gamma subunits, however, are polymorphic and strongly expressed in adult livers. With the coenzyme NAD, ADH catalyzes the reversible conversion of organic alcohols to ketones or aldehydes. The physiologic function for ADH in the liver is the removal of ethanol formed by microorganisms in the intestinal tract.
偶联与修饰
偶联
Unconjugated
抗原信息
免疫原
Recombinant Protein: human Alcohol Dehydrogenase aa 1-200
抗原种属
human
Uniprot ID
化学信息
分子量Theoretical: 40 kDa.
存储&运输
储存方式Store at -20°C or -80°C for 12 months. Avoid repeated freeze-thaw cycles.
运输方式Shipping with blue ice.

计算器

  • 稀释 计算器

评论列表

4个月前
5.0
Rating icon 很棒

评论内容

Related Tags: buy Anti-Alcohol Dehydrogenase Antibody (3W28) | purchase Anti-Alcohol Dehydrogenase Antibody (3W28) | Anti-Alcohol Dehydrogenase Antibody (3W28) cost | order Anti-Alcohol Dehydrogenase Antibody (3W28) | Anti-Alcohol Dehydrogenase Antibody (3W28) molecular weight