• TargetMol
    您的购物车当前为空

Anti-Albumin Polyclonal Antibody

一键复制产品信息
Rating icon 还可以
货号 TMAB-00091

别名 PRO1341, PRO0903, PRO0883, FDAH, ANALBA, albumin

Anti-Albumin Polyclonal Antibody 是一种 Rabbit 抗体,靶向 Albumin。Anti-Albumin Polyclonal Antibody 可用于 IF,IHC-Fr,IHC-P,WB。

Anti-Albumin Polyclonal Antibody

Anti-Albumin Polyclonal Antibody

一键复制产品信息
Rating icon 还可以
货号 TMAB-00091 别名 PRO1341, PRO0903, PRO0883, FDAH, ANALBA, albumin

Anti-Albumin Polyclonal Antibody 是一种 Rabbit 抗体,靶向 Albumin。Anti-Albumin Polyclonal Antibody 可用于 IF,IHC-Fr,IHC-P,WB。

规格价格库存数量
50 μL
¥ 1,165
5日内发货
100 μL
¥ 1,975
5日内发货
200 μL
¥ 2,785
5日内发货
库存状态实时更新,以官网显示为准,现货产品可直接加购物车下单
大包装 & 定制
加入购物车
TargetMol的所有产品仅用作科学研究或药证申报,不能被用于人体,我们不向个人提供产品和服务。请您遵守承诺用途,不得违反法律法规规定用于任何其他用途。
实验操作小课堂
常见问题解答
查看更多
资源下载:

产品介绍


生物活性
产品描述
Anti-Albumin Polyclonal Antibody is a Rabbit antibody targeting Albumin. Anti-Albumin Polyclonal Antibody can be used in IF,IHC-Fr,IHC-P,WB.
别名PRO1341, PRO0903, PRO0883, FDAH, ANALBA, albumin
Ig Type
IgG
反应种属
Human,Mouse
验证活性
1. Sample:
A549 (Human) Cell Lysate at 30 μg
Primary: Anti-Mouse serum albumin (TMAB-00091) at 1/300 dilution
Secondary: IRDye800CW Goat Anti-Rabbit IgG at 1/20000 dilution
Predicted band size: 68 kDa
Observed band size: 68 kDa
2. Sample:
Lung (Mouse) Lysate at 40 μg
Spleen (Mouse) Lysate at 40 μg
Primary: Anti-Mouse serum albumin (TMAB-00091) at 1/300 dilution
Secondary: IRDye800CW Goat Anti-Rabbit IgG at 1/20000 dilution
Predicted band size: 68 kDa
Observed band size: 68 kDa
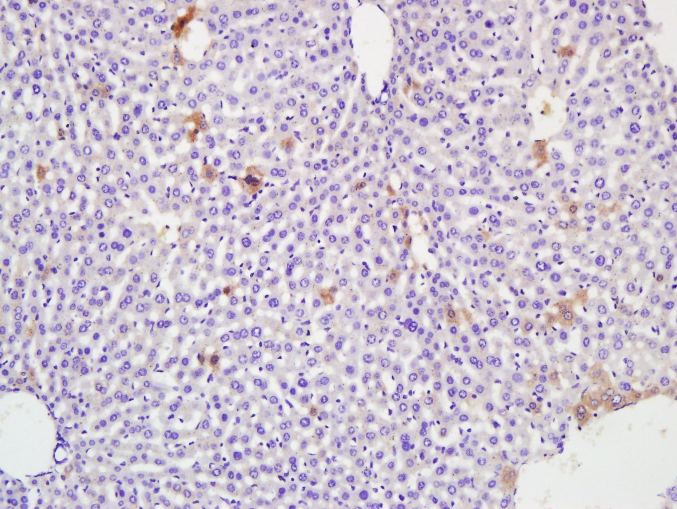
3. Paraformaldehyde-fixed, paraffin embedded (Mouse liver); Antigen retrieval by boiling in sodium citrate buffer (pH6.0) for 15 min; Block endogenous peroxidase by 3% hydrogen peroxide for 20 min; Blocking buffer (normal goat serum) at 37°C for 30 min; Antibody incubation with (Mouse serum albumin) Polyclonal Antibody, Unconjugated (TMAB-00091) at 1:400 overnight at 4°C, followed by a conjugated secondary antibody for 20 min and DAB staining.
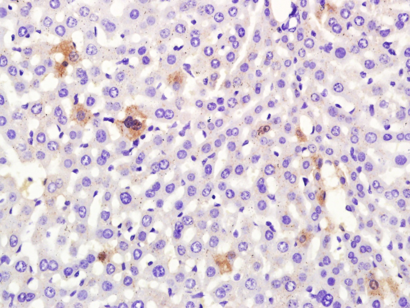
4. Paraformaldehyde-fixed, paraffin embedded (Mouse Liver); Antigen retrieval by boiling in sodium citrate buffer (pH6.0) for 15 min; Block endogenous peroxidase by 3% hydrogen peroxide for 20 min; Blocking buffer (normal goat serum) at 37°C for 30 min; Antibody incubation with (Mouse serum albumin) Polyclonal Antibody, Unconjugated (TMAB-00091) at 1:400 overnight at 4°C, followed by a conjugated secondary antibody for 20 min and DAB staining.
5. Sample:
Lane 1: Mouse Serum
Lane 2: Human Serum
Primary: Anti-Albumin (TMAB-00091) at 1/5000 dilution
Secondary: IRDye800CW Goat Anti-Rabbit IgG at 1/20000 dilution
Predicted band size: 68 kDa
Observed band size: 62 kDa
verifiedActivityverifiedActivityverifiedActivityverifiedActivityverifiedActivity
应用IFIHC-FrIHC-PWB
推荐剂量
WB: 1:500-2000; IHC-P: 1:100-500; IHC-Fr: 1:100-500; IF: 1:100-500
抗体种类
Polyclonal
宿主来源Rabbit
亚细胞定位Secreted.
组织特异性Plasma.
构建方式Polyclonal Antibody
纯化方式Protein A purified
性状Liquid
缓冲液0.01M TBS (pH7.4) with 0.02% Proclin300 and 50% Glycerol.
浓度1 mg/mL
研究背景This gene encodes the most abundant protein in human blood. This protein functions in the regulation of blood plasma colloid osmotic pressure and acts as a carrier protein for a wide range of endogenous molecules including hormones, fatty acids, and metabolites, as well as exogenous drugs. Additionally, this protein exhibits an esterase-like activity with broad substrate specificity. The encoded preproprotein is proteolytically processed to generate the mature protein. A peptide derived from this protein, EPI-X4, is an endogenous inhibitor of the CXCR4 chemokine receptor. [provided by RefSeq, Jul 2016]
抗原信息
免疫原
Mouse serum albumin purified from mouse serum
抗原种属
Mouse
基因名称
SERPINB14
蛋白名称
Ovalbumin
研究领域
Endoderm,Other Chaperones,Lipid metabolism,Metabolic disorders,Signal transduction proteins ELISA kits,Endoderm,Serum Proteins
功能
Serum albumin, the main protein of plasma, has a good binding capacity for water, Ca(2+), Na(+), K(+), fatty acids, hormones, bilirubin and drugs. Its main function is the regulation of the colloidal osmotic pressure of blood. Major zinc transporter in plasma, typically binds about 80% of all plasma zinc.
化学信息
分子量Theoretical: 68 kDa.
储存&溶解度
储存方式Store at -20°C or -80°C for 12 months. Avoid repeated freeze-thaw cycles.
运输方式Shipping with blue ice.
存储store at low temperature | store at -20°C

计算器

  • 稀释 计算器
Related Tags: buy Anti-Albumin Polyclonal Antibody | purchase Anti-Albumin Polyclonal Antibody | Anti-Albumin Polyclonal Antibody cost | order Anti-Albumin Polyclonal Antibody | Anti-Albumin Polyclonal Antibody molecular weight