购物车
  • TargetMol
    您的购物车当前为空

Anti-AHR Polyclonal Antibody 2

Synonyms: Class E basic helix-loop-helix protein 76 (bHLHe76), bHLHe76, Aryl hydrocarbon receptor, AHR, Ah receptor
货号 TMAB-00081 一键复制产品信息
Rating icon 还可以

Anti-AHR Polyclonal Antibody 2 是一种 Rabbit 抗体,靶向 AHR。Anti-AHR Polyclonal Antibody 2 可用于 IF,IHC-Fr,IHC-P,WB。

Anti-AHR Polyclonal Antibody 2

一键复制产品信息
Rating icon 还可以
货号 TMAB-00081

别名 Class E basic helix-loop-helix protein 76 (bHLHe76), bHLHe76, Aryl hydrocarbon receptor, AHR, Ah receptor

Anti-AHR Polyclonal Antibody 2 是一种 Rabbit 抗体,靶向 AHR。Anti-AHR Polyclonal Antibody 2 可用于 IF,IHC-Fr,IHC-P,WB。

Anti-AHR Polyclonal Antibody 2
规格价格库存数量
50 μL
¥ 1,175
5日内发货
100 μL
¥ 1,965
5日内发货
200 μL
¥ 2,790
5日内发货
库存状态实时更新,以官网显示为准,现货产品可直接加购物车下单
大包装 & 定制
加入购物车

TargetMol的所有产品仅用作科学研究或药证申报,不能被用于人体,我们不向个人提供产品和服务。请您遵守承诺用途,不得违反法律法规规定用于任何其他用途。

实验操作小课堂
常见问题解答
查看更多

选择批次:
颜色: 无色透明
性状: Liquid
资源下载: COA产品操作手册

产品介绍


生物活性
产品描述
Anti-AHR Polyclonal Antibody 2 is a Rabbit antibody targeting AHR. Anti-AHR Polyclonal Antibody 2 can be used in IF,IHC-Fr,IHC-P,WB.
别名
Class E basic helix-loop-helix protein 76 (bHLHe76), bHLHe76, Aryl hydrocarbon receptor, AHR, Ah receptor
Ig Type
IgG
反应种属
Human,Mouse,Rat (predicted:Pig,Cow,Horse,Rabbit,Sheep)
验证活性
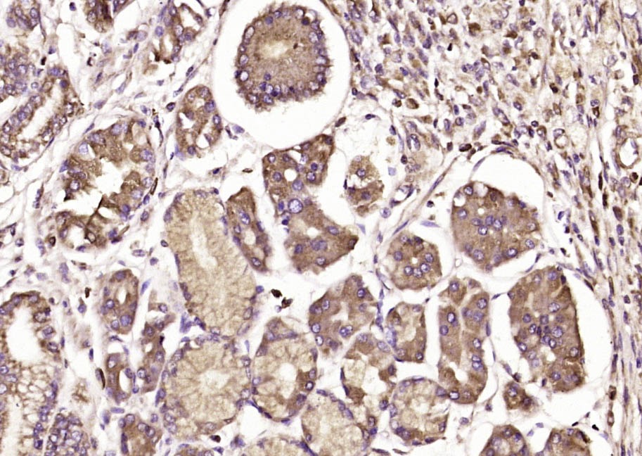
1. Paraformaldehyde-fixed, paraffin embedded (human gastric carcinoma); Antigen retrieval by boiling in sodium citrate buffer (pH6.0) for 15 min; Block endogenous peroxidase by 3% hydrogen peroxide for 20 min; Blocking buffer (normal goat serum) at 37°C for 30 min; Antibody incubation with (AHR) Polyclonal Antibody, Unconjugated (TMAB-00081) at 1:200 overnight at 4°C, followed by operating according to SP Kit (Rabbit) instructionsand DAB staining.
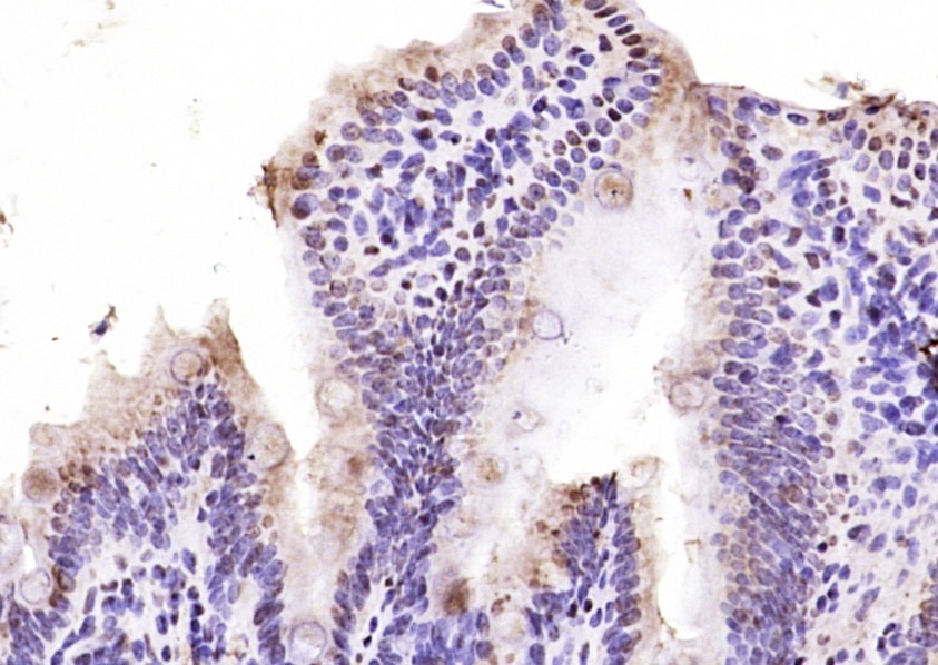
2. Paraformaldehyde-fixed, paraffin embedded (mouse intestine); Antigen retrieval by boiling in sodium citrate buffer (pH6.0) for 15 min; Block endogenous peroxidase by 3% hydrogen peroxide for 20 min; Blocking buffer (normal goat serum) at 37°C for 30 min; Antibody incubation with (AHR) Polyclonal Antibody, Unconjugated (TMAB-00081) at 1:200 overnight at 4°C, followed by operating according to SP Kit (Rabbit) instructionsand DAB staining.
3. Sample:
Lane 1: Mouse Testis tissue lysates
Lane 2: Rat Testis tissue lysates
Lane 3: Human PC-3 cell lysates
Primary: Anti-AHR (TMAB-00081) at 1/1000 dilution
Secondary: IRDye800CW Goat Anti-Rabbit IgG at 1/20000 dilution
Predicted band size: 93 kDa
Observed band size: 120 kDa
verifiedActivityverifiedActivityverifiedActivity
应用IFIHC-FrIHC-PWB
推荐剂量
WB: 1:500-2000; IHC-P: 1:100-500; IHC-Fr: 1:100-500; IF: 1:100-500
抗体种类
Polyclonal
宿主来源Rabbit
亚细胞定位Cytoplasm. Nucleus. Initially cytoplasmic; upon binding with ligand and interaction with a HSP90, it translocates to the nucleus.
组织特异性Expressed in all tissues tested including blood, brain, heart, kidney, liver, lung, pancreas and skeletal muscle.
构建方式Polyclonal Antibody
纯化方式Protein A purified
性状Liquid
缓冲液0.01M TBS (pH7.4) with 1% BSA, 0.02% Proclin300 and 50% Glycerol.
浓度1 mg/mL
研究背景This gene encodes a ligand-activated transcription factor involved in the regulation of biological responses to planar aromatic hydrocarbons. This receptor has been shown to regulate xenobiotic-metabolizing enzymes such as cytochrome P450. Its ligands included a variety of aromatic hydrocarbons.
抗原信息
免疫原
KLH conjugated synthetic peptide: human AHR
抗原种属
Human
基因名称
AHR
基因ID
蛋白名称
Aryl hydrocarbon receptor
Uniprot ID
功能
Ligand-activated transcriptional activator. Binds to the XRE promoter region of genes it activates. Activates the expression of multiple phase I and II xenobiotic chemical metabolizing enzyme genes (such as the CYP1A1 gene). Mediates biochemical and toxic effects of halogenated aromatic hydrocarbons. Involved in cell-cycle regulation. Likely to play an important role in the development and maturation of many tissues.
化学信息
分子量Theoretical: 93 kDa. Actual: 120 kDa.
储存&溶解度
储存方式Store at -20°C or -80°C for 12 months. Avoid repeated freeze-thaw cycles.
运输方式Shipping with blue ice.

计算器

  • 稀释 计算器
  • 配液 计算器

关键词

Related Tags: buy Anti-AHR Polyclonal Antibody 2 | purchase Anti-AHR Polyclonal Antibody 2 | Anti-AHR Polyclonal Antibody 2 cost | order Anti-AHR Polyclonal Antibody 2 | Anti-AHR Polyclonal Antibody 2 molecular weight