• TargetMol
    您的购物车当前为空

Anti-Aggrecan Polyclonal Antibody 2

一键复制产品信息
Rating icon 还可以
货号 TMAB-00077

别名 PGCA, MSK16, CSPG1, CSPCP, Chondroitin sulfate proteoglycan core protein 1, Chondroitin sulfate proteoglycan 1, Cartilage-specific proteoglycan core protein, Aggrecan core protein 2, Aggrecan core protein, AGC1, ACAN

Anti-Aggrecan Polyclonal Antibody 2 是一种 Rabbit 抗体,靶向 Aggrecan。Anti-Aggrecan Polyclonal Antibody 2 可用于 IF,IHC-Fr,IHC-P。

Anti-Aggrecan Polyclonal Antibody 2

Anti-Aggrecan Polyclonal Antibody 2

一键复制产品信息
Rating icon 还可以
货号 TMAB-00077 别名 PGCA, MSK16, CSPG1, CSPCP, Chondroitin sulfate proteoglycan core protein 1, Chondroitin sulfate proteoglycan 1, Cartilage-specific proteoglycan core protein, Aggrecan core protein 2, Aggrecan core protein, AGC1, ACAN

Anti-Aggrecan Polyclonal Antibody 2 是一种 Rabbit 抗体,靶向 Aggrecan。Anti-Aggrecan Polyclonal Antibody 2 可用于 IF,IHC-Fr,IHC-P。

规格价格库存数量
50 μL
¥ 1,170
5日内发货
100 μL
¥ 1,975
5日内发货
200 μL
¥ 2,795
5日内发货
库存状态实时更新,以官网显示为准,现货产品可直接加购物车下单
大包装 & 定制
加入购物车
TargetMol的所有产品仅用作科学研究或药证申报,不能被用于人体,我们不向个人提供产品和服务。请您遵守承诺用途,不得违反法律法规规定用于任何其他用途。
实验操作小课堂
常见问题解答
查看更多
资源下载:

产品介绍


生物活性
产品描述
Anti-Aggrecan Polyclonal Antibody 2 is a Rabbit antibody targeting Aggrecan. Anti-Aggrecan Polyclonal Antibody 2 can be used in IF,IHC-Fr,IHC-P.
别名PGCA, MSK16, CSPG1, CSPCP, Chondroitin sulfate proteoglycan core protein 1, Chondroitin sulfate proteoglycan 1, Cartilage-specific proteoglycan core protein, Aggrecan core protein 2, Aggrecan core protein, AGC1, ACAN
Ig Type
IgG
反应种属
Mouse,Rat (predicted:Human)
验证活性
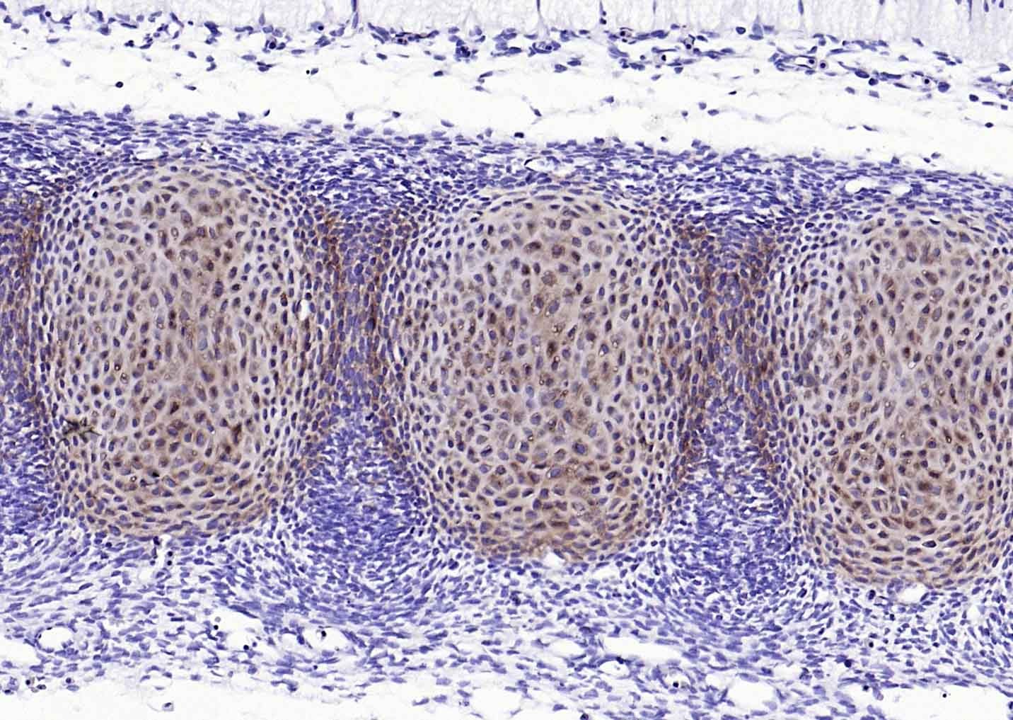
1. Tissue/cell: mouse embryo tissue; 4% Paraformaldehyde-fixed and paraffin-embedded;
Antigen retrieval: citrate buffer (0.01M, pH6.0), Boiling bathing for 15 min; Block endogenous peroxidase by 3% Hydrogen peroxide for 30 min; Blocking buffer (normal goat serum) at 37°C for 20 min;
Incubation: Anti-Aggrecan1 Polyclonal Antibody, Unconjugated (TMAB-00077) 1:200, overnight at 4°C, followed by conjugation to the secondary antibody and DAb staining.
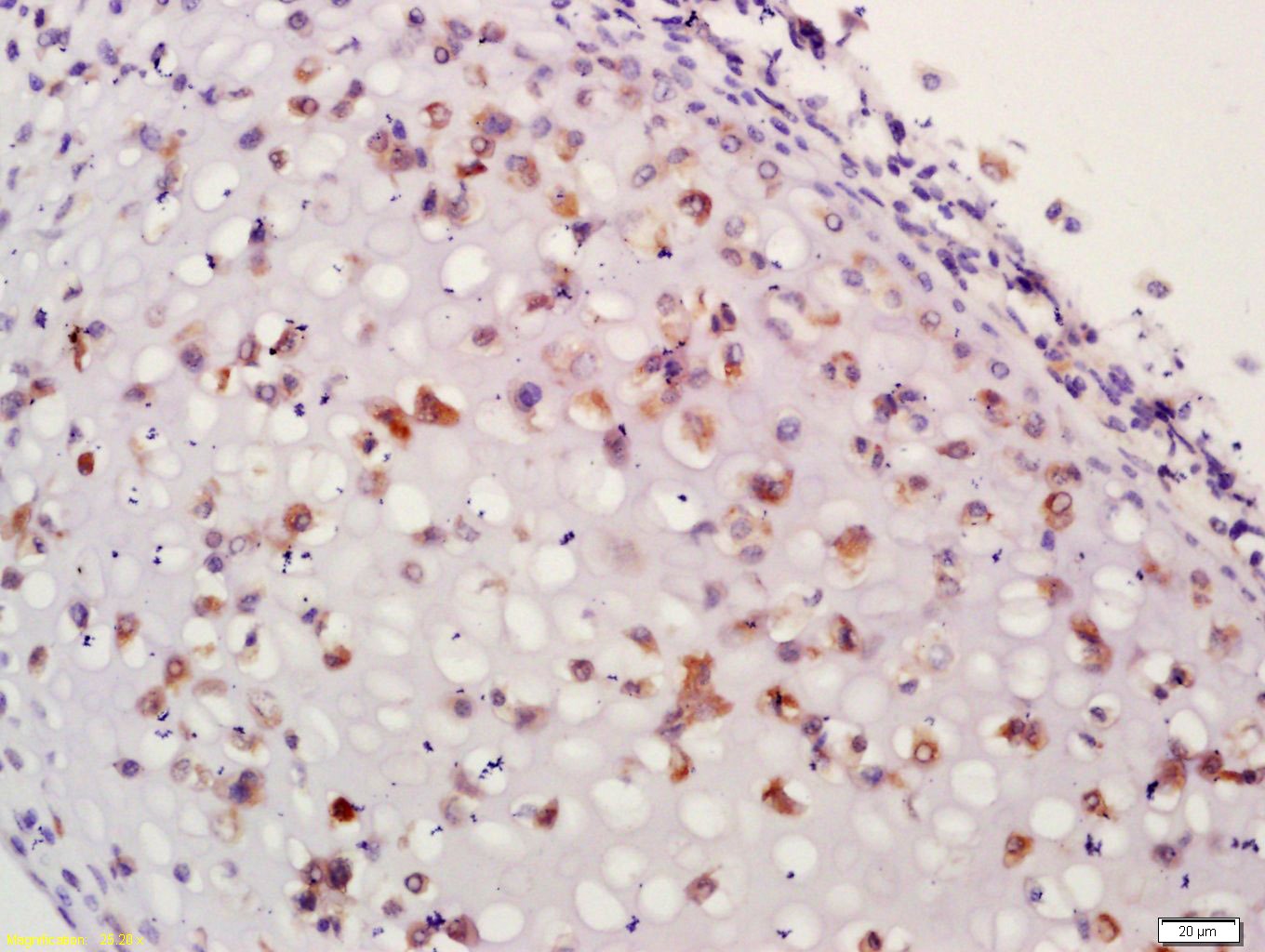
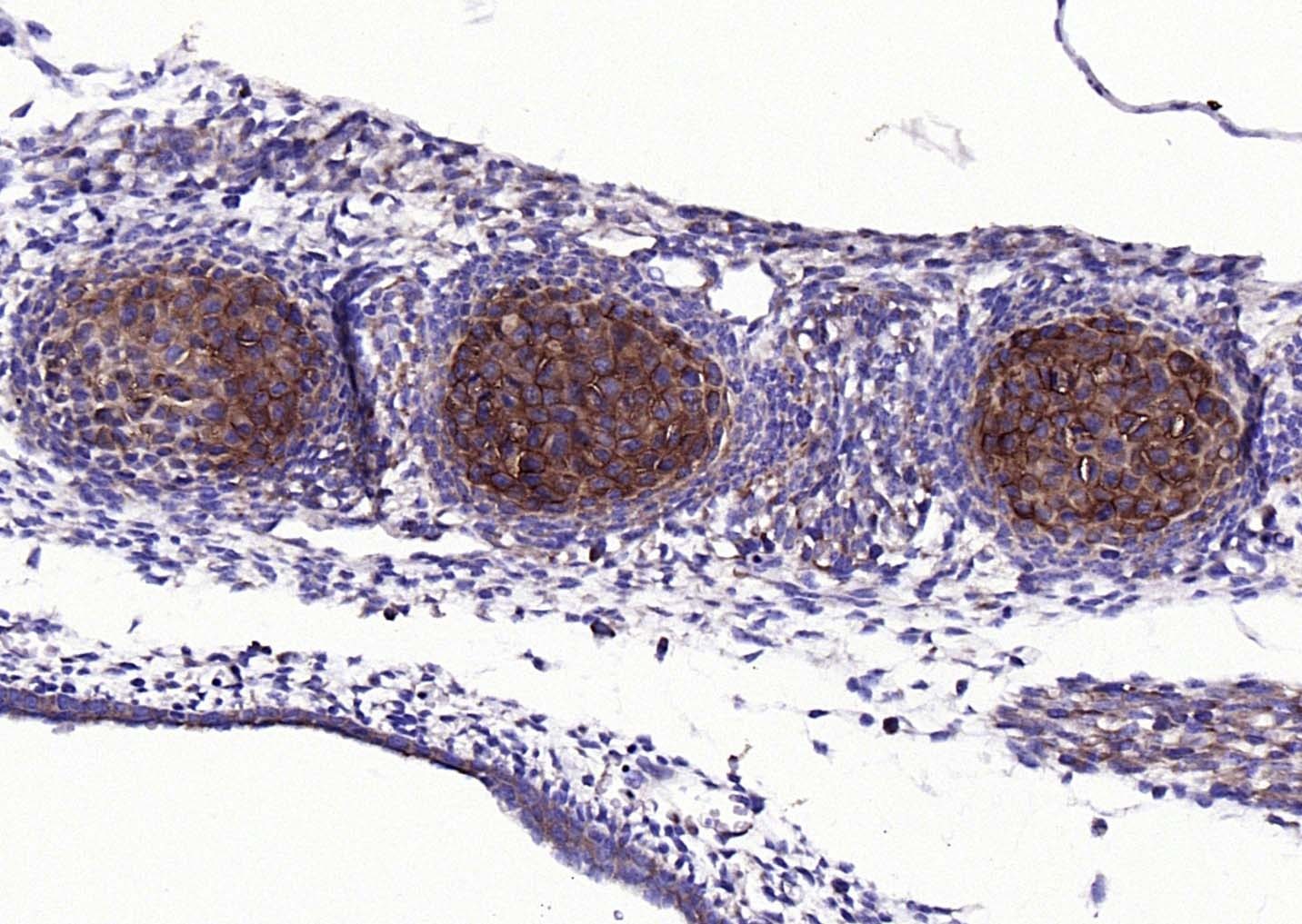
2. Paraformaldehyde-fixed, paraffin embedded Mouse Embryo; Antigen retrieval by boiling in sodium citrate buffer (pH6.0) for 15 min; Antibody incubation with ACAN Polyclonal Antibody, Unconjugated (TMAB-00077) at 1:200 overnight at 4°C, followed by conjugation to the SP Kit (Rabbit) and DAB staining.
3. Paraformaldehyde-fixed, paraffin embedded Rat Embryo; Antigen retrieval by boiling in sodium citrate buffer (pH6.0) for 15 min; Antibody incubation with ACAN Polyclonal Antibody, Unconjugated (TMAB-00077) at 1:200 overnight at 4°C, followed by conjugation to the SP Kit (Rabbit) and DAB staining.
verifiedActivityverifiedActivityverifiedActivity
应用IFIHC-FrIHC-P
推荐剂量
IHC-P: 1:100-500; IHC-Fr: 1:100-500; IF: 1:100-500
抗体种类
Polyclonal
宿主来源Rabbit
亚细胞定位Secreted, extracellular space, extracellular matrix.
组织特异性Restricted to cartilages.
构建方式Polyclonal Antibody
纯化方式Protein A purified
性状Liquid
缓冲液0.01M TBS (pH7.4) with 1% BSA, 0.02% Proclin300 and 50% Glycerol.
浓度1 mg/mL
研究背景Aggrecan is a member of a family of large, aggregating proteoglycans (also including versican, brevican and neurocan) which is found in articular cartilage. Aggrecan is composed of three major domains: G1, G2, and G3. Between the G1 and G2 domains there is an interglobulin region (IGD). The IGD region is the major site of cleavage by specific proteases like metalloproteinases (MMPs) and aggrecanase. Aggrecan cleavage has been associated with a number of degenerative diseases including rheumatoid arthritis and osteoarthritis. There is evidence that this family of proteoglycans modulates cell adhesion, migration, and axonal outgrowth in the CNS.
抗原信息
免疫原
KLH conjugated synthetic peptide: human ACAN
抗原种属
Human
基因名称
ACAN
基因ID
蛋白名称
Aggrecan core protein
Uniprot ID
研究领域
Aggrecan,Chondrogenesis
功能
Aggrecan has been detected in neural precursor cells (neurospheres; Kabos et al, 2004) During differentiation, neurospheres downregulate Chondroitin sulfate proteoglycans (CSPGs). Proliferating neural precursors synthesize lecticans, including aggrecan, which are downregulated with differentiation; suggesting a link between CSPGs and CNS precursor biology.
化学信息
分子量Theoretical: 208/248 kDa.
储存&溶解度
储存方式Store at -20°C or -80°C for 12 months. Avoid repeated freeze-thaw cycles.
运输方式Shipping with blue ice.
存储store at low temperature | store at -20°C

计算器

  • 稀释 计算器
Related Tags: buy Anti-Aggrecan Polyclonal Antibody 2 | purchase Anti-Aggrecan Polyclonal Antibody 2 | Anti-Aggrecan Polyclonal Antibody 2 cost | order Anti-Aggrecan Polyclonal Antibody 2 | Anti-Aggrecan Polyclonal Antibody 2 molecular weight