购物车
  • TargetMol
    您的购物车当前为空

Anti-ADRB3 Polyclonal Antibody

Synonyms: beta3-AR, BETA3AR, beta3-adrenergic receptor, beta 3AR, beta 3 adrenoreceptor, beta 3 adrenoceptor, beta 3 Adrenergic Receptor, B3AR, Adrenergic beta 3 receptor, ADRB3R, ADRB3, ADRB 3, ADR B3
货号 TMAB-00072 一键复制产品信息
Rating icon 还可以

Anti-ADRB3 Polyclonal Antibody 是一种 Rabbit 抗体,靶向 ADRB3。Anti-ADRB3 Polyclonal Antibody 可用于 IF,IHC-Fr,IHC-P,WB。

Anti-ADRB3 Polyclonal Antibody

一键复制产品信息
Rating icon 还可以
货号 TMAB-00072

别名 beta3-AR, BETA3AR, beta3-adrenergic receptor, beta 3AR, beta 3 adrenoreceptor, beta 3 adrenoceptor, beta 3 Adrenergic Receptor, B3AR, Adrenergic beta 3 receptor, ADRB3R, ADRB3, ADRB 3, ADR B3

Anti-ADRB3 Polyclonal Antibody 是一种 Rabbit 抗体,靶向 ADRB3。Anti-ADRB3 Polyclonal Antibody 可用于 IF,IHC-Fr,IHC-P,WB。

Anti-ADRB3 Polyclonal Antibody
规格价格库存数量
50 μL
¥ 1,170
5日内发货
100 μL
¥ 1,965
5日内发货
200 μL
¥ 2,790
5日内发货
库存状态实时更新,以官网显示为准,现货产品可直接加购物车下单
大包装 & 定制
加入购物车

TargetMol的所有产品仅用作科学研究或药证申报,不能被用于人体,我们不向个人提供产品和服务。请您遵守承诺用途,不得违反法律法规规定用于任何其他用途。

实验操作小课堂
常见问题解答
查看更多

资源下载:产品操作手册

产品介绍


生物活性
产品描述
Anti-ADRB3 Polyclonal Antibody is a Rabbit antibody targeting ADRB3. Anti-ADRB3 Polyclonal Antibody can be used in IF,IHC-Fr,IHC-P,WB.
别名
beta3-AR, BETA3AR, beta3-adrenergic receptor, beta 3AR, beta 3 adrenoreceptor, beta 3 adrenoceptor, beta 3 Adrenergic Receptor, B3AR, Adrenergic beta 3 receptor, ADRB3R, ADRB3, ADRB 3, ADR B3
Ig Type
IgG
反应种属
Human,Rat (predicted:Mouse,Dog,Pig,Sheep)
验证活性
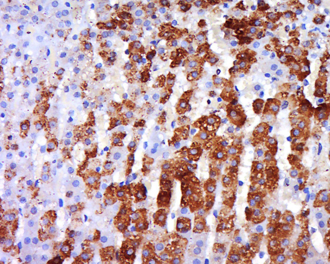
1. Tissue/cell: Rat adrenal gland; 4% Paraformaldehyde-fixed and paraffin-embedded;
Antigen retrieval: citrate buffer (0.01M, pH6.0), Boiling bathing for 15 min; Block endogenous peroxidase by 3% Hydrogen peroxide for 30 min; Blocking buffer (normal goat serum) at 37°C for 20 min;
Incubation: Anti-ADRB3 Polyclonal Antibody, Unconjugated (TMAB-00072) 1:500, overnight at 4°C, followed by conjugation to the secondary antibody and DAb staining.
2. Sample:
K562 (Human) Cell Lysate at 40 μg
Primary: Anti-beta 3 Adrenergic Receptor (TMAB-00072) at 1/300 dilution
Secondary: IRDye800CW Goat Anti-Rabbit IgG at 1/20000 dilution
Predicted band size: 44 kDa
Observed band size: 54 kDa
verifiedActivityverifiedActivity
应用IFIHC-FrIHC-PWB
推荐剂量
WB: 1:500-2000; IHC-P: 1:100-500; IHC-Fr: 1:100-500; IF: 1:100-500
抗体种类
Polyclonal
宿主来源Rabbit
亚细胞定位Cell membrane; Multi-pass membrane protein.
组织特异性Expressed mainly in adipose tissues.
构建方式Polyclonal Antibody
纯化方式Protein A purified
性状Liquid
缓冲液0.01M TBS (pH7.4) with 1% BSA, 0.02% Proclin300 and 50% Glycerol.
浓度1 mg/mL
研究背景beta 3 Adrenergic Receptor is located mainly in adipose tissue and is involved in the regulation of lipolysis and thermogenesis. Beta adrenergic receptors are involved in the epenephrine and norepinephrine-induced activation of adenylate cyclase through the action of G proteins. beta 3 Adrenergic Receptor expression has been documented in adipose tissues, heart, and in smooth muscle of digestive and urinary tract organs (bladder, colon, small intestine, stomach, ureter). Utilization of alternate promoters and/or 3-prime untranslated regions may result in tissue-specific regulation of the expression of this protein.
抗原信息
免疫原
KLH conjugated synthetic peptide: human ADRB3
抗原种属
Human
基因名称
ADRB3
基因ID
蛋白名称
beta-3 adrenergic receptor
Uniprot ID
功能
Beta-adrenergic receptors mediate the catecholamine-induced activation of adenylate cyclase through the action of G proteins. Beta-3 is involved in the regulation of lipolysis and thermogenesis.
化学信息
分子量Theoretical: 44 kDa. Actual: 54 kDa.
储存&溶解度
储存方式Store at -20°C or -80°C for 12 months. Avoid repeated freeze-thaw cycles.
运输方式Shipping with blue ice.

计算器

  • 稀释 计算器
  • 配液 计算器
Related Tags: buy Anti-ADRB3 Polyclonal Antibody | purchase Anti-ADRB3 Polyclonal Antibody | Anti-ADRB3 Polyclonal Antibody cost | order Anti-ADRB3 Polyclonal Antibody | Anti-ADRB3 Polyclonal Antibody molecular weight