购物车
  • TargetMol
    您的购物车当前为空

Anti-ACVR2B Polyclonal Antibody

Synonyms: HTX4, ActR-IIB, ACTRIIB, Activin RIIB, activin A receptor, type IIB
货号 TMAB-00052 一键复制产品信息
Rating icon 还可以

Anti-ACVR2B Polyclonal Antibody 是一种 Rabbit 抗体,靶向 ACVR2B。Anti-ACVR2B Polyclonal Antibody 可用于 IF, IHC-Fr, IHC-P, WB。

Anti-ACVR2B Polyclonal Antibody

一键复制产品信息
Rating icon 还可以
货号 TMAB-00052

别名 HTX4, ActR-IIB, ACTRIIB, Activin RIIB, activin A receptor, type IIB

Anti-ACVR2B Polyclonal Antibody 是一种 Rabbit 抗体,靶向 ACVR2B。Anti-ACVR2B Polyclonal Antibody 可用于 IF, IHC-Fr, IHC-P, WB。

Anti-ACVR2B Polyclonal Antibody
规格价格库存数量
50 μL
¥ 1,160
5日内发货
100 μL
¥ 1,965
5日内发货
200 μL
¥ 2,785
5日内发货
库存状态实时更新,以官网显示为准,现货产品可直接加购物车下单
大包装 & 定制
加入购物车

TargetMol的所有产品仅用作科学研究或药证申报,不能被用于人体,我们不向个人提供产品和服务。请您遵守承诺用途,不得违反法律法规规定用于任何其他用途。

实验操作小课堂
常见问题解答
查看更多

资源下载:产品操作手册

产品介绍


生物活性
产品描述
Anti-ACVR2B Polyclonal Antibody is a Rabbit antibody targeting ACVR2B. Anti-ACVR2B Polyclonal Antibody can be used in IF, IHC-Fr, IHC-P, WB.
别名
HTX4, ActR-IIB, ACTRIIB, Activin RIIB, activin A receptor, type IIB
Ig Type
IgG
反应种属
Human,Mouse (predicted:Rat,Dog,Pig,Cow,Sheep)
验证活性
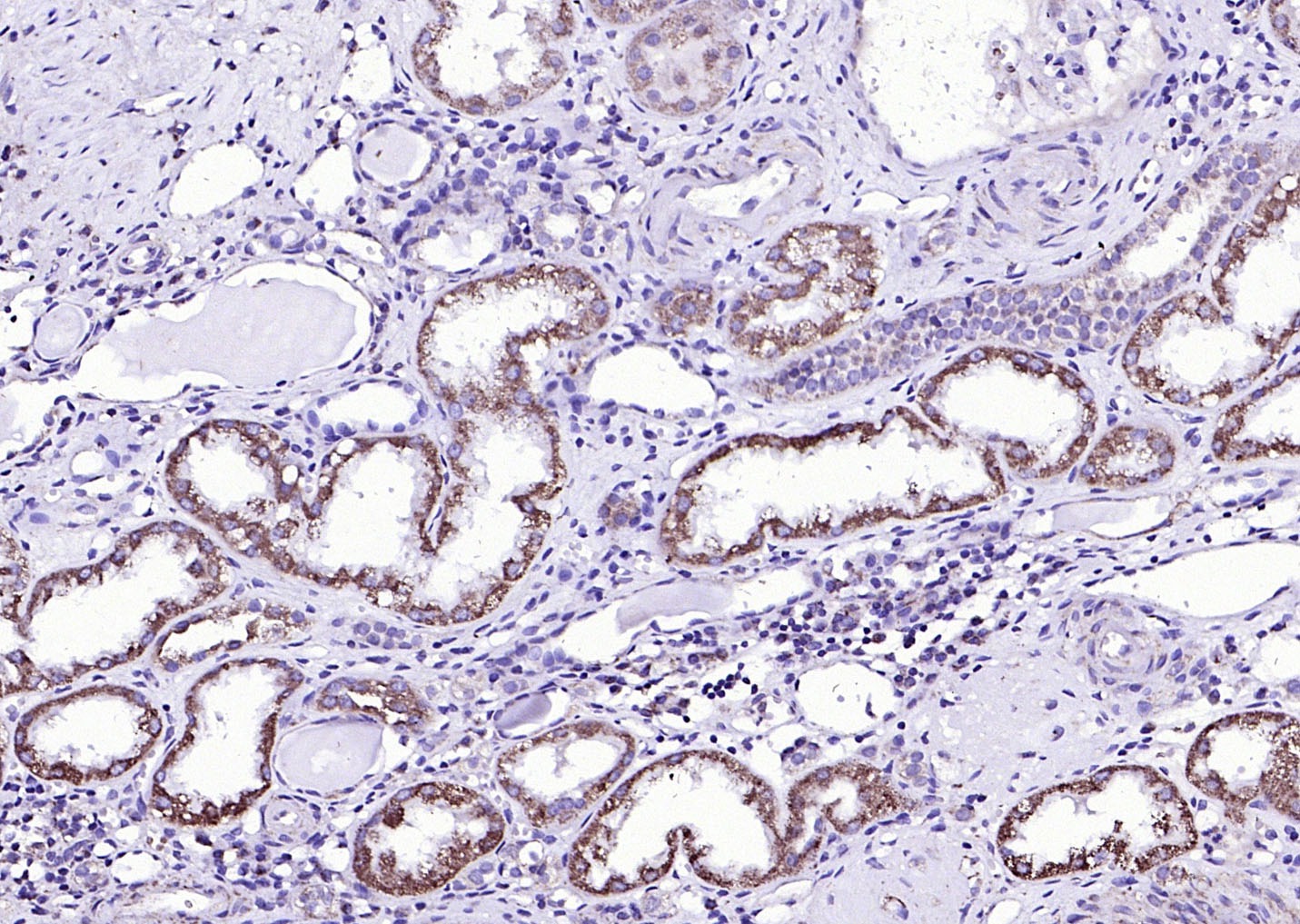
1. Paraformaldehyde-fixed, paraffin embedded (Human kidney); Antigen retrieval by boiling in sodium citrate buffer (pH6.0) for 15 min; Block endogenous peroxidase by 3% hydrogen peroxide for 20 min; Blocking buffer (normal goat serum) at 37°C for 30 min; Antibody incubation with (Activin Receptor Type IIB) Polyclonal Antibody, Unconjugated (TMAB-00052) at 1:200 overnight at 4°C, followed by operating according to SP Kit (Rabbit) instructionsand DAB staining.
2. Sample:
K562 (Human) Cell Lysate at 30 μg
293t (Human) Cell Lysate at 30 μg
Primary: Anti-Activin Receptor Type IIB (TMAB-00052) at 1/1000 dilution
Secondary: IRDye800CW Goat Anti-Rabbit IgG at 1/20000 dilution
Predicted band size: 56 kDa
Observed band size: 56 kDa
3. Sample:
Lane 1: Mouse Heart tissue lysates
Lane 2: Mouse Muscle tissue lysates
Lane 3: Mouse Testis tissue lysates
Lane 4: Mouse Kidney tissue lysates
Lane 5: Human K562 cell lysates
Lane 6: Human SH-SY5Y cell lysates
Lane 7: Human Jurkat cell lysates
Lane 8: Human MOLT4 cell lysates
Primary: Anti-Activin Receptor Type IIB (TMAB-00052) at 1/1000 dilution
Secondary: IRDye800CW Goat Anti-Rabbit IgG at 1/20000 dilution
Predicted band size: 56 kDa
Observed band size: 60 kDa
verifiedActivityverifiedActivityverifiedActivity
应用IFIHC-FrIHC-PWB
推荐剂量
WB: 1:500-2000; IHC-P: 1:100-500; IHC-Fr: 1:100-500; IF: 1:100-500
抗体种类
Polyclonal
宿主来源Rabbit
亚细胞定位Cell membrane; Single-pass type I membrane protein.
构建方式Polyclonal Antibody
纯化方式Protein A purified
性状Liquid
缓冲液0.01M TBS (pH7.4) with 1% BSA, 0.02% Proclin300 and 50% Glycerol.
浓度1 mg/mL
研究背景Activin receptor type-2B( Activin receptor type IIB; ACTR-IIB ) On ligand binding, forms a receptor complex consisting of two type II and two type I transmembrane serine/threonine kinases. Type II receptors phosphorylate and activate type I receptors which autophosphorylate, then bind and activate SMAD transcriptional regulators. Receptor for activin A, activin B and inhibin A. [Subcellular Location] Membrane; Single-pass type I membrane protein. Belongs to the protein kinase superfamily. TKL Ser/Thr protein kinase family. TGFB receptor subfamily.
抗原信息
免疫原
KLH conjugated synthetic peptide: human ACVR2B/ACTR-IIB
抗原种属
Human
基因名称
ACVR2B
基因ID
蛋白名称
Activin receptor type-2B
Uniprot ID
研究领域
Actin Binding Proteins,Other Kinases,Surface Molecules
功能
Transmembrane serine/threonine kinase activin type-2 receptor forming an activin receptor complex with activin type-1 serine/threonine kinase receptors (ACVR1, ACVR1B or ACVR1c). Transduces the activin signal from the cell surface to the cytoplasm and is thus regulating many physiological and pathological processes including neuronal differentiation and neuronal survival, hair follicle development and cycling, FSH production by the pituitary gland, wound healing, extracellular matrix production, immunosuppression and carcinogenesis. Activin is also thought to have a paracrine or autocrine role in follicular development in the ovary. Within the receptor complex, the type-2 receptors act as a primary activin receptors (binds activin-A/INHBA, activin-B/INHBB as well as inhibin-A/INHA-INHBA). The type-1 receptors like ACVR1B act as downstream transducers of activin signals. Activin binds to type-2 receptor at the plasma membrane and activates its serine-threonine kinase. The activated receptor type-2 then phosphorylates and activates the type-1 receptor. Once activated, the type-1 receptor binds and phosphorylates the SMAD proteins SMAD2 and SMAD3, on serine residues of the C-terminal tail. Soon after their association with the activin receptor and subsequent phosphorylation, SMAD2 and SMAD3 are released into the cytoplasm where they interact with the common partner SMAD4. This SMAD complex translocates into the nucleus where it mediates activin-induced transcription. Inhibitory SMAD7, which is recruited to ACVR1B through FKBP1A, can prevent the association of SMAD2 and SMAD3 with the activin receptor complex, thereby blocking the activin signal. Activin signal transduction is also antagonized by the binding to the receptor of inhibin-B via the IGSF1 inhibin coreceptor.
化学信息
分子量Theoretical: 56 kDa. Actual: 60 kDa.
储存&溶解度
储存方式Store at -20°C or -80°C for 12 months. Avoid repeated freeze-thaw cycles.
运输方式Shipping with blue ice.

计算器

  • 稀释 计算器
  • 配液 计算器

关键词

Related Tags: buy Anti-ACVR2B Polyclonal Antibody | purchase Anti-ACVR2B Polyclonal Antibody | Anti-ACVR2B Polyclonal Antibody cost | order Anti-ACVR2B Polyclonal Antibody | Anti-ACVR2B Polyclonal Antibody molecular weight