购物车
  • 全部删除
  • TargetMol
    您的购物车当前为空

Anti-Acetyl-NF-kB p65 (Lys314/315) Antibody (6Z8)

一键复制产品信息
Rating icon 还可以
产品编号 TMAC-00061
别名 NF-kB p65K314/315-acetylated, NF-kB p65K314/315ac, Ac-NF-kB p65K314/315, Ac-NF-kB p65 (Lys314/315), Ac-NF-kB p65 (K314/315), Acetyl-NF-kB p65 (K314/315)

Anti-Acetyl-NF-kB p65 (Lys314/315) Antibody (6Z8) 是一种 Mouse 抗体,靶向 Acetyl-NF-kB p65 (Lys314/315)。Anti-Acetyl-NF-kB p65 (Lys314/315) Antibody (6Z8) 可用于 IHC。

Anti-Acetyl-NF-kB p65 (Lys314/315) Antibody (6Z8)

Anti-Acetyl-NF-kB p65 (Lys314/315) Antibody (6Z8)

一键复制产品信息
Rating icon 还可以
产品编号 TMAC-00061 别名 NF-kB p65K314/315-acetylated, NF-kB p65K314/315ac, Ac-NF-kB p65K314/315, Ac-NF-kB p65 (Lys314/315), Ac-NF-kB p65 (K314/315), Acetyl-NF-kB p65 (K314/315)

Anti-Acetyl-NF-kB p65 (Lys314/315) Antibody (6Z8) 是一种 Mouse 抗体,靶向 Acetyl-NF-kB p65 (Lys314/315)。Anti-Acetyl-NF-kB p65 (Lys314/315) Antibody (6Z8) 可用于 IHC。

规格价格库存数量
50 μL
¥ 1,480
5日内发货
100 μL
¥ 2,230
5日内发货
大包装 & 定制
加入购物车
TargetMol 的所有产品仅用作科学研究或药证申报,不能被用于人体,我们不向个人提供产品和服务。请您遵守承诺用途,不得违反法律法规规定用于任何其他用途。
实验操作小课堂
常见问题解答
查看更多
联系我们获取更多批次信息
资源下载

产品介绍

生物活性
产品描述
Anti-Acetyl-NF-kB p65 (Lys314/315) Antibody (6Z8) is a Mouse antibody targeting Acetyl-NF-kB p65 (Lys314/315). Anti-Acetyl-NF-kB p65 (Lys314/315) Antibody (6Z8) can be used in IHC.
别名NF-kB p65K314/315-acetylated, NF-kB p65K314/315ac, Ac-NF-kB p65K314/315, Ac-NF-kB p65 (Lys314/315), Ac-NF-kB p65 (K314/315), Acetyl-NF-kB p65 (K314/315)
Ig Type
IgG1
克隆号
6Z8
交叉反应
Human,Mouse,Rat
验证活性
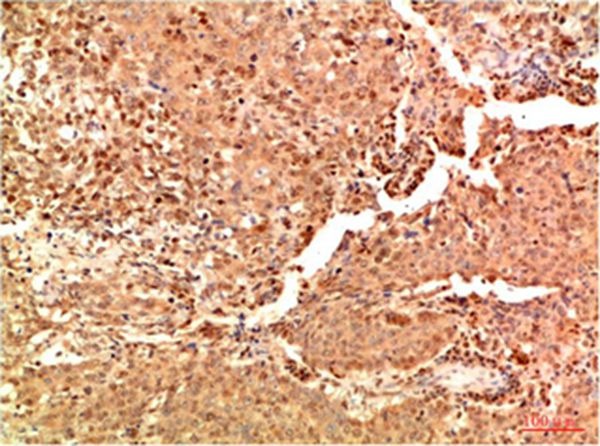
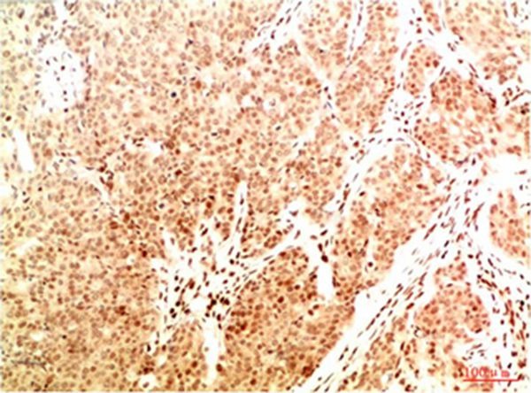
1. Immunohistochemical analysis of paraffin-embedded Human Breast Carcinoma Tissue using Acetyl NF kB P65(K314/K315) Mouse mAb diluted at 1:200.
2. Immunohistochemical analysis of paraffin-embedded Human Lung Carcinoma Tissue using Acetyl NF kB P65(K314/K315) Mouse mAb diluted at 1:200.
verifiedActivityverifiedActivity
应用IHC
推荐剂量
IHC: 1:50-200
抗体种类
Monoclonal
宿主来源Mouse
构建方式Hybridoma Monoclonal Antibody
性状Liquid
缓冲液Liquid in PBS containing 50% glycerol, 0.5% BSA and 0.02% sodium azide.
偶联与修饰
偶联
Unconjugated
其他可选修饰符
Methylated/Acetylated
抗原信息
免疫原
A synthesized acetylpeptide: NF kB P65 around the acetylation site of K314/K315
化学信息
分子量Theoretical: 65 kDa.
存储&运输
储存方式Store at -20°C or -80°C for 12 months. Avoid repeated freeze-thaw cycles.
运输方式Shipping with blue ice.

计算器

  • 稀释 计算器

关键词

评论列表

4个月前
5.0
Rating icon 很棒

评论内容

Related Tags: buy Anti-Acetyl-NF-kB p65 (Lys314/315) Antibody (6Z8) | purchase Anti-Acetyl-NF-kB p65 (Lys314/315) Antibody (6Z8) | Anti-Acetyl-NF-kB p65 (Lys314/315) Antibody (6Z8) cost | order Anti-Acetyl-NF-kB p65 (Lys314/315) Antibody (6Z8) | Anti-Acetyl-NF-kB p65 (Lys314/315) Antibody (6Z8) molecular weight