• TargetMol
    您的购物车当前为空

Anti-Acetyl-HIST1H3A (Lys18) Polyclonal Antibody

一键复制产品信息
Rating icon 还可以
产品编号 TMAC-01925

别名 Histone H3K18-acetylated, H3K18ac, Ac-HIST1H3A (Lys18), Ac-HIST1H3A (K18), Ac-H3K18, Acetyl-HIST1H3A (K18)

Anti-Acetyl-HIST1H3A (Lys18) Polyclonal Antibody 是一种 Rabbit 抗体,靶向 Acetyl-HIST1H3A (Lys18)。Anti-Acetyl-HIST1H3A (Lys18) Polyclonal Antibody 可用于 WB。

Anti-Acetyl-HIST1H3A (Lys18) Polyclonal Antibody

Anti-Acetyl-HIST1H3A (Lys18) Polyclonal Antibody

一键复制产品信息
Rating icon 还可以
产品编号 TMAC-01925 别名 Histone H3K18-acetylated, H3K18ac, Ac-HIST1H3A (Lys18), Ac-HIST1H3A (K18), Ac-H3K18, Acetyl-HIST1H3A (K18)

Anti-Acetyl-HIST1H3A (Lys18) Polyclonal Antibody 是一种 Rabbit 抗体,靶向 Acetyl-HIST1H3A (Lys18)。Anti-Acetyl-HIST1H3A (Lys18) Polyclonal Antibody 可用于 WB。

规格价格库存数量
50 μL
¥ 1,480
5日内发货
100 μL
¥ 2,235
5日内发货
大包装 & 定制
加入购物车
TargetMol 的所有产品仅用作科学研究或药证申报,不能被用于人体,我们不向个人提供产品和服务。请您遵守承诺用途,不得违反法律法规规定用于任何其他用途。
实验操作小课堂
常见问题解答
查看更多

Anti-Acetyl-HIST1H3A (Lys18) Polyclonal Antibody 相关产品


资源下载

产品介绍

生物活性
产品描述
Anti-Acetyl-HIST1H3A (Lys18) Polyclonal Antibody is a Rabbit antibody targeting Acetyl-HIST1H3A (Lys18). Anti-Acetyl-HIST1H3A (Lys18) Polyclonal Antibody can be used in WB.
别名Histone H3K18-acetylated, H3K18ac, Ac-HIST1H3A (Lys18), Ac-HIST1H3A (K18), Ac-H3K18, Acetyl-HIST1H3A (K18)
Ig Type
IgG
交叉反应
Human,Mouse,Rat
验证活性
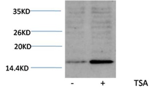
1. Western blot analysis of extracts from Hela cells, untreated (-) or treated with TSA (1μM, 18 hr; +), using TMAC-01925 diluted at 1:1,000.
verifiedActivity
应用WB
推荐剂量
WB: 1:200-500
抗体种类
Polyclonal
宿主来源Rabbit
构建方式Polyclonal Antibody
纯化方式Affinity purification using immunogen.
性状Liquid
缓冲液PBS, pH 7.4, containing 0.02% sodium azide as Preservative and 50% Glycerol.
研究背景Histone H3 is one of the five main histone proteins involved in the structure of chromatin in eukaryotic cells. Core component of nucleosome. Nucleosomes wrap and compact DNA into chromatin, limiting DNA accessibility to the cellular machineries which require DNA as a template. Histones thereby play a central role in transcription regulation, DNA repair, DNA replication and chromosomal stability.
偶联与修饰
偶联
Unconjugated
其他可选修饰符
Methylated/Acetylated
抗原信息
免疫原
A synthesized acetylpeptide: human Histone H3 around the acetylation site of Lys18
抗原种属
human
Uniprot ID
化学信息
分子量Actual: 17 kDa.
存储&运输
储存方式Store at -20°C or -80°C for 12 months. Avoid repeated freeze-thaw cycles.
运输方式Shipping with blue ice.

计算器

  • 稀释 计算器

关键词

评论列表

4个月前
5.0
Rating icon 很棒

评论内容

Related Tags: buy Anti-Acetyl-HIST1H3A (Lys18) Polyclonal Antibody | purchase Anti-Acetyl-HIST1H3A (Lys18) Polyclonal Antibody | Anti-Acetyl-HIST1H3A (Lys18) Polyclonal Antibody cost | order Anti-Acetyl-HIST1H3A (Lys18) Polyclonal Antibody | Anti-Acetyl-HIST1H3A (Lys18) Polyclonal Antibody molecular weight