购物车
  • TargetMol
    您的购物车当前为空

Anti-Acetyl-H2AFX (Lys5) Polyclonal Antibody

Synonyms: H2AFXK5-acetylated, H2AFXK5ac, Ac-H2AFXK5, Ac-H2AFX (Lys5), Ac-H2AFX (K5), Acetyl-H2AFX (K5)
货号 TMAC-01851 一键复制产品信息
Rating icon 还可以

Anti-Acetyl-H2AFX (Lys5) Polyclonal Antibody 是一种 Rabbit 抗体,靶向 Acetyl-H2AFX (Lys5)。Anti-Acetyl-H2AFX (Lys5) Polyclonal Antibody 可用于 WB。

Anti-Acetyl-H2AFX (Lys5) Polyclonal Antibody

一键复制产品信息
Rating icon 还可以
货号 TMAC-01851

别名 H2AFXK5-acetylated, H2AFXK5ac, Ac-H2AFXK5, Ac-H2AFX (Lys5), Ac-H2AFX (K5), Acetyl-H2AFX (K5)

Anti-Acetyl-H2AFX (Lys5) Polyclonal Antibody 是一种 Rabbit 抗体,靶向 Acetyl-H2AFX (Lys5)。Anti-Acetyl-H2AFX (Lys5) Polyclonal Antibody 可用于 WB。

Anti-Acetyl-H2AFX (Lys5) Polyclonal Antibody
规格价格库存数量
50 μL
¥ 1,495
5日内发货
100 μL
¥ 2,245
5日内发货
库存状态实时更新,以官网显示为准,现货产品可直接加购物车下单
大包装 & 定制
加入购物车

TargetMol的所有产品仅用作科学研究或药证申报,不能被用于人体,我们不向个人提供产品和服务。请您遵守承诺用途,不得违反法律法规规定用于任何其他用途。

实验操作小课堂
常见问题解答
查看更多

资源下载:产品操作手册

产品介绍


生物活性
产品描述
Anti-Acetyl-H2AFX (Lys5) Polyclonal Antibody is a Rabbit antibody targeting Acetyl-H2AFX (Lys5). Anti-Acetyl-H2AFX (Lys5) Polyclonal Antibody can be used in WB.
别名
H2AFXK5-acetylated, H2AFXK5ac, Ac-H2AFXK5, Ac-H2AFX (Lys5), Ac-H2AFX (K5), Acetyl-H2AFX (K5)
Ig Type
IgG
反应种属
Human,Mouse,Rat
验证活性
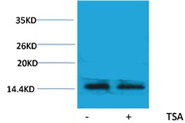
1. Western blot analysis of extracts from Hela cells, untreated (-) or treated with TSA (1μM, 18 hr; +), using TMAC-01851 diluted at 1:2,000.
verifiedActivity
应用WB
推荐剂量
WB: 1:1000-2000
抗体种类
Polyclonal
宿主来源Rabbit
构建方式Polyclonal Antibody
纯化方式Affinity purification using immunogen.
性状Liquid
缓冲液Rabbit Antiserum, containing 0.02% sodium azide as Preservative and 50% Glycerol.
研究背景Histone H2A which replaces conventional H2A in a subset of nucleosomes. Nucleosomes wrap and compact DNA into chromatin, limiting DNA accessibility to the cellular machineries which require DNA as a template.
偶联与修饰
偶联
Unconjugated
其他可选修饰符
Methylated/Acetylated
抗原信息
免疫原
A synthesized acetylpeptide: human histone H2A.X around the acetylation site of Lys5
抗原种属
human
Uniprot ID
化学信息
分子量Actual: 15 kDa.
储存&溶解度
储存方式Store at -20°C or -80°C for 12 months. Avoid repeated freeze-thaw cycles.
运输方式Shipping with blue ice.

计算器

  • 稀释 计算器
  • 配液 计算器
Related Tags: buy Anti-Acetyl-H2AFX (Lys5) Polyclonal Antibody | purchase Anti-Acetyl-H2AFX (Lys5) Polyclonal Antibody | Anti-Acetyl-H2AFX (Lys5) Polyclonal Antibody cost | order Anti-Acetyl-H2AFX (Lys5) Polyclonal Antibody | Anti-Acetyl-H2AFX (Lys5) Polyclonal Antibody molecular weight