购物车
  • 全部删除
  • TargetMol
    您的购物车当前为空

Anti-MAPK3 Antibody (7L727)

Rating icon 还可以
产品编号 TMAC-01365

Anti-MAPK3 Antibody (7L727) 是一种 Rabbit 抗体,靶向 MAPK3。Anti-MAPK3 Antibody (7L727) 可用于 ICC/IF,IHC,WB。

Anti-MAPK3 Antibody (7L727)

Anti-MAPK3 Antibody (7L727)

一键复制产品信息
Rating icon 还可以
产品编号 TMAC-01365

Anti-MAPK3 Antibody (7L727) 是一种 Rabbit 抗体,靶向 MAPK3。Anti-MAPK3 Antibody (7L727) 可用于 ICC/IF,IHC,WB。

规格价格库存数量
50 μL
¥ 1,495
5日内发货
100 μL
¥ 2,495
5日内发货
大包装 & 定制
加入购物车
TargetMol 的所有产品仅用作科学研究或药证申报,不能被用于人体,我们不向个人提供产品和服务。请您遵守承诺用途,不得违反法律法规规定用于任何其他用途。
实验操作小课堂
常见问题解答
查看更多
联系我们获取更多批次信息
资源下载

产品介绍

生物活性
产品描述
Anti-MAPK3 Antibody (7L727) is a Rabbit antibody targeting MAPK3. Anti-MAPK3 Antibody (7L727) can be used in ICC/IF,IHC,WB.
Ig Type
IgG
克隆号
7L727
交叉反应
Human,Mouse,Rat
验证活性
1. Western blot analysis of ERK1 on different lysates using anti-ERK1 antibody at 1/1,000 dilution. Positive control: Lane 1: Hela, Lane 2: Jurkat, Lane 3: K562.
2. Immunohistochemical analysis of paraffin-embedded mouse stomach tissue using anti-ERK1 antibody. Counter stained with hematoxylin.
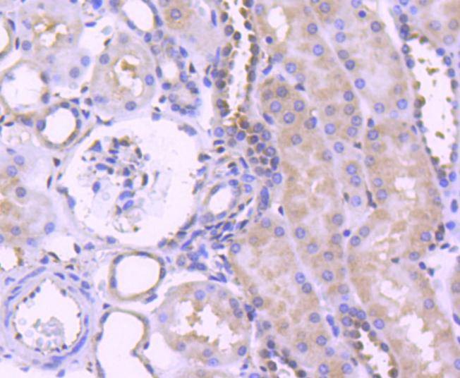
3. Immunohistochemical analysis of paraffin-embedded human kidney tissue using anti-ERK1 antibody. Counter stained with hematoxylin.
4. ICC staining ERK1 in Hela cells (green). The nuclear counter stain is DAPI (blue). Cells were fixed in paraformaldehyde, permeabilised with 0.25% Triton X100/PBS.
5. ICC staining ERK1 in A431 cells (green). The nuclear counter stain is DAPI (blue). Cells were fixed in paraformaldehyde, permeabilised with 0.25% Triton X100/PBS.
6. ICC staining ERK1 in NIH/3T3 cells (green). The nuclear counter stain is DAPI (blue). Cells were fixed in paraformaldehyde, permeabilised with 0.25% Triton X100/PBS.
verifiedActivityverifiedActivityverifiedActivityverifiedActivityverifiedActivityverifiedActivity
应用ICC/IFIHCWB
推荐剂量
WB: 1:1000-2000; IHC: 1:50-200; ICC/IF: 1:50-200
抗体种类
Monoclonal
宿主来源Rabbit
构建方式Recombinant Antibody
纯化方式ProA affinity purified
性状Liquid
缓冲液1*TBS (pH7.4), 1%BSA, 40%Glycerol. Preservative: 0.05% Sodium Azide.
研究背景ERK 1 antibody ERK antibody ERK-1 antibody ERK1 antibody ERT 2 antibody ERT2 antibody Extracellular Signal Regulated Kinase 1 antibody Extracellular signal related kinase 1 antibody Extracellular signal-regulated kinase 1 antibody HGNC6877 antibody HS44KDAP antibody HUMKER1A antibody Insulin Stimulated MAP2 Kinase antibody Insulin-stimulated MAP2 kinase antibody MAP kinase 1 antibody MAP kinase 3 antibody MAP Kinase antibody MAP kinase isoform p44 antibody MAPK 1 antibody MAPK 3 antibody MAPK antibody MAPK1 antibody Mapk3 antibody MGC20180 antibody Microtubule Associated Protein 2 Kinase antibody Microtubule-associated protein 2 kinase antibody Mitogen Activated Protein Kinase 3 antibody Mitogen-activated protein kinase 1 antibody Mitogen-activated protein kinase 3 antibody MK03_HUMAN antibody OTTHUMP00000174538 antibody OTTHUMP00000174541 antibody p44 ERK1 antibody p44 MAPK antibody p44-ERK1 antibody p44-MAPK antibody P44ERK1 antibody P44MAPK antibody PRKM 3 antibody PRKM3 antibody Protein Kinase Mitogen Activated 3 antibody
偶联与修饰
偶联
Unconjugated
抗原信息
免疫原
Recombinant Protein
Uniprot ID
化学信息
分子量Theoretical: 43 kDa.
存储&运输
储存方式Store at -20°C or -80°C for 12 months. Avoid repeated freeze-thaw cycles.
运输方式Shipping with blue ice.

计算器

  • 稀释 计算器

关键词

评论列表

4个月前
5.0
Rating icon 很棒

评论内容

Related Tags: buy Anti-MAPK3 Antibody (7L727) | purchase Anti-MAPK3 Antibody (7L727) | Anti-MAPK3 Antibody (7L727) cost | order Anti-MAPK3 Antibody (7L727) | Anti-MAPK3 Antibody (7L727) molecular weight