购物车
  • 全部删除
  • TargetMol
    您的购物车当前为空

Anti-MAPK3 Antibody (1K596)

Rating icon 还可以
产品编号 TMAC-01366

Anti-MAPK3 Antibody (1K596) 是一种 Rabbit 抗体,靶向 MAPK3。Anti-MAPK3 Antibody (1K596) 可用于 FCM,ICC/IF,IHC,IP,WB。

Anti-MAPK3 Antibody (1K596)

Anti-MAPK3 Antibody (1K596)

一键复制产品信息
Rating icon 还可以
产品编号 TMAC-01366

Anti-MAPK3 Antibody (1K596) 是一种 Rabbit 抗体,靶向 MAPK3。Anti-MAPK3 Antibody (1K596) 可用于 FCM,ICC/IF,IHC,IP,WB。

规格价格库存数量
50 μL
¥ 1,490
5日内发货
100 μL
¥ 2,490
5日内发货
大包装 & 定制
加入购物车
TargetMol 的所有产品仅用作科学研究或药证申报,不能被用于人体,我们不向个人提供产品和服务。请您遵守承诺用途,不得违反法律法规规定用于任何其他用途。
实验操作小课堂
常见问题解答
查看更多
联系我们获取更多批次信息
资源下载

产品介绍

生物活性
产品描述
Anti-MAPK3 Antibody (1K596) is a Rabbit antibody targeting MAPK3. Anti-MAPK3 Antibody (1K596) can be used in FCM,ICC/IF,IHC,IP,WB.
Ig Type
IgG
克隆号
1K596
交叉反应
Human,Mouse
验证活性
1. Western blot analysis of ERK1 on different lysates using anti-ERK1 antibody at 1/1,000 dilution. Positive control: Lane 1: Hela, Lane 2: Jurkat, Lane 3: K562.
2. Immunohistochemical analysis of paraffin-embedded human breast tissue using anti-ERK1 antibody. Counter stained with hematoxylin.
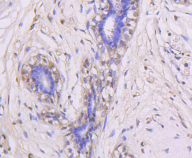
3. Immunohistochemical analysis of paraffin-embedded mouse stomach tissue using anti-ERK1 antibody. Counter stained with hematoxylin.
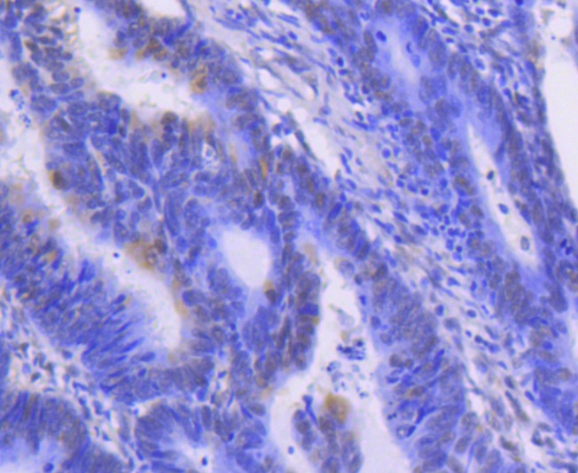
4. Immunohistochemical analysis of paraffin-embedded human colon cancer tissue using anti-ERK1 antibody. Counter stained with hematoxylin.
5. ICC staining ERK1 in Hela cells (green). The nuclear counter stain is DAPI (blue). Cells were fixed in paraformaldehyde, permeabilised with 0.25% Triton X100/PBS.
6. ICC staining ERK1 in MCF-7 cells (green). The nuclear counter stain is DAPI (blue). Cells were fixed in paraformaldehyde, permeabilised with 0.25% Triton X100/PBS.
7. ICC staining ERK1 in NIH/3T3 cells (green). The nuclear counter stain is DAPI (blue). Cells were fixed in paraformaldehyde, permeabilised with 0.25% Triton X100/PBS.
8. Flow cytometric analysis of Jurkat cells with ERK1 antibody at 1/50 dilution (red) compared with an unlabelled control (cells without incubation with primary antibody; black). Alexa Fluor 488-conjugated goat anti rabbit IgG was used as the secondary antibody.
verifiedActivityverifiedActivityverifiedActivityverifiedActivityverifiedActivityverifiedActivityverifiedActivityverifiedActivity
应用FCMICC/IFIHCIPWB
推荐剂量
WB: 1:1000-5000; IHC: 1:50-200; ICC/IF: 1:100-500; FCM: 1:50-100
抗体种类
Monoclonal
宿主来源Rabbit
构建方式Recombinant Antibody
纯化方式ProA affinity purified
性状Liquid
缓冲液1*TBS (pH7.4), 1%BSA, 40%Glycerol. Preservative: 0.05% Sodium Azide.
研究背景Mitogen-activated protein kinase (MAPK) signaling pathways involve two closely related MAP kinases, known as extracellular-signal-related kinase 1 (ERK 1, p44) and 2 (ERK 2, p42). Growth factors, steroid hormones, G protein-coupled receptor ligands and neurotransmitters can initiate MAPK signaling pathways. Activation of ERK 1 and ERK 2 requires phosphorylation by upstream kinases such as MAP kinasekinase (MEK), MEK kinase and Raf-1. ERK 1 and ERK 2 phosphorylation can occur at specific tyrosine and threonine sites mapping within consensus motifs that include the threonine-glutamate-tyrosine motif. ERK activation leads to dimerization with other ERKs and subsequent localization to the nucleus. Active ERK dimers phosphorylate serine and threonine residues on nuclear proteins and influence a host of responses that include proliferation, differentiation, transcription regulation and development. The human ERK 1 gene maps to chromosome 16p12-p11.2 and encodes a 379 amino acid protein that shares 83% sequence identity to ERK 2.
偶联与修饰
偶联
Unconjugated
抗原信息
免疫原
Recombinant Protein
Uniprot ID
化学信息
分子量Theoretical: 43 kDa.
存储&运输
储存方式Store at -20°C or -80°C for 12 months. Avoid repeated freeze-thaw cycles.
运输方式Shipping with blue ice.

计算器

  • 稀释 计算器

关键词

评论列表

4个月前
5.0
Rating icon 很棒

评论内容

Related Tags: buy Anti-MAPK3 Antibody (1K596) | purchase Anti-MAPK3 Antibody (1K596) | Anti-MAPK3 Antibody (1K596) cost | order Anti-MAPK3 Antibody (1K596) | Anti-MAPK3 Antibody (1K596) molecular weight