购物车
  • 全部删除
  • TargetMol
    您的购物车当前为空

Anti-MAPK3/1 Antibody (7H964)

Rating icon 还可以
产品编号 TMAC-01370

Anti-MAPK3/1 Antibody (7H964) 是一种 Mouse 抗体,靶向 MAPK3/1。Anti-MAPK3/1 Antibody (7H964) 可用于 IHC,WB。

Anti-MAPK3/1 Antibody (7H964)

Anti-MAPK3/1 Antibody (7H964)

一键复制产品信息
Rating icon 还可以
产品编号 TMAC-01370

Anti-MAPK3/1 Antibody (7H964) 是一种 Mouse 抗体,靶向 MAPK3/1。Anti-MAPK3/1 Antibody (7H964) 可用于 IHC,WB。

规格价格库存数量
50 μL
¥ 1,345
5日内发货
100 μL
¥ 2,190
5日内发货
大包装 & 定制
加入购物车
TargetMol 的所有产品仅用作科学研究或药证申报,不能被用于人体,我们不向个人提供产品和服务。请您遵守承诺用途,不得违反法律法规规定用于任何其他用途。
实验操作小课堂
常见问题解答
查看更多
联系我们获取更多批次信息
资源下载

产品介绍

生物活性
产品描述
Anti-MAPK3/1 Antibody (7H964) is a Mouse antibody targeting MAPK3/1. Anti-MAPK3/1 Antibody (7H964) can be used in IHC,WB.
Ig Type
IgG1
克隆号
7H964
交叉反应
Human,Mouse,Rat
验证活性
1. Western blot analysis of 1) Hela Cell Lysate, 2)Mouse Brain Tissue Lysate, 3) Rat Brain Tissue Lysate using ERK1/2 Mouse mAb diluted at 1:2000.
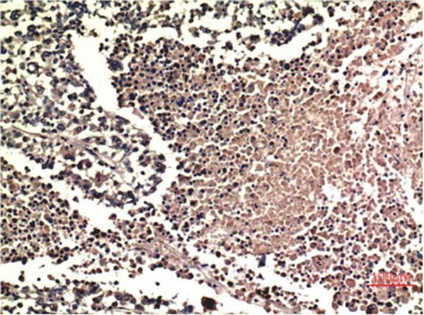
2. Immunohistochemical analysis of paraffin-embedded Human Lung Carcinoma Tissue using ERK1/2 Mouse mAb diluted at 1:200.
3. Immunohistochemical analysis of paraffin-embedded Human Colon Carcinoma Tissue using ERK1/2 Mouse mAb diluted at 1:200.
verifiedActivityverifiedActivityverifiedActivity
应用IHCWB
推荐剂量
WB: 1:1000-2000; IHC: 1:100-200
抗体种类
Monoclonal
宿主来源Mouse
构建方式Hybridoma Monoclonal Antibody
性状Liquid
缓冲液Liquid in PBS containing 50% glycerol, 0.5% BSA and 0.02% sodium azide.
偶联与修饰
偶联
Unconjugated
抗原信息
免疫原
Recombinant Protein
Uniprot ID
化学信息
分子量Theoretical: 44, 42 kDa.
存储&运输
储存方式Store at -20°C or -80°C for 12 months. Avoid repeated freeze-thaw cycles.
运输方式Shipping with blue ice.

计算器

  • 稀释 计算器

关键词

评论列表

4个月前
5.0
Rating icon 很棒

评论内容

Related Tags: buy Anti-MAPK3/1 Antibody (7H964) | purchase Anti-MAPK3/1 Antibody (7H964) | Anti-MAPK3/1 Antibody (7H964) cost | order Anti-MAPK3/1 Antibody (7H964) | Anti-MAPK3/1 Antibody (7H964) molecular weight