• TargetMol
    您的购物车当前为空

Anti-Src Antibody (1R481)

一键复制产品信息
Rating icon 还可以
产品编号 TMAC-03845

Anti-Src Antibody (1R481) 是一种 Rabbit 抗体,靶向 Src。Anti-Src Antibody (1R481) 可用于 ICC/IF,IHC,WB。

Anti-Src Antibody (1R481)

Anti-Src Antibody (1R481)

一键复制产品信息
Rating icon 还可以
产品编号 TMAC-03845

Anti-Src Antibody (1R481) 是一种 Rabbit 抗体,靶向 Src。Anti-Src Antibody (1R481) 可用于 ICC/IF,IHC,WB。

规格价格库存数量
50 μL
¥ 1,490
5日内发货
100 μL
¥ 2,485
5日内发货
大包装 & 定制
加入购物车
TargetMol 的所有产品仅用作科学研究或药证申报,不能被用于人体,我们不向个人提供产品和服务。请您遵守承诺用途,不得违反法律法规规定用于任何其他用途。
实验操作小课堂
常见问题解答
查看更多
联系我们获取更多批次信息
资源下载

产品介绍

生物活性
产品描述
Anti-Src Antibody (1R481) is a Rabbit antibody targeting Src. Anti-Src Antibody (1R481) can be used in ICC/IF,IHC,WB.
Ig Type
IgG
克隆号
1R481
交叉反应
Human,Rat
验证活性
1. Western blot analysis of Src on A431 cell lysates using anti-Src antibody at 1/1,000 dilution.
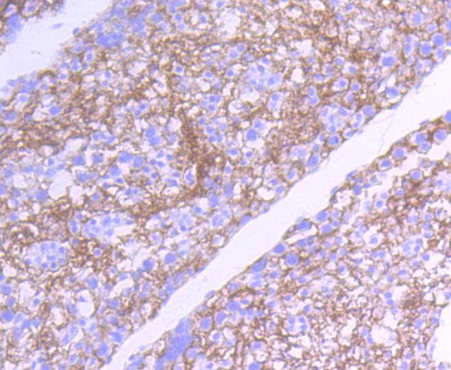
2. Immunohistochemical analysis of paraffin-embedded rat testis tissue using anti-Src antibody. Counter stained with hematoxylin.
3. ICC staining Src in Hela cells (green). The nuclear counter stain is DAPI (blue). Cells were fixed in paraformaldehyde, permeabilised with 0.25% Triton X100/PBS.
verifiedActivityverifiedActivityverifiedActivity
应用ICC/IFIHCWB
推荐剂量
WB: 1:1000; IHC: 1:50-200; ICC/IF: 1:50-200
抗体种类
Monoclonal
宿主来源Rabbit
构建方式Recombinant Antibody
纯化方式ProA affinity purified
性状Liquid
缓冲液1*TBS (pH7.4), 1%BSA, 40%Glycerol. Preservative: 0.05% Sodium Azide.
研究背景The major translational products of the Src gene family are membrane-associated tyrosine protein kinases that lack transmembrane and external amino acid sequences. By virtue of their common structural motifs, the Src family is composed of nine members in vertebrates, including c-Src, c-Yes, Fgr, Yrk, Fyn, Lyn, Hck, Lck and Blk. Src family kinases, which contain an amino-terminal cell membrane anchor followed by SH3 and SH2 domains, transduce signals that are involved in the control of a variety of cellular processes, including proliferation, differentiation, motility and adhesion. Src family members are normally maintained in an inactive state and can be activated transiently during cellular events such as mitosis. Different subcellular locations of Src family kinases may be important for the regulation of specific cellular processes, such as mitogenesis, cytoskeletal organization and membrane trafficking. c-Src (also designated pp60Src, Src p60 and proto-oncogene tyrosine protein kinase Src) is expressed in a broad range of tissue and cell types, although the highest levels of c-Src are detected in neuronal tissues and platelets. c-Src may play a role in events associated with both neuronal differentiation and maintenance of mature neuronal cell functions.
偶联与修饰
偶联
Unconjugated
抗原信息
免疫原
Recombinant Protein
Uniprot ID
化学信息
分子量Theoretical: 60 kDa.
存储&运输
储存方式Store at -20°C or -80°C for 12 months. Avoid repeated freeze-thaw cycles.
运输方式Shipping with blue ice.

计算器

  • 稀释 计算器

关键词

评论列表

4个月前
5.0
Rating icon 很棒

评论内容

Related Tags: buy Anti-Src Antibody (1R481) | purchase Anti-Src Antibody (1R481) | Anti-Src Antibody (1R481) cost | order Anti-Src Antibody (1R481) | Anti-Src Antibody (1R481) molecular weight