• TargetMol
    您的购物车当前为空

Anti-p53 Antibody (4S402)

一键复制产品信息
Rating icon 还可以
产品编号 TMAC-02991

Anti-p53 Antibody (4S402) 是一种 Rabbit 抗体,靶向 p53。Anti-p53 Antibody (4S402) 可用于 ICC/IF,IHC,IP,WB。

Anti-p53 Antibody (4S402)

Anti-p53 Antibody (4S402)

一键复制产品信息
Rating icon 还可以
产品编号 TMAC-02991

Anti-p53 Antibody (4S402) 是一种 Rabbit 抗体,靶向 p53。Anti-p53 Antibody (4S402) 可用于 ICC/IF,IHC,IP,WB。

规格价格库存数量
50 μL
¥ 1,480
5日内发货
100 μL
¥ 2,490
5日内发货
大包装 & 定制
加入购物车
TargetMol 的所有产品仅用作科学研究或药证申报,不能被用于人体,我们不向个人提供产品和服务。请您遵守承诺用途,不得违反法律法规规定用于任何其他用途。
实验操作小课堂
常见问题解答
查看更多
联系我们获取更多批次信息
资源下载

产品介绍

生物活性
产品描述
Anti-p53 Antibody (4S402) is a Rabbit antibody targeting p53. Anti-p53 Antibody (4S402) can be used in ICC/IF,IHC,IP,WB.
Ig Type
IgG
克隆号
4S402
交叉反应
Human
验证活性
1. Western blot analysis of p53 on 293 cells lysates using anti-p53 antibody at 1/1,000 dilution.
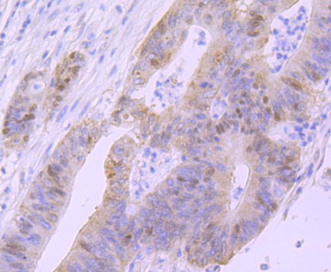
2. Immunohistochemical analysis of paraffin-embedded human colon cancer tissue using anti-p53 antibody. Counter stained with hematoxylin.
3. ICC staining p53 in Hela cells (red). The nuclear counter stain is DAPI (blue). Cells were fixed in paraformaldehyde, permeabilised with 0.25% Triton X100/PBS.
4. ICC staining p53 in MCF-7 cells (red). The nuclear counter stain is DAPI (blue). Cells were fixed in paraformaldehyde, permeabilised with 0.25% Triton X100/PBS.
5. ICC staining p53 in HepG2 cells (red). The nuclear counter stain is DAPI (blue). Cells were fixed in paraformaldehyde, permeabilised with 0.25% Triton X100/PBS.
verifiedActivityverifiedActivityverifiedActivityverifiedActivityverifiedActivity
应用ICC/IFIHCIPWB
推荐剂量
WB: 1:1000-2000; IHC: 1:50-200; ICC/IF: 1:50-200
抗体种类
Monoclonal
宿主来源Rabbit
构建方式Recombinant Antibody
纯化方式ProA affinity purified
性状Liquid
缓冲液1*TBS (pH7.4), 1%BSA, 40%Glycerol. Preservative: 0.05% Sodium Azide.
研究背景p53, a DNA-binding, oligomerization domain- and transcription activation domain containing tumor suppressor, upregulates growth arrest and apoptosis-related genes in response to stress signals, thereby influencing programmed cell death, cell differentiation, and cell cycle control mechanisms. p53 localizes to the nucleus, yet can be chaperoned to the cytoplasm by the negative regulator, MDM2. MDM2 is an E3 ubiquitin ligase that is upregulated in the presence of active p53, where it poly-ubiquitinates p53 for proteasome targeting. p53 fluctuates between latent and active DNA-binding conformations and is differentially activated through posttranslational modifications, including phosphorylation and acetylation. Mutations in the DNA-binding domain (DBD) of p53, amino acids 110-286, can compromise energetically-favorable association with cis elements and are implicated in several human cancers.
偶联与修饰
偶联
Unconjugated
抗原信息
免疫原
Recombinant Protein
Uniprot ID
化学信息
分子量Theoretical: 53 kDa.
存储&运输
储存方式Store at -20°C or -80°C for 12 months. Avoid repeated freeze-thaw cycles.
运输方式Shipping with blue ice.

计算器

  • 稀释 计算器

关键词

评论列表

4个月前
5.0
Rating icon 很棒

评论内容

Related Tags: buy Anti-p53 Antibody (4S402) | purchase Anti-p53 Antibody (4S402) | Anti-p53 Antibody (4S402) cost | order Anti-p53 Antibody (4S402) | Anti-p53 Antibody (4S402) molecular weight