购物车
  • 全部删除
  • TargetMol
    您的购物车当前为空

Anti-MLKL Antibody (3Z198)

一键复制产品信息
Rating icon 还可以
产品编号 TMAC-02613

Anti-MLKL Antibody (3Z198) 是一种 Rabbit 抗体,靶向 MLKL。Anti-MLKL Antibody (3Z198) 可用于 IHC,WB。

Anti-MLKL Antibody (3Z198)

Anti-MLKL Antibody (3Z198)

一键复制产品信息
Rating icon 还可以
产品编号 TMAC-02613

Anti-MLKL Antibody (3Z198) 是一种 Rabbit 抗体,靶向 MLKL。Anti-MLKL Antibody (3Z198) 可用于 IHC,WB。

规格价格库存数量
50 μL
¥ 1,485
5日内发货
100 μL
¥ 2,495
5日内发货
大包装 & 定制
加入购物车
TargetMol 的所有产品仅用作科学研究或药证申报,不能被用于人体,我们不向个人提供产品和服务。请您遵守承诺用途,不得违反法律法规规定用于任何其他用途。
实验操作小课堂
常见问题解答
查看更多
联系我们获取更多批次信息
资源下载

产品介绍

生物活性
产品描述
Anti-MLKL Antibody (3Z198) is a Rabbit antibody targeting MLKL. Anti-MLKL Antibody (3Z198) can be used in IHC,WB.
Ig Type
IgG
克隆号
3Z198
交叉反应
Human
验证活性
1. Western blot analysis of MLKL on different cell lysates using anti-MLKL antibody at 1/1,000 dilution. Positive control: Lane 1: HT29, Lane 2: HUVEC, Lane 3: Hela.
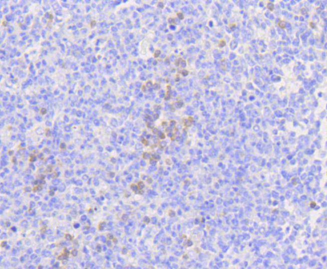
2. Immunohistochemical analysis of paraffin-embedded human tonsil tissue using anti-MLKL antibody. Counter stained with hematoxylin.
verifiedActivityverifiedActivity
应用IHCWB
推荐剂量
WB: 1:1000-5000; IHC: 1:50-200
抗体种类
Monoclonal
宿主来源Rabbit
构建方式Recombinant Antibody
纯化方式ProA affinity purified
性状Liquid
缓冲液1*TBS (pH7.4), 1%BSA, 40%Glycerol. Preservative: 0.05% Sodium Azide.
研究背景MLKL (mixed lineage kinase domain-like) is a 471 amino acid protein that contains one protein kinase domain which is thought to be catalytically inactive. The gene encoding MLKL maps to chromosome 16 and is expressed as two isoforms which are produced by alternative splicing events. Chromosome 16, which is associated with a variety of genetic disorders, encodes over 900 genes and comprises nearly 3% of the human genome. The GAN gene is located on chromosome 16 and, with mutation, may lead to giant axonal neuropathy, a nervous system disorder characterized by increasing malfunction with growth. The rare disorder Rubinstein-Taybi syndrome is associated with chromosome 16, as is Crohn's disease, which is a gastrointestinal inflammatory condition.
偶联与修饰
偶联
Unconjugated
抗原信息
免疫原
Recombinant Protein
Uniprot ID
化学信息
分子量Theoretical: 54 kDa.
存储&运输
储存方式Store at -20°C or -80°C for 12 months. Avoid repeated freeze-thaw cycles.
运输方式Shipping with blue ice.

计算器

  • 稀释 计算器

关键词

评论列表

4个月前
5.0
Rating icon 很棒

评论内容

Related Tags: buy Anti-MLKL Antibody (3Z198) | purchase Anti-MLKL Antibody (3Z198) | Anti-MLKL Antibody (3Z198) cost | order Anti-MLKL Antibody (3Z198) | Anti-MLKL Antibody (3Z198) molecular weight