• TargetMol
    您的购物车当前为空

Anti-ACE2/ACEH Antibody (3P140)

一键复制产品信息
Rating icon 还可以
产品编号 TMAC-00206

Anti-ACE2/ACEH Antibody (3P140) 是一种 Rabbit 抗体,靶向 ACE2/ACEH。Anti-ACE2/ACEH Antibody (3P140) 可用于 ICC,IHC,IP,WB。

Anti-ACE2/ACEH Antibody (3P140)

Anti-ACE2/ACEH Antibody (3P140)

一键复制产品信息
Rating icon 还可以
产品编号 TMAC-00206

Anti-ACE2/ACEH Antibody (3P140) 是一种 Rabbit 抗体,靶向 ACE2/ACEH。Anti-ACE2/ACEH Antibody (3P140) 可用于 ICC,IHC,IP,WB。

规格价格库存数量
50 μL
¥ 1,490
5日内发货
100 μL
¥ 2,485
5日内发货
大包装 & 定制
加入购物车
TargetMol 的所有产品仅用作科学研究或药证申报,不能被用于人体,我们不向个人提供产品和服务。请您遵守承诺用途,不得违反法律法规规定用于任何其他用途。
实验操作小课堂
常见问题解答
查看更多
联系我们获取更多批次信息
资源下载

产品介绍

生物活性
产品描述
Anti-ACE2/ACEH Antibody (3P140) is a Rabbit antibody targeting ACE2/ACEH. Anti-ACE2/ACEH Antibody (3P140) can be used in ICC,IHC,IP,WB.
Ig Type
IgG
克隆号
3P140
交叉反应
Human,Mouse,Rat
验证活性
1. Western blot analysis of ACE2 on human kidney lysates using anti-ACE2 antibody at 1/1,000 dilution.
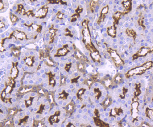
2. Immunohistochemical analysis of paraffin-embedded human kidney tissue using anti-ACE2 antibody. Counter stained with hematoxylin.
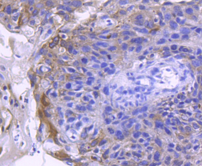
3. Immunohistochemical analysis of paraffin-embedded human breast carcinoma tissue using anti-ACE2 antibody. Counter stained with hematoxylin.
4. Immunohistochemical analysis of paraffin-embedded mouse kidney tissue using anti-ACE2 antibody. Counter stained with hematoxylin.
5. ICC staining ACE2 in 293 cells (green). The nuclear counter stain is DAPI (blue). Cells were fixed in paraformaldehyde, permeabilised with 0.25% Triton X100/PBS.
6. ICC staining ACE2 in MCF-7 cells (green). The nuclear counter stain is DAPI (blue). Cells were fixed in paraformaldehyde, permeabilised with 0.25% Triton X100/PBS.
7. ICC staining ACE2 in HepG2 cells (green). The nuclear counter stain is DAPI (blue). Cells were fixed in paraformaldehyde, permeabilised with 0.25% Triton X100/PBS.
verifiedActivityverifiedActivityverifiedActivityverifiedActivityverifiedActivityverifiedActivityverifiedActivity
应用ICCIHCIPWB
推荐剂量
WB: 1:1000-5000; IHC: 1:50-200; ICC: 1:100-500
抗体种类
Monoclonal
宿主来源Rabbit
构建方式Recombinant Antibody
纯化方式ProA affinity purified
性状Liquid
缓冲液1*TBS (pH7.4), 1%BSA, 40%Glycerol. Preservative: 0.05% Sodium Azide.
研究背景Angiotensin-converting enzyme (ACE) is a carboxyl-terminal dipeptidyl exopeptidase that converts angiotensin I to the potent vasopressive hormone, angiotensin II. There are two isoforms of ACE, the pulmonary ACEP and the testicular ACET. ACEP is a glycoprotein expressed in vascular endothelial cells of the lung, liver, adrenal cortex, pancreas, kidney and spleen. The ACET isoform is expressed exclusively in adult testis by developing sperm cells, specifically late pachytene spermatocytes. Additionally, ACE inactivates bradykinin, a vasodepressor peptide, and is involved in blood pressure regulation and fluid/electrolyte homeostasis. ACE2 is the first known human homolog of ACE. Unlike ACE, which is expressed ubiquitously throughout the vasculature, ACE2 is expressed only in cardiac, renal and testicular cells.
偶联与修饰
偶联
Unconjugated
抗原信息
免疫原
Recombinant Protein
Uniprot ID
化学信息
分子量Theoretical: 92 kDa.
存储&运输
储存方式Store at -20°C or -80°C for 12 months. Avoid repeated freeze-thaw cycles.
运输方式Shipping with blue ice.

计算器

  • 稀释 计算器

关键词

评论列表

4个月前
5.0
Rating icon 很棒

评论内容

Related Tags: buy Anti-ACE2/ACEH Antibody (3P140) | purchase Anti-ACE2/ACEH Antibody (3P140) | Anti-ACE2/ACEH Antibody (3P140) cost | order Anti-ACE2/ACEH Antibody (3P140) | Anti-ACE2/ACEH Antibody (3P140) molecular weight