购物车
  • TargetMol
    您的购物车当前为空

Anti-UBC9/UBE2I Antibody (6S11)

Synonyms: ubiquitin-conjugating enzyme E2I, UBC9, P18, C358B7.1
货号 TMAC-04186 一键复制产品信息
Rating icon 还可以

Anti-UBC9/UBE2I Antibody (6S11) 是一种 Rabbit 抗体,靶向 UBC9/UBE2I。Anti-UBC9/UBE2I Antibody (6S11) 可用于 ChIP,ICC/IF,IHC,IP,WB。

Anti-UBC9/UBE2I Antibody (6S11)

一键复制产品信息
Rating icon 还可以
货号 TMAC-04186

别名 ubiquitin-conjugating enzyme E2I, UBC9, P18, C358B7.1

Anti-UBC9/UBE2I Antibody (6S11) 是一种 Rabbit 抗体,靶向 UBC9/UBE2I。Anti-UBC9/UBE2I Antibody (6S11) 可用于 ChIP,ICC/IF,IHC,IP,WB。

Anti-UBC9/UBE2I Antibody (6S11)
规格价格库存数量
50 μL
¥ 1,490
5日内发货
100 μL
¥ 2,485
5日内发货
库存状态实时更新,以官网显示为准,现货产品可直接加购物车下单
大包装 & 定制
加入购物车

TargetMol的所有产品仅用作科学研究或药证申报,不能被用于人体,我们不向个人提供产品和服务。请您遵守承诺用途,不得违反法律法规规定用于任何其他用途。

实验操作小课堂
常见问题解答
查看更多

资源下载:产品操作手册

产品介绍


生物活性
产品描述
Anti-UBC9/UBE2I Antibody (6S11) is a Rabbit antibody targeting UBC9/UBE2I. Anti-UBC9/UBE2I Antibody (6S11) can be used in ChIP,ICC/IF,IHC,IP,WB.
别名
ubiquitin-conjugating enzyme E2I, UBC9, P18, C358B7.1
Ig Type
IgG
克隆号
6S11
反应种属
Human,Mouse,Rat
验证活性
1. Western blot analysis of UBC9 on different lysates using anti-UBC9 antibody at 1/1,000 dilution. Positive control: Lane 1: HepG2, Lane 2: HUVEC.
2. Immunohistochemical analysis of paraffin-embedded human kidney tissue using anti-UBC9 antibody. Counter stained with hematoxylin.
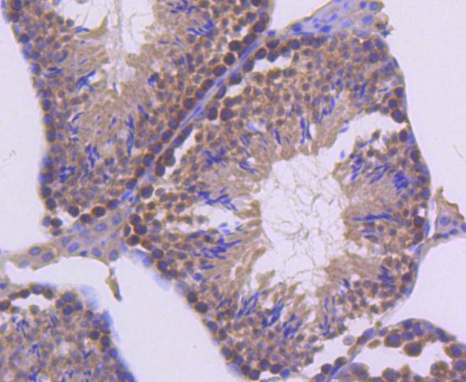
3. Immunohistochemical analysis of paraffin-embedded mouse testis tissue using anti-UBC9 antibody. Counter stained with hematoxylin.
4. ICC staining UBC9 in A431 cells (green). The nuclear counter stain is DAPI (blue). Cells were fixed in paraformaldehyde, permeabilised with 0.25% Triton X100/PBS.
5. ICC staining UBC9 in HepG2 cells (green). The nuclear counter stain is DAPI (blue). Cells were fixed in paraformaldehyde, permeabilised with 0.25% Triton X100/PBS.
verifiedActivityverifiedActivityverifiedActivityverifiedActivityverifiedActivity
应用ChIPICC/IFIHCIPWB
推荐剂量
WB: 1:500-1000; IHC: 1:50-200; ICC/IF: 1:50-200
抗体种类
Monoclonal
宿主来源Rabbit
构建方式Recombinant Antibody
纯化方式ProA affinity purified
性状Liquid
缓冲液1*TBS (pH7.4), 1%BSA, 40%Glycerol. Preservative: 0.05% Sodium Azide.
研究背景UBC9 is a component of the ubiquitin-mediated proteolytic pathway, which targets proteins for degradation by the 26S proteasome, mediates endocytosis and directs protein subcellular localization. Ub and Ub-like molecules are systematically transferred from E2 conjugating enzymes to the targeted substrate by way of an E3 ubiquitin ligase. UBC9 functions as an E2 ubiquitin conjugating enzyme that preferentially associates with the ubiquitin homolog designated SUMO-1 or sentrin, a component of the sentrinization complex. Characteristic of the E2 family members, UBC9 contains a conserved cysteine residue that is required for the thio ester formation between Ub-like proteins and the E2 member, and it shares a conserved UBC domain. Substrates for UBC9 include transcription factors E12 and E47 and mitotic regulators RanBP2 and RanGAP1, which indicates that UBC9 may regulate various cellular processes including cell cycle progression and differentiation.
偶联与修饰
偶联
Unconjugated
抗原信息
免疫原
Recombinant Protein
Uniprot ID
化学信息
分子量Theoretical: 18 kDa.
储存&溶解度
储存方式Store at -20°C or -80°C for 12 months. Avoid repeated freeze-thaw cycles.
运输方式Shipping with blue ice.

计算器

  • 稀释 计算器
  • 配液 计算器
Related Tags: buy Anti-UBC9/UBE2I Antibody (6S11) | purchase Anti-UBC9/UBE2I Antibody (6S11) | Anti-UBC9/UBE2I Antibody (6S11) cost | order Anti-UBC9/UBE2I Antibody (6S11) | Anti-UBC9/UBE2I Antibody (6S11) molecular weight