购物车
  • TargetMol
    您的购物车当前为空

Anti-S100A10 Antibody (8Q369)

Synonyms: S100 calcium binding protein A10, P11, p10, MGC111133, GP11, CLP11, CAL1L, Ca[1], ANX2LG, ANX2L, 42C
货号 TMAC-03672 一键复制产品信息
Rating icon 还可以

Anti-S100A10 Antibody (8Q369) 是一种 Rabbit 抗体,靶向 S100A10。Anti-S100A10 Antibody (8Q369) 可用于 IHC,WB。

Anti-S100A10 Antibody (8Q369)

一键复制产品信息
Rating icon 还可以
货号 TMAC-03672

别名 S100 calcium binding protein A10, P11, p10, MGC111133, GP11, CLP11, CAL1L, Ca[1], ANX2LG, ANX2L, 42C

Anti-S100A10 Antibody (8Q369) 是一种 Rabbit 抗体,靶向 S100A10。Anti-S100A10 Antibody (8Q369) 可用于 IHC,WB。

Anti-S100A10 Antibody (8Q369)
规格价格库存数量
50 μL
¥ 1,490
5日内发货
100 μL
¥ 2,480
5日内发货
库存状态实时更新,以官网显示为准,现货产品可直接加购物车下单
大包装 & 定制
加入购物车

TargetMol的所有产品仅用作科学研究或药证申报,不能被用于人体,我们不向个人提供产品和服务。请您遵守承诺用途,不得违反法律法规规定用于任何其他用途。

实验操作小课堂
常见问题解答
查看更多

资源下载:产品操作手册

产品介绍


生物活性
产品描述
Anti-S100A10 Antibody (8Q369) is a Rabbit antibody targeting S100A10. Anti-S100A10 Antibody (8Q369) can be used in IHC,WB.
别名
S100 calcium binding protein A10, P11, p10, MGC111133, GP11, CLP11, CAL1L, Ca[1], ANX2LG, ANX2L, 42C
Ig Type
IgG
克隆号
8Q369
反应种属
Human,Mouse
验证活性
1. Western blot analysis of S100A10 on human lung lysates using anti-S100A10 antibody at 1/1,000 dilution.
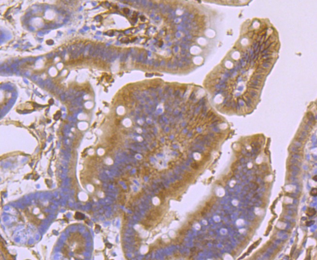
2. Immunohistochemical analysis of paraffin-embedded human colon cancer tissue using anti-S100A10 antibody. Counter stained with hematoxylin.
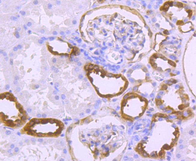
3. Immunohistochemical analysis of paraffin-embedded human kidney tissue using anti-S100A10 antibody. Counter stained with hematoxylin.
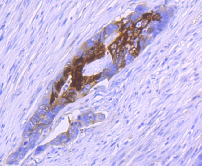
4. Immunohistochemical analysis of paraffin-embedded human gastric carcinoma tissue using anti-S100A10 antibody. Counter stained with hematoxylin.
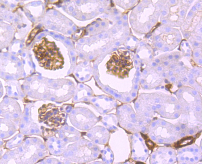
5. Immunohistochemical analysis of paraffin-embedded mouse kidney tissue using anti-S100A10 antibody. Counter stained with hematoxylin.
6. Immunohistochemical analysis of paraffin-embedded mouse colon tissue using anti-S100A10 antibody. Counter stained with hematoxylin.
verifiedActivityverifiedActivityverifiedActivityverifiedActivityverifiedActivityverifiedActivity
应用IHCWB
推荐剂量
WB: 1:1000-2000; IHC: 1:50-200
抗体种类
Monoclonal
宿主来源Rabbit
构建方式Recombinant Antibody
纯化方式ProA affinity purified
性状Liquid
缓冲液1*TBS (pH7.4), 1%BSA, 40%Glycerol. Preservative: 0.05% Sodium Azide.
研究背景The S-100 family of calcium-activated proteins interact with a range of target proteins to modulate biological signaling pathways. Numerous cancer cell lines overexpress the plasminogen receptor S-100A10 on the extracellular cell surface, where it forms a heterotetrameric complex with Annexin II, though this association is not required for plasma membrane localization or binding and activation of plasminogen. Additionally, S-100A10 acts as a cellular chaperone for hepatitis B (Hep B) virus polymerase. Hep B virus polymerase normally localizes to the cytoplasm only, though in the presence of S-100A10 a portion relocates to the nucleus, implying a role for S-100A10 and intracellular calcium in the process of viral replication.
偶联与修饰
偶联
Unconjugated
抗原信息
免疫原
Recombinant Protein
Uniprot ID
化学信息
分子量Theoretical: 11 kDa.
储存&溶解度
储存方式Store at -20°C or -80°C for 12 months. Avoid repeated freeze-thaw cycles.
运输方式Shipping with blue ice.

计算器

  • 稀释 计算器
  • 配液 计算器
Related Tags: buy Anti-S100A10 Antibody (8Q369) | purchase Anti-S100A10 Antibody (8Q369) | Anti-S100A10 Antibody (8Q369) cost | order Anti-S100A10 Antibody (8Q369) | Anti-S100A10 Antibody (8Q369) molecular weight