• TargetMol
    您的购物车当前为空

Anti-PPARD Antibody (2A714)

一键复制产品信息
Rating icon 还可以
货号 TMAC-03395

别名 PPAR-delta, PPARD, PPARB, Peroxisome proliferator-activated receptor delta, Peroxisome proliferator-activated receptor beta (PPAR-beta), Nuclear receptor subfamily 1 group C member 2, Nuclear hormone receptor 1 (NUC1), NUCI, NR1C2

Anti-PPARD Antibody (2A714) 是一种 Mouse 抗体,靶向 PPARD。Anti-PPARD Antibody (2A714) 可用于 IHC。

Anti-PPARD Antibody (2A714)

Anti-PPARD Antibody (2A714)

一键复制产品信息
Rating icon 还可以
货号 TMAC-03395 别名 PPAR-delta, PPARD, PPARB, Peroxisome proliferator-activated receptor delta, Peroxisome proliferator-activated receptor beta (PPAR-beta), Nuclear receptor subfamily 1 group C member 2, Nuclear hormone receptor 1 (NUC1), NUCI, NR1C2

Anti-PPARD Antibody (2A714) 是一种 Mouse 抗体,靶向 PPARD。Anti-PPARD Antibody (2A714) 可用于 IHC。

规格价格库存数量
50 μL
¥ 1,330
5日内发货
100 μL
¥ 2,190
5日内发货
库存状态实时更新,以官网显示为准,现货产品可直接加购物车下单
大包装 & 定制
加入购物车
TargetMol的所有产品仅用作科学研究或药证申报,不能被用于人体,我们不向个人提供产品和服务。请您遵守承诺用途,不得违反法律法规规定用于任何其他用途。
实验操作小课堂
常见问题解答
查看更多
资源下载:

产品介绍


生物活性
产品描述
Anti-PPARD Antibody (2A714) is a Mouse antibody targeting PPARD. Anti-PPARD Antibody (2A714) can be used in IHC.
别名PPAR-delta, PPARD, PPARB, Peroxisome proliferator-activated receptor delta, Peroxisome proliferator-activated receptor beta (PPAR-beta), Nuclear receptor subfamily 1 group C member 2, Nuclear hormone receptor 1 (NUC1), NUCI, NR1C2
Ig Type
IgG1
克隆号
2A714
反应种属
Human,Mouse,Rat
验证活性
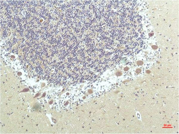
1. Immunohistochemical analysis of paraffin-embedded Human Brain Tissue using PPAR Delta Mouse mAb diluted at 1:200.
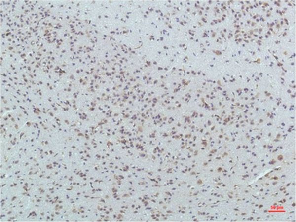
2. Immunohistochemical analysis of paraffin-embedded Mouse Brain Tissue using PPAR Delta Mouse mAb diluted at 1:200.
verifiedActivityverifiedActivity
应用IHC
推荐剂量
IHC: 1:100-200
抗体种类
Monoclonal
宿主来源Mouse
构建方式Hybridoma Monoclonal Antibody
性状Liquid
缓冲液Liquid in PBS containing 50% glycerol, 0.5% BSA and 0.02% sodium azide.
偶联与修饰
偶联
Unconjugated
抗原信息
免疫原
Recombinant Protein
Uniprot ID
化学信息
分子量Theoretical: 50 kDa.
储存&溶解度
储存方式Store at -20°C or -80°C for 12 months. Avoid repeated freeze-thaw cycles.
运输方式Shipping with blue ice.
存储store at low temperature | -20°C for 1 year

计算器

  • 稀释 计算器
Related Tags: buy Anti-PPARD Antibody (2A714) | purchase Anti-PPARD Antibody (2A714) | Anti-PPARD Antibody (2A714) cost | order Anti-PPARD Antibody (2A714) | Anti-PPARD Antibody (2A714) molecular weight