购物车
  • TargetMol
    您的购物车当前为空

Anti-NGF Antibody (1M564)

Synonyms: 神经生长因子, Ngfb, nerve growth factor (β polypeptide), nerve growth factor (beta polypeptide)
货号 TMAB-01235 一键复制产品信息
Rating icon 还可以

Anti-NGF Antibody (1M564) 是一种 Rabbit 抗体,靶向 NGF。Anti-NGF Antibody (1M564) 可用于 ICC/IF,IF,IHC-Fr,IHC-P,WB。

Anti-NGF Antibody (1M564)

一键复制产品信息
Rating icon 还可以
货号 TMAB-01235

别名 神经生长因子, Ngfb, nerve growth factor (β polypeptide), nerve growth factor (beta polypeptide)

Anti-NGF Antibody (1M564) 是一种 Rabbit 抗体,靶向 NGF。Anti-NGF Antibody (1M564) 可用于 ICC/IF,IF,IHC-Fr,IHC-P,WB。

Anti-NGF Antibody (1M564)
规格价格库存数量
25 μL
¥ 795
5日内发货
50 μL
¥ 1,390
5日内发货
100 μL
¥ 2,480
5日内发货
库存状态实时更新,以官网显示为准,现货产品可直接加购物车下单
大包装 & 定制
加入购物车

TargetMol的所有产品仅用作科学研究或药证申报,不能被用于人体,我们不向个人提供产品和服务。请您遵守承诺用途,不得违反法律法规规定用于任何其他用途。

实验操作小课堂
常见问题解答
查看更多

资源下载:产品操作手册

产品介绍


生物活性
产品描述
Anti-NGF Antibody (1M564) is a Rabbit antibody targeting NGF. Anti-NGF Antibody (1M564) can be used in ICC/IF,IF,IHC-Fr,IHC-P,WB.
别名
神经生长因子, Ngfb, nerve growth factor (β polypeptide), nerve growth factor (beta polypeptide)
Ig Type
IgG
克隆号
1M564
反应种属
Human,Mouse,Rat
验证活性
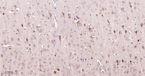
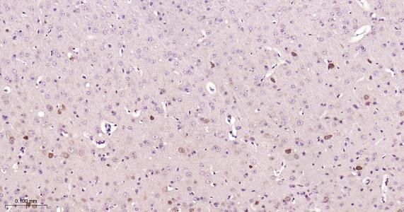
1. Paraformaldehyde-fixed, paraffin embedded Mouse Cerebrum; Antigen retrieval by boiling in sodium citrate buffer (pH6.0) for 15 min; Antibody incubation with NGF Monoclonal Antibody, Unconjugated (TMAB-01235) at 1:200 overnight at 4°C, followed by conjugation to the secondary antibody and DAB staining.
2. Paraformaldehyde-fixed, paraffin embedded Rat Cerebrum; Antigen retrieval by boiling in sodium citrate buffer (pH6.0) for 15 min; Antibody incubation with NGF Monoclonal Antibody, Unconjugated (TMAB-01235) at 1:200 overnight at 4°C, followed by conjugation to the secondary antibody and DAB staining.
3. Paraformaldehyde-fixed, paraffin embedded Human Cerebrum; Antigen retrieval by boiling in sodium citrate buffer (pH6.0) for 15 min; Antibody incubation with NGF Monoclonal Antibody, Unconjugated (TMAB-01235) at 1:200 overnight at 4°C, followed by conjugation to the secondary antibody and DAB staining.
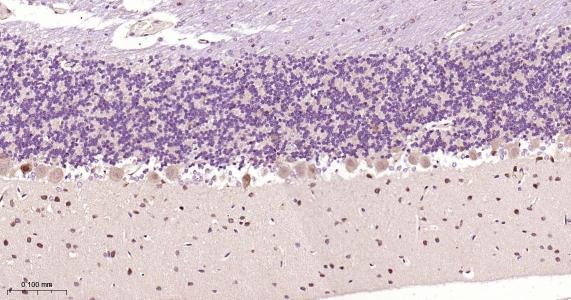
4. Paraformaldehyde-fixed, paraffin embedded Mouse Cerebellum; Antigen retrieval by boiling in sodium citrate buffer (pH6.0) for 15 min; Antibody incubation with NGF Monoclonal Antibody, Unconjugated (TMAB-01235) at 1:200 overnight at 4°C, followed by conjugation to the secondary antibody and DAB staining.
5. Paraformaldehyde-fixed, paraffin embedded Rat Cerebellum; Antigen retrieval by boiling in sodium citrate buffer (pH6.0) for 15 min; Antibody incubation with NGF Monoclonal Antibody, Unconjugated (TMAB-01235) at 1:200 overnight at 4°C, followed by conjugation to the secondary antibody and DAB staining.
6. Paraformaldehyde-fixed, paraffin embedded Human Cerebellum; Antigen retrieval by boiling in sodium citrate buffer (pH6.0) for 15 min; Antibody incubation with NGF Monoclonal Antibody, Unconjugated (TMAB-01235) at 1:200 overnight at 4°C, followed by conjugation to the secondary antibody and DAB staining.
7. 25 μg total protein per Lane of various lysates probed with NGF monoclonal antibody, unconjugated (TMAB-01235) at 1:1000 dilution and 4°C overnight incubation. Followed by conjugated secondary antibody incubation at RT for 60 min.
verifiedActivityverifiedActivityverifiedActivityverifiedActivityverifiedActivityverifiedActivityverifiedActivity
应用ICC/IFIFIHC-FrIHC-PWB
推荐剂量
WB: 1:500-2000; IHC-P: 1:100-500; IHC-Fr: 1:100-500; ICC/IF: 1:50-200; IF: 1:100-500
抗体种类
Monoclonal
宿主来源Rabbit
亚细胞定位Secreted.
组织特异性Defects in NGF are the cause of hereditary sensory and autonomic neuropathy type 5 (HSAN5) [MIM:608654]. The hereditary sensory and autonomic neuropathies are a genetically and clinically heterogeneous group of disorders characterized by degeneration of d
构建方式Recombinant Antibody
纯化方式Protein A purified
性状Liquid
缓冲液0.01M TBS (pH7.4) with 1% BSA, 0.02% Proclin300 and 50% Glycerol.
浓度1 mg/mL
研究背景This gene is a member of the NGF-beta family and encodes a secreted protein which homodimerizes and is incorporated into a larger complex. This protein has nerve growth stimulating activity and the complex is involved in the regulation of growth and the differentiation of sympathetic and certain sensory neurons. Mutations in this gene have been associated with hereditary sensory and autonomic neuropathy, type 5 (HSAN5), and dysregulation of this gene's expression is associated with allergic rhinitis. [provided by RefSeq, Jul 2008]
抗原信息
免疫原
A synthesized peptide: human beta NGF
抗原种属
Human
基因名称
NGF
基因ID
蛋白名称
beta-nerve growth factor
Uniprot ID
研究领域
Neurotrophins,Neuroregeneration
功能
Nerve growth factor is important for the development and maintenance of the sympathetic and sensory nervous systems. Extracellular ligand for the NTRK1 and NGFR receptors, activates cellular signaling cascades through those receptor tyrosine kinase to regulate neuronal proliferation, differentiation and survival.
化学信息
分子量Theoretical: 13/32 kDa. Actual: 35 kDa.
储存&溶解度
储存方式Store at -20°C or -80°C for 12 months. Avoid repeated freeze-thaw cycles.
运输方式Shipping with blue ice.

计算器

  • 稀释 计算器
  • 配液 计算器
Related Tags: buy Anti-NGF Antibody (1M564) | purchase Anti-NGF Antibody (1M564) | Anti-NGF Antibody (1M564) cost | order Anti-NGF Antibody (1M564) | Anti-NGF Antibody (1M564) molecular weight