购物车
  • 全部删除
  • TargetMol
    您的购物车当前为空

Anti-IKZF1 Antibody (8M494)

Rating icon 还可以
产品编号 TMAC-02114

Anti-IKZF1 Antibody (8M494) 是一种 Rabbit 抗体,靶向 IKZF1。Anti-IKZF1 Antibody (8M494) 可用于 FCM,IHC,WB。

Anti-IKZF1 Antibody (8M494)

Anti-IKZF1 Antibody (8M494)

一键复制产品信息
Rating icon 还可以
产品编号 TMAC-02114

Anti-IKZF1 Antibody (8M494) 是一种 Rabbit 抗体,靶向 IKZF1。Anti-IKZF1 Antibody (8M494) 可用于 FCM,IHC,WB。

规格价格库存数量
50 μL
¥ 1,495
5日内发货
100 μL
¥ 2,480
5日内发货
大包装 & 定制
加入购物车
TargetMol 的所有产品仅用作科学研究或药证申报,不能被用于人体,我们不向个人提供产品和服务。请您遵守承诺用途,不得违反法律法规规定用于任何其他用途。
实验操作小课堂
常见问题解答
查看更多
联系我们获取更多批次信息
资源下载

产品介绍

生物活性
产品描述
Anti-IKZF1 Antibody (8M494) is a Rabbit antibody targeting IKZF1. Anti-IKZF1 Antibody (8M494) can be used in FCM,IHC,WB.
Ig Type
IgG
克隆号
8M494
交叉反应
Human
验证活性
1. Western blot analysis of Ikaros on human thymus tissue lysate using anti-Ikaros antibody at 1/1,000 dilution.
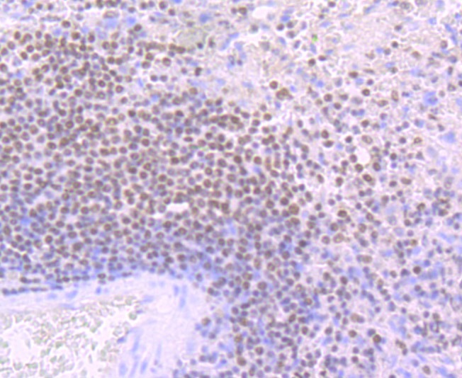
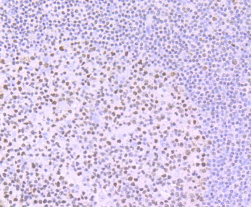
2. Immunohistochemical analysis of paraffin-embedded human spleen tissue using anti-Ikaros antibody. Counter stained with hematoxylin.
3. Immunohistochemical analysis of paraffin-embedded mouse spleen tissue using anti-Ikaros antibody. Counter stained with hematoxylin.
4. Immunohistochemical analysis of paraffin-embedded human tonsil tissue using anti-Ikaros antibody. Counter stained with hematoxylin.
5. Flow cytometric analysis of Daudi cells with Ikaros antibody at 1/100 dilution (red) compared with an unlabelled control (cells without incubation with primary antibody; black). Alexa Fluor 488-conjugated goat anti-rabbit IgG was used as the secondary antibody.
verifiedActivityverifiedActivityverifiedActivityverifiedActivityverifiedActivity
应用FCMIHCWB
推荐剂量
WB: 1:500-2000; IHC: 1:50-200; FCM: 1:50-100
抗体种类
Monoclonal
宿主来源Rabbit
构建方式Recombinant Antibody
纯化方式ProA affinity purified
性状Liquid
缓冲液1*TBS (pH7.4), 1%BSA, 40%Glycerol. Preservative: 0.05% Sodium Azide.
研究背景Ikaros family members, including Ikaros and Helios, are nuclear factors that colocalize with DNA replication machinery components in higher-order chromatin structures and respond to signaling events, such as T cell activation. Helios and Ikaros bind to similar DNA sequences, and they function as hemopoietic-specific transcription factors. Members of the Ikaros family contain zinc-finger domains that are involved in DNA-binding and in the formation of homodimers and heterodimers between Ikaros family members. Expression of Ikaros is primarily detected in the thymus and spleen, where it is essential for regulating T cell specific gene transcription and for the differentiation and commitment of early hemopoietic progenitors to the B and T lymphoid lineages. Similarly, Helios expression is detected primarily in T cells and in the earliest embryonic hemopoietic precursors and in adult stem cells. Ikaros and Helios also appear to regulate cell cycle entry by inducing transcriptional repression under varying conditions and, thereby, mediate T cell activation and lL-2 mediated signaling events.
偶联与修饰
偶联
Unconjugated
抗原信息
免疫原
Recombinant Protein
Uniprot ID
化学信息
分子量Theoretical: 57/48 kDa.
存储&运输
储存方式Store at -20°C or -80°C for 12 months. Avoid repeated freeze-thaw cycles.
运输方式Shipping with blue ice.

计算器

  • 稀释 计算器

关键词

评论列表

4个月前
5.0
Rating icon 很棒

评论内容

Related Tags: buy Anti-IKZF1 Antibody (8M494) | purchase Anti-IKZF1 Antibody (8M494) | Anti-IKZF1 Antibody (8M494) cost | order Anti-IKZF1 Antibody (8M494) | Anti-IKZF1 Antibody (8M494) molecular weight