购物车
  • 全部删除
  • TargetMol
    您的购物车当前为空

Anti-IKBKB Polyclonal Antibody

一键复制产品信息
Rating icon 还可以
产品编号 TMAB-00930
别名 Serine/threonine protein kinase IKBKB, Nuclear factor NF-kappa-B inhibitor kinase beta (NFKBIKB), Inhibitor of nuclear factor kappa-B kinase subunit beta, IKK-beta, IKK-B, IKKB, IkBKB, IKBKB, I-kappa-B-kinase beta, I-kappa-B kinase 2 (IKK-2;IKK2)

Anti-IKBKB Polyclonal Antibody 是一种 Rabbit 抗体,靶向 IKBKB。Anti-IKBKB Polyclonal Antibody 可用于 ICC/IF,IF,IHC-Fr,IHC-P,WB。

Anti-IKBKB Polyclonal Antibody

Anti-IKBKB Polyclonal Antibody

一键复制产品信息
Rating icon 还可以
产品编号 TMAB-00930 别名 Serine/threonine protein kinase IKBKB, Nuclear factor NF-kappa-B inhibitor kinase beta (NFKBIKB), Inhibitor of nuclear factor kappa-B kinase subunit beta, IKK-beta, IKK-B, IKKB, IkBKB, IKBKB, I-kappa-B-kinase beta, I-kappa-B kinase 2 (IKK-2;IKK2)

Anti-IKBKB Polyclonal Antibody 是一种 Rabbit 抗体,靶向 IKBKB。Anti-IKBKB Polyclonal Antibody 可用于 ICC/IF,IF,IHC-Fr,IHC-P,WB。

规格价格库存数量
50 μL
¥ 1,160
5日内发货
100 μL
¥ 1,975
5日内发货
200 μL
¥ 2,780
5日内发货
大包装 & 定制
加入购物车
TargetMol 的所有产品仅用作科学研究或药证申报,不能被用于人体,我们不向个人提供产品和服务。请您遵守承诺用途,不得违反法律法规规定用于任何其他用途。
实验操作小课堂
常见问题解答
查看更多
联系我们获取更多批次信息
资源下载

产品介绍

生物活性
产品描述
Anti-IKBKB Polyclonal Antibody is a Rabbit antibody targeting IKBKB. Anti-IKBKB Polyclonal Antibody can be used in ICC/IF,IF,IHC-Fr,IHC-P,WB.
别名Serine/threonine protein kinase IKBKB, Nuclear factor NF-kappa-B inhibitor kinase beta (NFKBIKB), Inhibitor of nuclear factor kappa-B kinase subunit beta, IKK-beta, IKK-B, IKKB, IkBKB, IKBKB, I-kappa-B-kinase beta, I-kappa-B kinase 2 (IKK-2;IKK2)
Ig Type
IgG
交叉反应
Human,Mouse,Rat
验证活性
1. 25 μg total protein per Lane of various lysates probed with IKK beta polyclonal antibody, unconjugated (TMAB-00930) at 1:1000 dilution and 4°C overnight incubation. Followed by conjugated secondary antibody incubation at RT for 60 min.
2. Paraformaldehyde-fixed, paraffin embedded Rat Kidney; Antigen retrieval by boiling in sodium citrate buffer (pH6.0) for 15 min; The section was incubated with IKK beta Polyclonal Antibody, Unconjugated (TMAB-00930) at 1:200 overnight at 4°C, followed by conjugation to the secondary antibody and DAB staining.
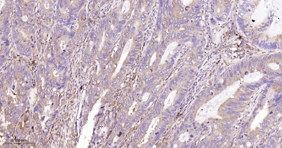
3. Paraformaldehyde-fixed, paraffin embedded Human Colon Cancer; Antigen retrieval by boiling in sodium citrate buffer (pH6.0) for 15 min; The section was incubated with IKK beta Polyclonal Antibody, Unconjugated (TMAB-00930) at 1:200 overnight at 4°C, followed by conjugation to the secondary antibody and DAB staining.
verifiedActivityverifiedActivityverifiedActivity
应用ICC/IFIFIHC-FrIHC-PWB
推荐剂量
WB: 1:500-2000; IHC-P: 1:100-500; IHC-Fr: 1:100-500; ICC/IF: 1:100; IF: 1:100-500
抗体种类
Polyclonal
宿主来源Rabbit
亚细胞定位Cytoplasm. Nucleus. Membrane raft. Note=Colocalized with DPP4 in membrane rafts.
组织特异性Highly expressed in heart, placenta, skeletal muscle, kidney, pancreas, spleen, thymus, prostate, testis and peripheral blood.
构建方式Polyclonal Antibody
纯化方式Protein A purified
性状Liquid
缓冲液0.01M TBS (pH7.4) with 1% BSA, 0.02% Proclin300 and 50% Glycerol.
浓度1 mg/mL
研究背景IKK beta (I-Kappa-B kinase-beta) is a member of the IKK complex which is composed of IKK alpha, IKK beta, IKK gamma and IKAP. Phosphorylation of I-Kappa-B on a serine residue by the IKK complex frees NF-kB from I-Kappa-B and marks it for degradation via ubiquination. IKK beta has been shown to activate NF-kB and phosphorylate IKB alpha and beta. Phosphorylation of 2 sites at the activation loop of IKK beta is essential for activation of IKK by TNF and IL1. Once activated, IKK beta autophosphorylates which in turn decreases IKK activity and prevents prolonged activation of the inflammatory response. Additionally, IKK beta activity can also be regulated by MEKK1.
抗原信息
免疫原
KLH conjugated synthetic peptide: human IKK beta
抗原种属
Human
基因名称
IKBKB
基因ID
蛋白名称
Inhibitor of nuclear factor kappa-B kinase subunit beta
Uniprot ID
研究领域
IKK,Inflammatory mediators,IKK,TLR Signaling,Other Kinases,NFkB Pathway
功能
Serine kinase that plays an essential role in the NF-kappa-B signaling pathway which is activated by multiple stimuli such as inflammatory cytokines, bacterial or viral products, DNA damages or other cellular stresses. Acts as part of the canonical IKK complex in the conventional pathway of NF-kappa-B activation and phosphorylates inhibitors of NF-kappa-B on 2 critical serine residues. These modifications allow polyubiquitination of the inhibitors and subsequent degradation by the proteasome. In turn, free NF-kappa-B is translocated into the nucleus and activates the transcription of hundreds of genes involved in immune response, growth control, or protection against apoptosis. In addition to the NF-kappa-B inhibitors, phosphorylates several other components of the signaling pathway including NEMO/IKBKG, NF-kappa-B subunits RELA and NFKB1, as well as IKK-related kinases TBK1 and IKBKE. IKK-related kinase phosphorylations may prevent the overproduction of inflammatory mediators since they exert a negative regulation on canonical IKKs. Also phosphorylates other substrates including NCOA3, BCL10 and IRS1. Within the nucleus, acts as an adapter protein for NFKBIA degradation in UV-induced NF-kappa-B activation.
化学信息
分子量Theoretical: 87 kDa.
存储&运输
储存方式Store at -20°C or -80°C for 12 months. Avoid repeated freeze-thaw cycles.
运输方式Shipping with blue ice.

计算器

  • 稀释 计算器

关键词

评论列表

4个月前
5.0
Rating icon 很棒

评论内容

Related Tags: buy Anti-IKBKB Polyclonal Antibody | purchase Anti-IKBKB Polyclonal Antibody | Anti-IKBKB Polyclonal Antibody cost | order Anti-IKBKB Polyclonal Antibody | Anti-IKBKB Polyclonal Antibody molecular weight