购物车
  • 全部删除
  • TargetMol
    您的购物车当前为空

Anti-Growth Hormone Antibody (1Z775)

一键复制产品信息
Rating icon 还可以
产品编号 TMAC-01723
别名 IGHD1B, hGH-N, Growth hormone 1, GH-N, GHN, GHB5, GH1, GH

Anti-Growth Hormone Antibody (1Z775) 是一种 Rabbit 抗体,靶向 Growth Hormone。Anti-Growth Hormone Antibody (1Z775) 可用于 IHC,IP,WB。

Anti-Growth Hormone Antibody (1Z775)

Anti-Growth Hormone Antibody (1Z775)

一键复制产品信息
Rating icon 还可以
产品编号 TMAC-01723 别名 IGHD1B, hGH-N, Growth hormone 1, GH-N, GHN, GHB5, GH1, GH

Anti-Growth Hormone Antibody (1Z775) 是一种 Rabbit 抗体,靶向 Growth Hormone。Anti-Growth Hormone Antibody (1Z775) 可用于 IHC,IP,WB。

规格价格库存数量
50 μL
¥ 1,495
5日内发货
100 μL
¥ 2,485
5日内发货
大包装 & 定制
加入购物车
TargetMol 的所有产品仅用作科学研究或药证申报,不能被用于人体,我们不向个人提供产品和服务。请您遵守承诺用途,不得违反法律法规规定用于任何其他用途。
实验操作小课堂
常见问题解答
查看更多
联系我们获取更多批次信息
资源下载

产品介绍

生物活性
产品描述
Anti-Growth Hormone Antibody (1Z775) is a Rabbit antibody targeting Growth Hormone. Anti-Growth Hormone Antibody (1Z775) can be used in IHC,IP,WB.
别名IGHD1B, hGH-N, Growth hormone 1, GH-N, GHN, GHB5, GH1, GH
Ig Type
IgG
克隆号
1Z775
交叉反应
Human
验证活性
1. Western blot analysis of Growth Hormone on human placenta cells lysates using anti- Growth Hormone antibody at 1/500 dilution.
2. Immunohistochemical analysis of paraffin-embedded human tonsil tissue using anti-Growth Hormone antibody. Counter stained with hematoxylin.
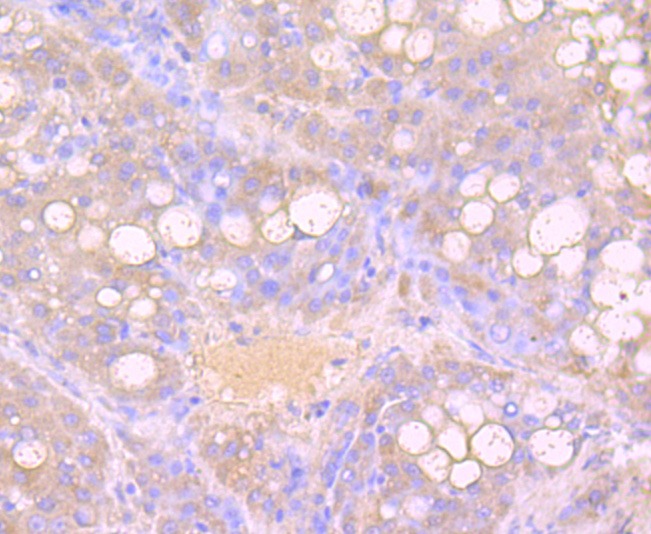
3. Immunohistochemical analysis of paraffin-embedded human liver cancer tissue using anti-Growth Hormone antibody. Counter stained with hematoxylin.
4. Immunohistochemical analysis of paraffin-embedded human breast cancer tissue using anti-Growth Hormone antibody. Counter stained with hematoxylin.
verifiedActivityverifiedActivityverifiedActivityverifiedActivity
应用IHCIPWB
推荐剂量
WB: 1:1000-5000; IHC: 1:50-200
抗体种类
Monoclonal
宿主来源Rabbit
构建方式Recombinant Antibody
纯化方式ProA affinity purified
性状Liquid
缓冲液1*TBS (pH7.4), 1%BSA, 40%Glycerol. Preservative: 0.05% Sodium Azide.
研究背景Pituitary growth hormone (GH), also designated somatotropin, plays a crucial role in stimulating and controlling the growth, metabolism and differentiation of many mammalian cell types by modulating the synthesis of multiple mRNA species. These effects are mediated by the binding of GH to its membrane-bound receptor, GHR, and involve a phosphorylation cascade that results in the modulation of numerous signaling pathways. GH is secreted in a pulsatile pattern which is tightly controlled by the interplay of GH-releasing hormone (GHRH) and somatostatin (SRIF). GHRH and SRIF are the primary hypothalamic factors that determine GH secretion from the somatotroph and regulate GH synthesis and secretory reserve. GH output is also highly sensitive to feedback control by GH itself, as well as by insulin-like growth factor I. GH is synthesized by acidophilic or somatotropic cells of the anterior pituitary gland. Human growth hormone contains 191 amino acid residues with two disulfide bridges.
偶联与修饰
偶联
Unconjugated
抗原信息
免疫原
Recombinant Protein
Uniprot ID
化学信息
分子量Theoretical: 25 kDa.
存储&运输
储存方式Store at -20°C or -80°C for 12 months. Avoid repeated freeze-thaw cycles.
运输方式Shipping with blue ice.

计算器

  • 稀释 计算器

关键词

评论列表

4个月前
5.0
Rating icon 很棒

评论内容

Related Tags: buy Anti-Growth Hormone Antibody (1Z775) | purchase Anti-Growth Hormone Antibody (1Z775) | Anti-Growth Hormone Antibody (1Z775) cost | order Anti-Growth Hormone Antibody (1Z775) | Anti-Growth Hormone Antibody (1Z775) molecular weight