购物车
  • 全部删除
  • TargetMol
    您的购物车当前为空

Anti-GRK2 Antibody (8P72)

一键复制产品信息
Rating icon 还可以
产品编号 TMAC-01721
别名 Grk2, G-protein-coupled receptor kinase 2, Beta-ARK-1, Beta-adrenergic receptor kinase 1, Adrbk1

Anti-GRK2 Antibody (8P72) 是一种 Rabbit 抗体,靶向 GRK2。Anti-GRK2 Antibody (8P72) 可用于 IHC,WB。

Anti-GRK2 Antibody (8P72)

Anti-GRK2 Antibody (8P72)

一键复制产品信息
Rating icon 还可以
产品编号 TMAC-01721 别名 Grk2, G-protein-coupled receptor kinase 2, Beta-ARK-1, Beta-adrenergic receptor kinase 1, Adrbk1

Anti-GRK2 Antibody (8P72) 是一种 Rabbit 抗体,靶向 GRK2。Anti-GRK2 Antibody (8P72) 可用于 IHC,WB。

规格价格库存数量
50 μL
¥ 1,495
5日内发货
100 μL
¥ 2,490
5日内发货
大包装 & 定制
加入购物车
TargetMol 的所有产品仅用作科学研究或药证申报,不能被用于人体,我们不向个人提供产品和服务。请您遵守承诺用途,不得违反法律法规规定用于任何其他用途。
实验操作小课堂
常见问题解答
查看更多
联系我们获取更多批次信息
资源下载

产品介绍

生物活性
产品描述
Anti-GRK2 Antibody (8P72) is a Rabbit antibody targeting GRK2. Anti-GRK2 Antibody (8P72) can be used in IHC,WB.
别名Grk2, G-protein-coupled receptor kinase 2, Beta-ARK-1, Beta-adrenergic receptor kinase 1, Adrbk1
Ig Type
IgG
克隆号
8P72
交叉反应
Human,Mouse,Rat
验证活性
1. Western blot analysis of GRK2 on Hela cell lysates using anti-GRK2 antibody at 1/1,000 dilution.
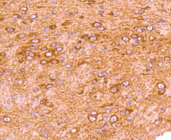
2. Immunohistochemical analysis of paraffin-embedded human tonsil tissue using anti-GRK2 antibody. Counter stained with hematoxylin.
3. Immunohistochemical analysis of paraffin-embedded human spleen tissue using anti-GRK2 antibody. Counter stained with hematoxylin.
4. Immunohistochemical analysis of paraffin-embedded mouse brain tissue using anti-GRK2 antibody. Counter stained with hematoxylin.
5. Immunohistochemical analysis of paraffin-embedded mouse spleen tissue using anti-GRK2 antibody. Counter stained with hematoxylin.
verifiedActivityverifiedActivityverifiedActivityverifiedActivityverifiedActivity
应用IHCWB
推荐剂量
WB: 1:1000-2000; IHC: 1:50-200
抗体种类
Monoclonal
宿主来源Rabbit
构建方式Recombinant Antibody
纯化方式ProA affinity purified
性状Liquid
缓冲液1*TBS (pH7.4), 1%BSA, 40%Glycerol. Preservative: 0.05% Sodium Azide.
研究背景Heterotrimeric G protein-mediated signal transduction is a dynamically regulated process with the intensity of signal decreasing over time despite the continued presence of the agonist. This phenomenon, referred to as agonist-mediated desensitization, involves phosphorylation of the receptor by two classes of enzymes. The first class is comprised of the second messenger-regulated kinases, such as c-AMP dependent protein kinase A and protein kinase C. The second class includes the G protein-coupled receptor kinases (GRKs). At least seven members of the GRK family have been identified. These include rhodopsin kinase (GRK 1), two forms of beta-adrenergic receptor kinase: GRK 2 (betaARK, betaARK1) and GRK 3 (betaARK2), IT-11 (GRK 4), GRK 5, GRK 6 and GRK 7. Phosphorylation of receptors by GRKs appears to be strictly dependent on the receptor being in its agonist-activated state.
偶联与修饰
偶联
Unconjugated
抗原信息
免疫原
Recombinant Protein
Uniprot ID
化学信息
分子量Theoretical: 80 kDa.
存储&运输
储存方式Store at -20°C or -80°C for 12 months. Avoid repeated freeze-thaw cycles.
运输方式Shipping with blue ice.

计算器

  • 稀释 计算器

关键词

评论列表

4个月前
5.0
Rating icon 很棒

评论内容

Related Tags: buy Anti-GRK2 Antibody (8P72) | purchase Anti-GRK2 Antibody (8P72) | Anti-GRK2 Antibody (8P72) cost | order Anti-GRK2 Antibody (8P72) | Anti-GRK2 Antibody (8P72) molecular weight