购物车
  • TargetMol
    您的购物车当前为空

Anti-CDK1 Antibody (9C411)

Synonyms: P34CDC2, cyclin-dependent kinase 1, CDC28A, CDC2
货号 TMAC-00783 一键复制产品信息
Rating icon 还可以

Anti-CDK1 Antibody (9C411) 是一种 Rabbit 抗体,靶向 CDK1。Anti-CDK1 Antibody (9C411) 可用于 ICC/IF,IHC,IP,WB。

Anti-CDK1 Antibody (9C411)

一键复制产品信息
Rating icon 还可以
货号 TMAC-00783

别名 P34CDC2, cyclin-dependent kinase 1, CDC28A, CDC2

Anti-CDK1 Antibody (9C411) 是一种 Rabbit 抗体,靶向 CDK1。Anti-CDK1 Antibody (9C411) 可用于 ICC/IF,IHC,IP,WB。

Anti-CDK1 Antibody (9C411)
规格价格库存数量
50 μL
¥ 1,490
5日内发货
100 μL
¥ 2,480
5日内发货
库存状态实时更新,以官网显示为准,现货产品可直接加购物车下单
大包装 & 定制
加入购物车

TargetMol的所有产品仅用作科学研究或药证申报,不能被用于人体,我们不向个人提供产品和服务。请您遵守承诺用途,不得违反法律法规规定用于任何其他用途。

实验操作小课堂
常见问题解答
查看更多

资源下载:产品操作手册

产品介绍


生物活性
产品描述
Anti-CDK1 Antibody (9C411) is a Rabbit antibody targeting CDK1. Anti-CDK1 Antibody (9C411) can be used in ICC/IF,IHC,IP,WB.
别名
P34CDC2, cyclin-dependent kinase 1, CDC28A, CDC2
Ig Type
IgG
克隆号
9C411
反应种属
Human,Mouse,Rat
验证活性
1. Western blot analysis of CDK1 on Jurkat cells lysates using anti-CDK1 antibody at 1/1,000 dilution.
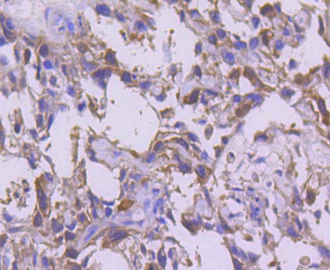
2. Immunohistochemical analysis of paraffin-embedded human breast carcinoma tissue using anti-CDK1 antibody. Counter stained with hematoxylin.
3. Immunohistochemical analysis of paraffin-embedded human tonsil tissue using anti-CDK1 antibody. Counter stained with hematoxylin.
4. Immunohistochemical analysis of paraffin-embedded mouse skin tissue using anti-CDK1 antibody. Counter stained with hematoxylin.
5. ICC staining CDK1 in Hela cells (green). The nuclear counter stain is DAPI (blue). Cells were fixed in paraformaldehyde, permeabilised with 0.25% Triton X100/PBS.
6. ICC staining CDK1 in MCF-7 cells (green). The nuclear counter stain is DAPI (blue). Cells were fixed in paraformaldehyde, permeabilised with 0.25% Triton X100/PBS.
7. ICC staining CDK1 in A431 cells (green). The nuclear counter stain is DAPI (blue). Cells were fixed in paraformaldehyde, permeabilised with 0.25% Triton X100/PBS.
verifiedActivityverifiedActivityverifiedActivityverifiedActivityverifiedActivityverifiedActivityverifiedActivity
应用ICC/IFIHCIPWB
推荐剂量
WB: 1:1000-2000; IHC: 1:50-200; ICC/IF: 1:50-200
抗体种类
Monoclonal
宿主来源Rabbit
构建方式Recombinant Antibody
纯化方式ProA affinity purified
性状Liquid
缓冲液1*TBS (pH7.4), 1%BSA, 40%Glycerol. Preservative: 0.05% Sodium Azide.
研究背景Cdk1 is a small protein (approximately 34 kilodaltons), and is highly conserved. Cdk1 is comprised mostly by the bare protein kinase motif, which other protein kinases share. Cdk1, like other kinases, contains a cleft in which ATP fits. When bound to its cyclin partners, Cdk1 phosphorylation leads to cell cycle progression. Given its essential role in cell cycle progression, Cdk1 is highly regulated. Most obviously, Cdk1 is regulated by its binding with its cyclin partners. Cyclin binding alters access to the active site of Cdk1, allowing for Cdk1 activity; furthermore, cyclins impart specificity to Cdk1 activity. At least some cyclins contain a hydrophobic patch which may directly interact with substrates, conferring target specificity. Furthermore, cyclins can target Cdk1 to particular subcellular locations.
偶联与修饰
偶联
Unconjugated
抗原信息
免疫原
Recombinant Protein
Uniprot ID
化学信息
分子量Theoretical: 34 kDa.
储存&溶解度
储存方式Store at -20°C or -80°C for 12 months. Avoid repeated freeze-thaw cycles.
运输方式Shipping with blue ice.

计算器

  • 稀释 计算器
  • 配液 计算器

关键词

Related Tags: buy Anti-CDK1 Antibody (9C411) | purchase Anti-CDK1 Antibody (9C411) | Anti-CDK1 Antibody (9C411) cost | order Anti-CDK1 Antibody (9C411) | Anti-CDK1 Antibody (9C411) molecular weight