购物车
  • 全部删除
  • TargetMol
    您的购物车当前为空

Anti-Carbonic Anhydrase 2 Antibody (5N337)

一键复制产品信息
Rating icon 还可以
产品编号 TMAC-00554
别名 Cyanamide hydratase CA2, Carbonic anhydrase II (CA-II), Carbonic anhydrase 2, Carbonate dehydratase II, Ca2

Anti-Carbonic Anhydrase 2 Antibody (5N337) 是一种 Rabbit 抗体,靶向 Carbonic Anhydrase 2。Anti-Carbonic Anhydrase 2 Antibody (5N337) 可用于 IHC,WB。

Anti-Carbonic Anhydrase 2 Antibody (5N337)

Anti-Carbonic Anhydrase 2 Antibody (5N337)

一键复制产品信息
Rating icon 还可以
产品编号 TMAC-00554 别名 Cyanamide hydratase CA2, Carbonic anhydrase II (CA-II), Carbonic anhydrase 2, Carbonate dehydratase II, Ca2

Anti-Carbonic Anhydrase 2 Antibody (5N337) 是一种 Rabbit 抗体,靶向 Carbonic Anhydrase 2。Anti-Carbonic Anhydrase 2 Antibody (5N337) 可用于 IHC,WB。

规格价格库存数量
50 μL
¥ 1,495
5日内发货
100 μL
¥ 2,490
5日内发货
大包装 & 定制
加入购物车
TargetMol 的所有产品仅用作科学研究或药证申报,不能被用于人体,我们不向个人提供产品和服务。请您遵守承诺用途,不得违反法律法规规定用于任何其他用途。
实验操作小课堂
常见问题解答
查看更多
联系我们获取更多批次信息
资源下载

产品介绍

生物活性
产品描述
Anti-Carbonic Anhydrase 2 Antibody (5N337) is a Rabbit antibody targeting Carbonic Anhydrase 2. Anti-Carbonic Anhydrase 2 Antibody (5N337) can be used in IHC,WB.
别名Cyanamide hydratase CA2, Carbonic anhydrase II (CA-II), Carbonic anhydrase 2, Carbonate dehydratase II, Ca2
Ig Type
IgG
克隆号
5N337
交叉反应
Human,Mouse,Rat
验证活性
1. Western blot analysis of Carbonic anhydrase 2 on different lysates using anti-Carbonic anhydrase 2 antibody at 1/1,000 dilution. Positive control: Lane 1: Mouse brain, Lane 2: 293T, Lane 3: Rat liver, Lane 4: Mouse colon.
2. Immunohistochemical analysis of paraffin-embedded rat stomach tissue using anti-Carbonic anhydrase 2 antibody. Counter stained with hematoxylin.
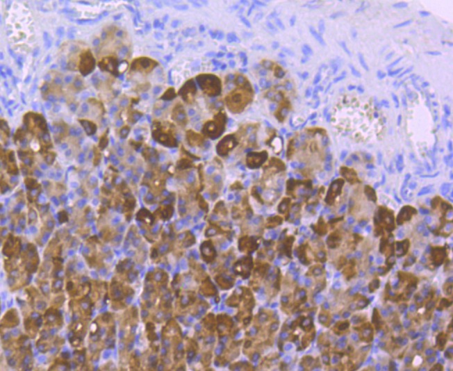
3. Immunohistochemical analysis of paraffin-embedded human stomach cancer tissue using anti-Carbonic anhydrase 2 antibody. Counter stained with hematoxylin.
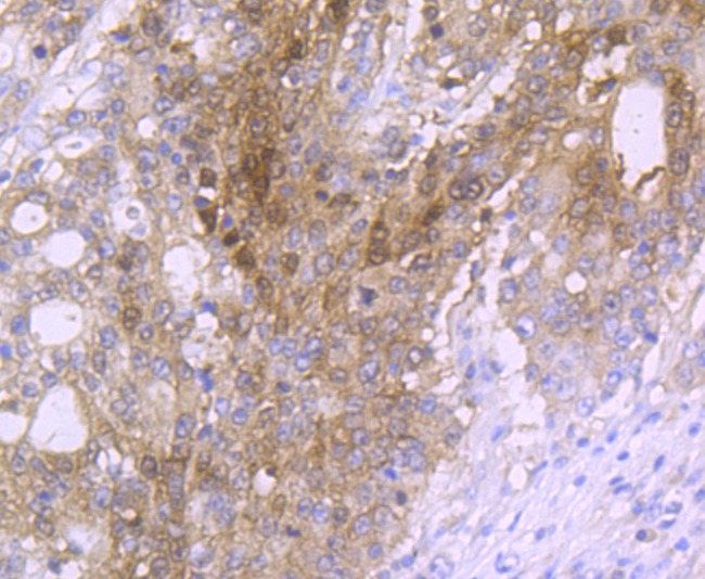
4. Immunohistochemical analysis of paraffin-embedded mouse stomach tissue using anti-Carbonic anhydrase 2 antibody. Counter stained with hematoxylin.
verifiedActivityverifiedActivityverifiedActivityverifiedActivity
应用IHCWB
推荐剂量
WB: 1:1000-2000; IHC: 1:50-200
抗体种类
Monoclonal
宿主来源Rabbit
构建方式Recombinant Antibody
纯化方式ProA affinity purified
性状Liquid
缓冲液1*TBS (pH7.4), 1%BSA, 40%Glycerol. Preservative: 0.05% Sodium Azide.
研究背景Carbonic anhydrases (CAs) are members of a large family of zinc metalloenzymes that catalyze the reversible hydration of carbon dioxide. CAs are involved in a variety of biological processes including respiration, calcification, acid-base balance and bone resorption, as well as the formation of aqueous humor, cerebrospinal fluid, saliva and gastric juice. They show extensive diversity in distribution and in their subcellular localization. The human CA2 gene, which maps to chromosome 8q21, encodes CA II, a cytoplasmic protein that has the highest turnover rate and widest tissue distribution of any known human CA isozyme. The human CA4 gene, which maps to chromosome 17q23, encodes CA IV, a membrane-anchored isozyme that is expressed on the luminal surfaces of pulmonary capillaries and proximal renal tubules. The human CA9, CA12 and CA14 genes, which map to chromosomes 9p13, 15q22 and 1q21, respectively, encode transmembrane proteins that have unique patterns of tissue-specific expression.
偶联与修饰
偶联
Unconjugated
抗原信息
免疫原
Recombinant Protein
Uniprot ID
化学信息
分子量Theoretical: 29 kDa.
存储&运输
储存方式Store at -20°C or -80°C for 12 months. Avoid repeated freeze-thaw cycles.
运输方式Shipping with blue ice.

计算器

  • 稀释 计算器

关键词

评论列表

4个月前
5.0
Rating icon 很棒

评论内容

Related Tags: buy Anti-Carbonic Anhydrase 2 Antibody (5N337) | purchase Anti-Carbonic Anhydrase 2 Antibody (5N337) | Anti-Carbonic Anhydrase 2 Antibody (5N337) cost | order Anti-Carbonic Anhydrase 2 Antibody (5N337) | Anti-Carbonic Anhydrase 2 Antibody (5N337) molecular weight