购物车
  • TargetMol
    您的购物车当前为空

Anti-ATF2 Antibody (4L818)

Synonyms: TREB7, HB16, CRE-BP1, CREB-2, CREB2, activating transcription factor 2
货号 TMAC-00306 一键复制产品信息
Rating icon 还可以

Anti-ATF2 Antibody (4L818) 是一种 Rabbit 抗体,靶向 ATF2。Anti-ATF2 Antibody (4L818) 可用于 ICC/IF,IHC,IP,WB。

Anti-ATF2 Antibody (4L818)

一键复制产品信息
Rating icon 还可以
货号 TMAC-00306

别名 TREB7, HB16, CRE-BP1, CREB-2, CREB2, activating transcription factor 2

Anti-ATF2 Antibody (4L818) 是一种 Rabbit 抗体,靶向 ATF2。Anti-ATF2 Antibody (4L818) 可用于 ICC/IF,IHC,IP,WB。

Anti-ATF2 Antibody (4L818)
规格价格库存数量
50 μL
¥ 1,480
5日内发货
100 μL
¥ 2,490
5日内发货
库存状态实时更新,以官网显示为准,现货产品可直接加购物车下单
大包装 & 定制
加入购物车

TargetMol的所有产品仅用作科学研究或药证申报,不能被用于人体,我们不向个人提供产品和服务。请您遵守承诺用途,不得违反法律法规规定用于任何其他用途。

实验操作小课堂
常见问题解答
查看更多

资源下载:产品操作手册

产品介绍


生物活性
产品描述
Anti-ATF2 Antibody (4L818) is a Rabbit antibody targeting ATF2. Anti-ATF2 Antibody (4L818) can be used in ICC/IF,IHC,IP,WB.
别名
TREB7, HB16, CRE-BP1, CREB-2, CREB2, activating transcription factor 2
Ig Type
IgG
克隆号
4L818
反应种属
Human
验证活性
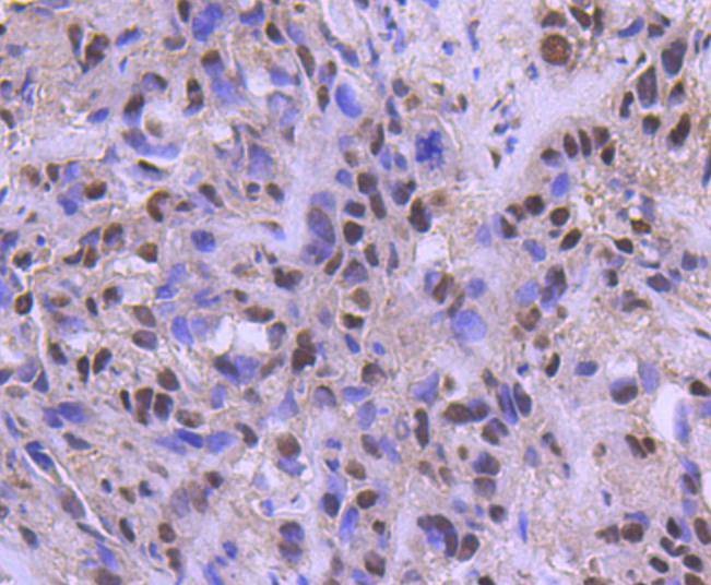
1. Immunohistochemical analysis of paraffin-embedded human breast carcinoma tissue using anti-ATF2 antibody. Counter stained with hematoxylin.
2. ICC staining ATF2 in SW480 cells (green). The nuclear counter stain is DAPI (blue). Cells were fixed in paraformaldehyde, permeabilised with 0.25% Triton X100/PBS.
3. ICC staining ATF2 in Hela cells (green). The nuclear counter stain is DAPI (blue). Cells were fixed in paraformaldehyde, permeabilised with 0.25% Triton X100/PBS.
4. ICC staining ATF2 in MCF-7 cells (green). The nuclear counter stain is DAPI (blue). Cells were fixed in paraformaldehyde, permeabilised with 0.25% Triton X100/PBS.
5. ICC staining ATF2 in PC-12 cells (green). The nuclear counter stain is DAPI (blue). Cells were fixed in paraformaldehyde, permeabilised with 0.25% Triton X100/PBS.
verifiedActivityverifiedActivityverifiedActivityverifiedActivityverifiedActivity
应用ICC/IFIHCIPWB
推荐剂量
WB: 1:1000; IHC: 1:50-200; ICC/IF: 1:50-200
抗体种类
Monoclonal
宿主来源Rabbit
构建方式Recombinant Antibody
纯化方式ProA affinity purified
性状Liquid
缓冲液1*TBS (pH7.4), 1%BSA, 40%Glycerol. Preservative: 0.05% Sodium Azide.
研究背景Eukaryotic gene transcription is regulated by sequence-specific transcription factors which bind modular cis-acting promotor and enhancer elements. The ATF/CREB transcription factor family binds the palindromic cAMP response element (CRE) octanucleotide TGACGTCA. The ATF/CREB family includes CREB-1, CREB-2 (also designated ATF-4), ATF-1, ATF-2 and ATF-3. This family of proteins contain highly divergent N-terminal domains, but share a C-terminal leucine zipper for dimerization and DNA binding. ATF-2 forms homodimers and heterodimers with c-Jun to initiate CRE-dependent transcription. Phosphorylation of ATF-2 at Thr 69 and Thr 71 by stress-activated kinases is necessary for transcriptional activation. Myc also induces phosphorylation of ATF-2 at Thr 69 and Thr 71 to prolong the half-life of ATF-2. ATF-2 also functions as a histone acetyltransferase (HAT) by specifically acetylating histones H2B and H4 in vitro. The gene encoding human ATF-2 maps to chromosome 2q31.1.
偶联与修饰
偶联
Unconjugated
抗原信息
免疫原
Recombinant Protein
Uniprot ID
化学信息
分子量Theoretical: 54 kDa.
储存&溶解度
储存方式Store at -20°C or -80°C for 12 months. Avoid repeated freeze-thaw cycles.
运输方式Shipping with blue ice.

计算器

  • 稀释 计算器
  • 配液 计算器
Related Tags: buy Anti-ATF2 Antibody (4L818) | purchase Anti-ATF2 Antibody (4L818) | Anti-ATF2 Antibody (4L818) cost | order Anti-ATF2 Antibody (4L818) | Anti-ATF2 Antibody (4L818) molecular weight