您的购物车当前为空
DGKA Protein, Human, Recombinant (Active, His) is expressed in Baculovirus-Insect Cells. The accession number is P23743.
别名 Diglyceride kinase alpha (DGK-alpha), Diacylglycerol kinase alpha, DGKA, DAGK1, DAGK, DAG kinase alpha, 80 kDa diacylglycerol kinase
DGKA Protein, Human, Recombinant (Active, His) is expressed in Baculovirus-Insect Cells. The accession number is P23743.


TargetMol的所有产品仅用作科学研究或药证申报,不能被用于人体,我们不向个人提供产品和服务。请您遵守承诺用途,不得违反法律法规规定用于任何其他用途。
| 产品描述 | DGKA Protein, Human, Recombinant (Active, His) is expressed in Baculovirus-Insect Cells. The accession number is P23743. |
| 生物活性 | The specific activity of DGKA was determined to be 28 nmol /min/mg by ADP-Glo kinase assay. ![]() |
| 种属 | Human |
| 表达系统 | Baculovirus-Insect Cells |
| 标签 | N-His |
| 蛋白编号 | P23743 |
| 蛋白构建 | Recombinant full length human DGKA was expressed by baculovirus in Sf9 insect cells using an N-terminal His tag. |
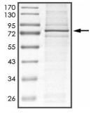
| 蛋白纯度 | >70% as determined by SDS-PAGE. ![]() |
| 蛋白性状 | Solution |
| 缓冲液 | Supplied as sterile 50 mM sodium phosphate, pH 7.0, 300 mM NaCl, 150 mM imidazole, 0.1 mM PMSF, 0.25 mM DTT, and 25% glycerol. |
| 别名 | Diglyceride kinase alpha (DGK-alpha), Diacylglycerol kinase alpha, DGKA, DAGK1, DAGK, DAG kinase alpha, 80 kDa diacylglycerol kinase |
| 分子量 | ~82 kDa |
| 运输方式 | Enzymes are highly recommended to be shipped at frozen temperature with dry ice. Shipment made at ambient temperature may seriously affect the activity of the ordered products. |
| 存储 | Lyophilized powders can be stably stored for over 12 months, while liquid products can be stored for 6-12 months at -80°C. For reconstituted protein solutions, the solution can be stored at -20°C to -80°C for at least 3 months. Please avoid multiple freeze-thaw cycles and store products in aliquots. 实际储存温度请以COA为准 |
对于不同动物的给药剂量换算,您也可以参考 更多