购物车
  • 全部删除
  • TargetMol
    您的购物车当前为空

Vinculin Loading Control Antibody (5P889)

一键复制产品信息
Rating icon 还可以
产品编号 TMAB-01968
别名 vinculin, MVCL, MV, HEL114, CMH15, CMD1W

Vinculin Loading Control Antibody (5P889) 是一种 Rabbit 抗体,靶向 Vinculin Loading Control。Vinculin Loading Control Antibody (5P889) 可用于 IF,IHC-Fr,IHC-P,WB。

Vinculin Loading Control Antibody (5P889)

Vinculin Loading Control Antibody (5P889)

一键复制产品信息
Rating icon 还可以
产品编号 TMAB-01968 别名 vinculin, MVCL, MV, HEL114, CMH15, CMD1W

Vinculin Loading Control Antibody (5P889) 是一种 Rabbit 抗体,靶向 Vinculin Loading Control。Vinculin Loading Control Antibody (5P889) 可用于 IF,IHC-Fr,IHC-P,WB。

规格价格库存数量
25 μL
¥ 780
5日内发货
50 μL
¥ 1,385
5日内发货
100 μL
¥ 2,480
5日内发货
大包装 & 定制
加入购物车
TargetMol 的所有产品仅用作科学研究或药证申报,不能被用于人体,我们不向个人提供产品和服务。请您遵守承诺用途,不得违反法律法规规定用于任何其他用途。
实验操作小课堂
常见问题解答
查看更多
联系我们获取更多批次信息
资源下载

产品介绍

生物活性
产品描述
Vinculin Loading Control Antibody (5P889) is a Rabbit antibody targeting Vinculin Loading Control. Vinculin Loading Control Antibody (5P889) can be used in IF,IHC-Fr,IHC-P,WB.
别名vinculin, MVCL, MV, HEL114, CMH15, CMD1W
Ig Type
IgG
克隆号
5P889
交叉反应
Human,Mouse,Rat
验证活性
1. Sample:
Lane 1: Mouse Testis tissue lysates
Lane 2: Human HeLa cell lysates
Lane 3: Human U251 cell lysates
Lane 4: Human K562 cell lysates
Lane 5: Human HUVEC cell lysates
Primary: Anti-Vinculin (Loading Control) (TMAB-01968) at 1/1000 dilution
Secondary: IRDye800CW Goat Anti-Rabbit IgG at 1/20000 dilution
Predicted band size: 124 kDa
Observed band size: 135 kDa
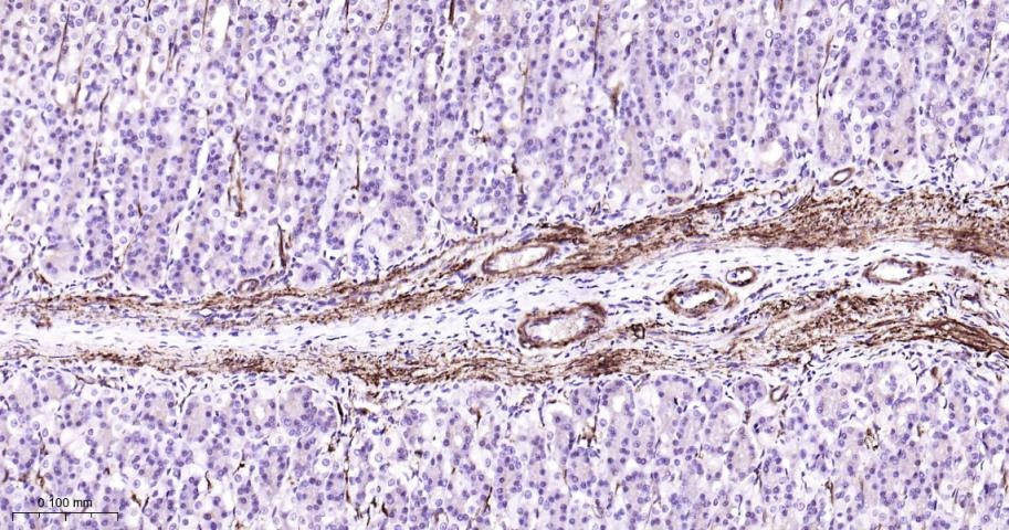
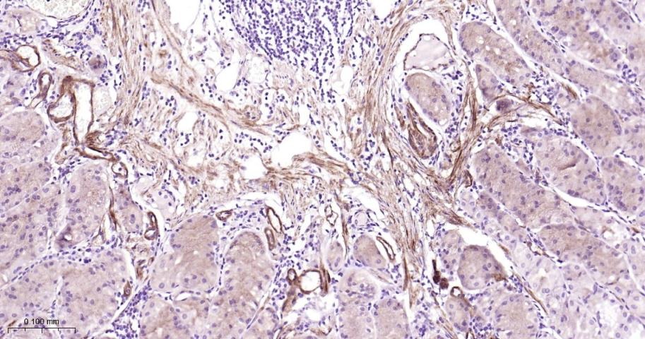
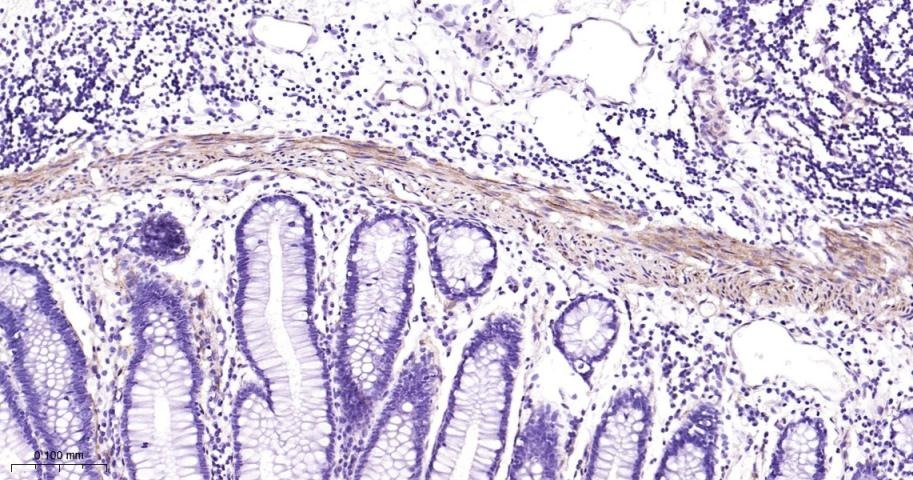
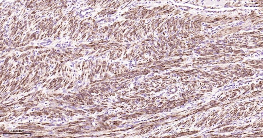
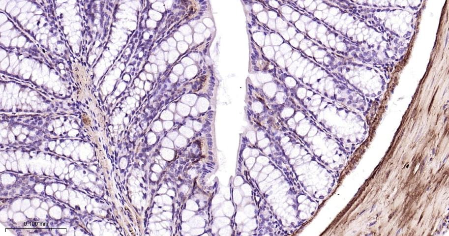
2. Paraformaldehyde-fixed, paraffin embedded Mouse Colon; Antigen retrieval by boiling in sodium citrate buffer (pH6.0) for 15 min; Antibody incubation with Vinculin Monoclonal Antibody, Unconjugated (TMAB-01968) at 1:200 overnight at 4°C, followed by conjugation to the secondary antibody and DAB staining.
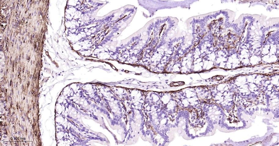
3. Paraformaldehyde-fixed, paraffin embedded Rat Colon; Antigen retrieval by boiling in sodium citrate buffer (pH6.0) for 15 min; Antibody incubation with Vinculin Monoclonal Antibody, Unconjugated (TMAB-01968) at 1:200 overnight at 4°C, followed by conjugation to the secondary antibody and DAB staining.
4. Paraformaldehyde-fixed, paraffin embedded Human Colon; Antigen retrieval by boiling in sodium citrate buffer (pH6.0) for 15 min; Antibody incubation with Vinculin Monoclonal Antibody, Unconjugated (TMAB-01968) at 1:200 overnight at 4°C, followed by conjugation to the secondary antibody and DAB staining.
5. Paraformaldehyde-fixed, paraffin embedded Human Colon Cancer; Antigen retrieval by boiling in sodium citrate buffer (pH6.0) for 15 min; Antibody incubation with Vinculin Monoclonal Antibody, Unconjugated (TMAB-01968) at 1:200 overnight at 4°C, followed by conjugation to the secondary antibody and DAB staining.
6. Paraformaldehyde-fixed, paraffin embedded Mouse Stomach; Antigen retrieval by boiling in sodium citrate buffer (pH6.0) for 15 min; Antibody incubation with Vinculin Monoclonal Antibody, Unconjugated (TMAB-01968) at 1:200 overnight at 4°C, followed by conjugation to the secondary antibody and DAB staining.
7. Paraformaldehyde-fixed, paraffin embedded Rat Stomach; Antigen retrieval by boiling in sodium citrate buffer (pH6.0) for 15 min; Antibody incubation with Vinculin Monoclonal Antibody, Unconjugated (TMAB-01968) at 1:200 overnight at 4°C, followed by conjugation to the secondary antibody and DAB staining.
8. Paraformaldehyde-fixed, paraffin embedded Human Stomach; Antigen retrieval by boiling in sodium citrate buffer (pH6.0) for 15 min; Antibody incubation with Vinculin Monoclonal Antibody, Unconjugated (TMAB-01968) at 1:200 overnight at 4°C, followed by conjugation to the secondary antibody and DAB staining.
9. Paraformaldehyde-fixed, paraffin embedded Mouse Heart; Antigen retrieval by boiling in sodium citrate buffer (pH6.0) for 15 min; Antibody incubation with Vinculin Monoclonal Antibody, Unconjugated (TMAB-01968) at 1:200 overnight at 4°C, followed by conjugation to the secondary antibody and DAB staining.
10. Paraformaldehyde-fixed, paraffin embedded Rat Heart; Antigen retrieval by boiling in sodium citrate buffer (pH6.0) for 15 min; Antibody incubation with Vinculin Monoclonal Antibody, Unconjugated (TMAB-01968) at 1:200 overnight at 4°C, followed by conjugation to the secondary antibody and DAB staining.
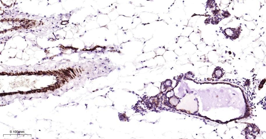
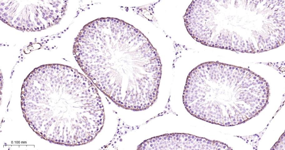
11. Paraformaldehyde-fixed, paraffin embedded Rat Testicles; Antigen retrieval by boiling in sodium citrate buffer (pH6.0) for 15 min; Antibody incubation with Vinculin Monoclonal Antibody, Unconjugated (TMAB-01968) at 1:200 overnight at 4°C, followed by conjugation to the secondary antibody and DAB staining.
12. Paraformaldehyde-fixed, paraffin embedded Human Lung Cancer; Antigen retrieval by boiling in sodium citrate buffer (pH6.0) for 15 min; Antibody incubation with Vinculin Monoclonal Antibody, Unconjugated (TMAB-01968) at 1:200 overnight at 4°C, followed by conjugation to the secondary antibody and DAB staining.
13. Paraformaldehyde-fixed, paraffin embedded Human Prostate Cancer; Antigen retrieval by boiling in sodium citrate buffer (pH6.0) for 15 min; Antibody incubation with Vinculin Monoclonal Antibody, Unconjugated (TMAB-01968) at 1:200 overnight at 4°C, followed by conjugation to the secondary antibody and DAB staining.
14. Paraformaldehyde-fixed, paraffin embedded Human Breast; Antigen retrieval by boiling in sodium citrate buffer (pH6.0) for 15 min; Antibody incubation with Vinculin Monoclonal Antibody, Unconjugated (TMAB-01968) at 1:200 overnight at 4°C, followed by conjugation to the secondary antibody and DAB staining.
15. Paraformaldehyde-fixed, paraffin embedded Human Endometrium; Antigen retrieval by boiling in sodium citrate buffer (pH6.0) for 15 min; Antibody incubation with Vinculin Monoclonal Antibody, Unconjugated (TMAB-01968) at 1:200 overnight at 4°C, followed by conjugation to the secondary antibody and DAB staining.
16. Paraformaldehyde-fixed, paraffin embedded Mouse Breast; Antigen retrieval by boiling in sodium citrate buffer (pH6.0) for 15 min; Antibody incubation with Vinculin Monoclonal Antibody, Unconjugated (TMAB-01968) at 1:200 overnight at 4°C, followed by conjugation to the secondary antibody and DAB staining.
verifiedActivityverifiedActivityverifiedActivityverifiedActivityverifiedActivityverifiedActivityverifiedActivityverifiedActivityverifiedActivityverifiedActivityverifiedActivityverifiedActivityverifiedActivityverifiedActivityverifiedActivityverifiedActivity
应用IFIHC-FrIHC-PWB
推荐剂量
WB: 1:500-2000; IHC-P: 1:100-500; IHC-Fr: 1:100-500; IF: 1:100-500
抗体种类
Monoclonal
宿主来源Rabbit
亚细胞定位Cytoplasm, cytoskeleton. Cell junction, adherens junction. Cell membrane; Peripheral membrane protein; Cytoplasmic side.
组织特异性Metavinculin is muscle-specific.
构建方式Recombinant Antibody
纯化方式Protein A purified
性状Liquid
缓冲液0.01M TBS (pH7.4) with 1% BSA, 0.02% Proclin300 and 50% Glycerol.
浓度1 mg/mL
研究背景Vinculin is a cytoskeletal protein associated with cell-cell and cell-matrix junctions, where it is thought to function as one of several interacting proteins involved in anchoring F-actin to the membrane. Defects in VCL are the cause of cardiomyopathy dilated type 1W. Dilated cardiomyopathy is a disorder characterized by ventricular dilation and impaired systolic function, resulting in congestive heart failure and arrhythmia. Multiple alternatively spliced transcript variants have been found for this gene, but the biological validity of some variants has not been determined. [provided by RefSeq, Jul 2008]
抗原信息
免疫原
Recombinant Protein: Human Vinculin
抗原种属
Human
基因名称
VCL
基因ID
蛋白名称
Vinculin
Uniprot ID
研究领域
Cardiac arrhythmias,Actins,Actin Binding Proteins
功能
Actin filament (F-actin)-binding protein involved in cell-matrix adhesion and cell-cell adhesion. Regulates cell-surface E-cadherin expression and potentiates mechanosensing by the E-cadherin complex. May also play important roles in cell morphology and locomotion.
化学信息
分子量Theoretical: 124 kDa.
存储&运输
储存方式Store at -20°C or -80°C for 12 months. Avoid repeated freeze-thaw cycles.
运输方式Shipping with blue ice.

计算器

  • 稀释 计算器

关键词

评论列表

4个月前
5.0
Rating icon 很棒

评论内容

Related Tags: buy Vinculin Loading Control Antibody (5P889) | purchase Vinculin Loading Control Antibody (5P889) | Vinculin Loading Control Antibody (5P889) cost | order Vinculin Loading Control Antibody (5P889) | Vinculin Loading Control Antibody (5P889) molecular weight